• Tel: 858.663.9055
  • SeparatorEmail: info@nsjbio.com
  • Tel: 858.663.9055
  • Email: info@nsjbio.com
Home >> Antibodies >> RBBP6 Antibody / Retinoblastoma binding protein 6

RBBP6 Antibody / Retinoblastoma binding protein 6 (FY12030)

  Catalog No Formulation Size Price (USD)  
Image FY12030 Adding 0.2 ml of distilled water will yield a concentration of 500 ug/ml 100 ug 449
Bulk quote request
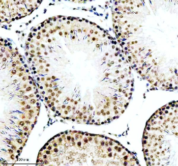
IHC analysis of RBBP6 using anti-RBBP6 antibody. RBBP6 was detected in a paraffin-embedded section of rat testis tissue. Heat mediated antigen retrieval was performed in EDTA buffer (pH 8.0, epitope retrieval solution). The tissue section was blocked with 10% goat serum. The tissue section was then incubated with 2 ug/ml rabbit anti-RBBP6 antibody overnight at 4oC. Peroxidase Conjugated Goat Anti-rabbit IgG was used as secondary antibody and incubated for 30 minutes at 37oC. The tissue section was developed using an HRP secondary and DAB substrate.
Western blot analysis of RBBP6 using anti-RBBP6 antibody. Electrophoresis was performed on a 8% SDS-PAGE gel at 80V (Stacking gel) / 120V (Resolving gel) for 2 hours. Lane 1: human 293T whole cell lysates, Lane 2: human Jurkat whole cell lysates, Lane 3: human MCF-7 whole cell lysates, Lane 4: rat testis tissue lysates, Lane 5: mouse testis tissue lysates. After electrophoresis, proteins were transferred to a nitrocellulose membrane at 150 mA for 50-90 minutes. Blocked the membrane with 5% non-fat milk/TBS for 1.5 hour at RT. The membrane was incubated with rabbit anti-RBBP6 antibody at 0.5 ug/ml overnight at 4oC, then washed with TBS-0.1%Tween 3 times with 5 minutes each and probed with a goat anti-rabbit IgG-HRP secondary antibody at a dilution of 1:5000 for 1.5 hour at RT. The signal was developed using an ECL Plus Western Blotting Substrate. Expected size of RBBP6 ~202 kDa (based on 1,792 aa). However, literature frequently reports RBBP6 as a ~250 kDa multidomain protein and observed Western blot bands at ~210-250 kDa. The ~250 kDa band seen here is consistent with published data for RBBP6.
IF analysis of RBBP6 using anti-RBBP6 antibody (green) and anti-Beta Tubulin antibody (red). RBBP6 was detected in an immunocytochemical section of Hela cells. Enzyme antigen retrieval was performed using IHC enzyme antigen retrieval reagent for 15 mins. The cells were blocked with 10% goat serum. And then incubated with 5 ug/ml rabbit anti-RBBP6 antibody and mouse anti-Beta Tubulin antibody overnight at 4oC. DyLight 488 Conjugated Goat Anti-Rabbit IgG and Cy3 Conjugated Goat Anti-Mouse IgG were used as secondary antibody at 1:500 dilution and incubated for 30 minutes at 37oC. Visualize using a fluorescence microscope and filter sets appropriate for the label used.
Flow Cytometry analysis of Jurkat cells using anti-RBBP6 antibody. Overlay histogram showing Jurkat cells stained with (Blue line). To facilitate intracellular staining, cells were fixed with 4% paraformaldehyde and permeabilized with permeabilization buffer. The cells were blocked with 10% normal goat serum. And then incubated with rabbit anti-RBBP6 antibody (1 ug/million cells) for 30 min at 20oC. DyLight 488 conjugated goat anti-rabbit IgG (5-10 ug/million cells) was used as secondary antibody for 30 minutes at 20oC. Isotype control antibody (Green line) was rabbit IgG (1 ug/million cells) used under the same conditions. Unlabelled sample without incubation with primary antibody and secondary antibody (Red line) was used as a blank control.
Availability 1-2 days
Species Reactivity Human, Mouse, Rat
Format Lyophilized
Host Rabbit
Clonality Polyclonal (rabbit origin)
Isotype Rabbit IgG
Purity Immunogen affinity purified
Buffer Each vial contains 4 mg Trehalose, 0.9 mg NaCl, 0.2 mg Na2HPO4.
UniProt Q7Z6E9
Localization Nuclear, cytoplasmic
Applications Western Blot : 0.25-0.5ug/ml
Immunohistochemistry : 2-5ug/ml
Immunocytochemistry/Immunofluorescence : 5ug/ml
Flow Cytometry : 1-3ug/million cells
ELISA : 0.1-0.5ug/ml
Limitations This RBBP6 antibody is available for research use only.
Review this product on BioCompare and get a $20 Amazon gift card

Description

RBBP6 antibody detects Retinoblastoma binding protein 6, encoded by the RBBP6 gene. Retinoblastoma binding protein 6 is a multifunctional nuclear protein involved in mRNA processing, ubiquitination, and cell cycle regulation. RBBP6 antibody provides researchers with a reagent for studying transcriptional regulation, apoptosis, and tumorigenesis.

Retinoblastoma binding protein 6 interacts with the tumor suppressor pRb and with p53, positioning it as a critical regulator of cell cycle and apoptosis. Research using RBBP6 antibody has shown that it functions as an E3 ubiquitin ligase, targeting p53 for degradation. This activity links RBBP6 to apoptosis regulation and tumor suppression. It also interacts with splicing factors, influencing mRNA maturation and gene expression control.

Studies with RBBP6 antibody have demonstrated that dysregulation of RBBP6 contributes to cancer development. Overexpression of Retinoblastoma binding protein 6 is associated with progression of cervical, breast, and colon cancers, where it promotes cell survival by reducing p53 stability. Conversely, depletion of RBBP6 enhances apoptosis and impairs proliferation, highlighting its importance in tumor cell biology.

In addition to cancer, RBBP6 plays roles in development and immune function. Research using RBBP6 antibody has shown that it contributes to embryogenesis, hematopoiesis, and regulation of inflammatory responses. Its broad functional spectrum reflects its diverse interaction partners in transcriptional and post-transcriptional regulation.

RBBP6 antibody is widely applied in western blotting, immunohistochemistry, and RNA immunoprecipitation. Western blotting detects expression across tissues, immunohistochemistry highlights nuclear expression in tumors, and RNA immunoprecipitation identifies mRNA targets associated with RBBP6 complexes. These applications make RBBP6 antibody valuable in transcription and cancer research.

By providing validated RBBP6 antibody reagents, NSJ Bioreagents supports studies into ubiquitination, transcriptional regulation, and disease. Detection of Retinoblastoma binding protein 6 provides researchers with insight into how nuclear proteins regulate gene expression and apoptosis.

Application Notes

Optimal dilution of the RBBP6 antibody should be determined by the researcher.

Immunogen

E.coli-derived human RBBP6 recombinant protein (Position: F19-E1581) was used as the immunogen for the RBBP6 antibody.

Storage

After reconstitution, the RBBP6 antibody can be stored for up to one month at 4oC. For long-term, aliquot and store at -20oC. Avoid repeated freezing and thawing.

Cross
Bulk Quote Request Form
Name*:
Organization*:
Email*:
Phone Number*:
Catalog No.*:
Comments and Specifics(amount, formulation, etc.)*:
Validation code: Captchapackage Image


Can't read the image? click here to refresh.
    *required field

Your bulk quote request has been submitted successfully!

Please contact us if you have any questions.