• Tel: 858.663.9055
  • SeparatorEmail: info@nsjbio.com
  • Tel: 858.663.9055
  • Email: info@nsjbio.com
Home >> Antibodies >> RB1CC1 Antibody / RB1-inducible coiled-coil protein 1

RB1CC1 Antibody / RB1-inducible coiled-coil protein 1 (FY12607)

  Catalog No Formulation Size Price (USD)  
Image FY12607 Adding 0.2 ml of distilled water will yield a concentration of 500 ug/ml 100 ug 449
Bulk quote request
Western blot analysis of RB1CC1 using anti-RB1CC1 antibody. Electrophoresis was performed on a 8% SDS-PAGE gel at 80V (Stacking gel) / 120V (Resolving gel) for 2 hours. Lane 1: human K562 whole cell lysates, Lane 2: human HEL whole cell lysates, Lane 3: rat testis tissue lysates, Lane 4: rat C6 whole cell lysates, Lane 5: mouse testis tissue lysates, Lane 6: mouse NIH/3T3 whole cell lysates. After electrophoresis, proteins were transferred to a nitrocellulose membrane at 150 mA for 50-90 minutes. Blocked the membrane with 5% non-fat milk/TBS for 1.5 hour at RT. The membrane was incubated with rabbit anti-RB1CC1 antibody at 0.5 ug/ml overnight at 4oC, then washed with TBS-0.1%Tween 3 times with 5 minutes each and probed with a goat anti-rabbit IgG-HRP secondary antibody at a dilution of 1:5000 for 1.5 hour at RT. The signal was developed using an ECL Plus Western Blotting Substrate. Western blot probed with anti-RB1CC1 (FIP200) shows a strong band at ~230 kDa, higher than the predicted ~183 kDa, consistent with the phosphorylated, slow-migrating form of FIP200 commonly observed on SDS-PAGE.
Western blot analysis of RB1CC1 using anti-RB1CC1 antibody. Electrophoresis was performed on a 12% SDS-PAGE gel at 80V (Stacking gel) / 120V (Resolving gel) for 2 hours. Lane 1: human Hela whole cell lysates, Lane 2: human U2OS whole cell lysates, Lane 3: human SW620 whole cell lysates, Lane 4: rat RH-35 whole cell lysates, Lane 5: mouse Hepa1-6 whole cell lysates. After electrophoresis, proteins were transferred to a nitrocellulose membrane at 150 mA for 50-90 minutes. Blocked the membrane with 5% non-fat milk/TBS for 1.5 hour at RT. The membrane was incubated with rabbit anti-RB1CC1 antibody at 1:1000 overnight at 4oC, then washed with TBS-0.1%Tween 3 times with 5 minutes each and probed with a goat anti-rabbit IgG-HRP secondary antibody at a dilution of 1:5000 for 1.5 hour at RT. The signal was developed using an ECL Plus Western Blotting Substrate. Western blot probed with anti-RB1CC1 (FIP200) shows a strong band at ~230 kDa, higher than the predicted ~183 kDa, consistent with the phosphorylated, slow-migrating form of FIP200 commonly observed on SDS-PAGE.
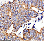
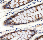
Immunohistochemical staining of RB1CC1 using anti-RB1CC1 antibody. RB1CC1 was detected in a paraffin-embedded section of human colon tissue. Heat mediated antigen retrieval was performed in EDTA buffer (pH 8.0, epitope retrieval solution). The tissue section was blocked with 10% goat serum. The tissue section was then incubated with 2 ug/ml rabbit anti-RB1CC1 antibody overnight at 4oC. Peroxidase Conjugated Goat Anti-rabbit IgG was used as secondary antibody and incubated for 30 minutes at 37oC. The tissue section was developed using an HRP secondary and DAB substrate.
Immunohistochemical staining of RB1CC1 using anti-RB1CC1 antibody. RB1CC1 was detected in a paraffin-embedded section of human colon cancer tissue. Heat mediated antigen retrieval was performed in EDTA buffer (pH 8.0, epitope retrieval solution). The tissue section was blocked with 10% goat serum. The tissue section was then incubated with 2 ug/ml rabbit anti-RB1CC1 antibody overnight at 4oC. Peroxidase Conjugated Goat Anti-rabbit IgG was used as secondary antibody and incubated for 30 minutes at 37oC. The tissue section was developed using an HRP secondary and DAB substrate.
Immunohistochemical staining of RB1CC1 using anti-RB1CC1 antibody. RB1CC1 was detected in a paraffin-embedded section of human breast cancer tissue. Heat mediated antigen retrieval was performed in EDTA buffer (pH 8.0, epitope retrieval solution). The tissue section was blocked with 10% goat serum. The tissue section was then incubated with 2 ug/ml rabbit anti-RB1CC1 antibody overnight at 4oC. Peroxidase Conjugated Goat Anti-rabbit IgG was used as secondary antibody and incubated for 30 minutes at 37oC. The tissue section was developed using an HRP secondary and DAB substrate.
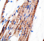
Immunohistochemical staining of RB1CC1 using anti-RB1CC1 antibody. RB1CC1 was detected in a paraffin-embedded section of mouse heart tissue. Heat mediated antigen retrieval was performed in EDTA buffer (pH 8.0, epitope retrieval solution). The tissue section was blocked with 10% goat serum. The tissue section was then incubated with 2 ug/ml rabbit anti-RB1CC1 antibody overnight at 4oC. Peroxidase Conjugated Goat Anti-rabbit IgG was used as secondary antibody and incubated for 30 minutes at 37oC. The tissue section was developed using an HRP secondary and DAB substrate.
Immunohistochemical staining of RB1CC1 using anti-RB1CC1 antibody. RB1CC1 was detected in a paraffin-embedded section of rat heart tissue. Heat mediated antigen retrieval was performed in EDTA buffer (pH 8.0, epitope retrieval solution). The tissue section was blocked with 10% goat serum. The tissue section was then incubated with 2 ug/ml rabbit anti-RB1CC1 antibody overnight at 4oC. Peroxidase Conjugated Goat Anti-rabbit IgG was used as secondary antibody and incubated for 30 minutes at 37oC. The tissue section was developed using an HRP secondary and DAB substrate.
Immunofluorescent staining of RB1CC1 using anti-RB1CC1 antibody (red). RB1CC1 was detected in a paraffin-embedded section of human breast cancer tissue. Heat mediated antigen retrieval was performed in EDTA buffer (pH 8.0, epitope retrieval solution). The tissue section was blocked with 10% goat serum. The tissue section was then incubated with 5 ug/ml rabbit anti-RB1CC1 antibody overnight at 4oC. Cy3 Conjugated Goat Anti-Rabbit IgG was used as secondary antibody at 1:500 dilution and incubated for 30 minutes at 37oC. The section was counterstained with DAPI nuclear stain (blue). Visualize using a fluorescence microscope and filter sets appropriate for the label used.
Immunofluorescent staining of RB1CC1 using anti-RB1CC1 antibody (green). RB1CC1 was detected in an immunocytochemical section of U2OS cells. Enzyme antigen retrieval was performed using IHC enzyme antigen retrieval reagent for 15 mins. The cells were blocked with 10% goat serum. And then incubated with 5 ug/ml rabbit anti-RB1CC1 antibody overnight at 4oC. DyLight 488 Conjugated Goat Anti-Rabbit IgG was used as secondary antibody at 1:500 dilution and incubated for 30 minutes at 37oC. The section was counterstained with DAPI nuclear stain (blue). Visualize using a fluorescence microscope and filter sets appropriate for the label used.
Flow Cytometry analysis of 293T cells using anti-RB1CC1 antibody. Overlay histogram showing 293T cells stained with (Blue line). To facilitate intracellular staining, cells were fixed with 4% paraformaldehyde and permeabilized with permeabilization buffer. The cells were blocked with 10% normal goat serum. And then incubated with rabbit anti-RB1CC1 antibody (1 ug/million cells) for 30 min at 20oC. DyLight 488 conjugated goat anti-rabbit IgG (5-10 ug/million cells) was used as secondary antibody for 30 minutes at 20oC. Isotype control antibody (Green line) was rabbit IgG (1 ug/million cells) used under the same conditions. Unlabelled sample without incubation with primary antibody and secondary antibody (Red line) was used as a blank control.
Availability 1-2 days
Species Reactivity Human, Mouse, Rat
Format Lyophilized
Host Rabbit
Clonality Polyclonal (rabbit origin)
Isotype Rabbit IgG
Purity Immunogen affinity purified
Buffer Each vial contains 4 mg Trehalose, 0.9 mg NaCl, 0.2 mg Na2HPO4.
UniProt Q8TDY2
Localization Nuclear, cytoplasmic
Applications Western Blot : 0.25-0.5ug/ml
Immunohistochemistry : 2-5ug/ml
Immunofluorescence : 5ug/ml
Immunocytochemistry/Immunofluorescence : 5ug/ml
Flow Cytometry : 1-3ug/million cells
ELISA : 0.1-0.5ug/ml
Limitations This RB1CC1 antibody is available for research use only.
Review this product on BioCompare and get a $20 Amazon gift card

Description

RB1CC1 antibody detects RB1-inducible coiled-coil protein 1, also known as FIP200, a multifunctional scaffolding protein that regulates autophagy, cell cycle progression, and tumor suppression. RB1CC1 functions as a key component of the ULK1 autophagy initiation complex and interacts with numerous cellular regulators including RB1, ATG proteins, and kinases involved in growth control. The RB1CC1 antibody is widely used in cell biology, cancer, and autophagy research to study cellular homeostasis, stress responses, and tumorigenic signaling.

RB1CC1 is encoded by the RB1CC1 gene located on human chromosome 8q11.23. The protein is approximately 1,594 amino acids long and contains coiled-coil domains that mediate protein-protein interactions, along with a C-terminal region necessary for autophagosome formation. It serves as a molecular scaffold that integrates signals from growth factors, energy status, and nutrient availability to coordinate autophagy and cell proliferation.

The RB1CC1 antibody detects a 200 kilodalton protein by western blot and shows both cytoplasmic and perinuclear localization under immunofluorescence. RB1CC1 forms a complex with ULK1, ATG13, and ATG101, controlling the initiation of autophagosome formation under starvation conditions. It is required for proper vesicle nucleation and lipidation of LC3, central steps in autophagy induction.

In addition to its role in autophagy, RB1CC1 interacts with the retinoblastoma tumor suppressor RB1 to inhibit cell cycle progression, contributing to tumor suppression. Loss of RB1CC1 function leads to impaired autophagy, accumulation of damaged organelles, and increased susceptibility to oncogenic transformation. Conversely, overexpression of RB1CC1 promotes survival during stress and supports metabolic adaptation.

RB1CC1 participates in neuronal homeostasis, cardiac development, and immune regulation, emphasizing its broad physiological relevance. Dysregulation is associated with cancer, neurodegenerative diseases, and cardiomyopathies. NSJ Bioreagents provides a validated RB1CC1 antibody optimized for western blot, immunofluorescence, and immunohistochemistry, supporting studies in autophagy, tumor suppression, and cellular stress adaptation.

Application Notes

Optimal dilution of the RB1CC1 antibody should be determined by the researcher.

Immunogen

E.coli-derived human RB1CC1 recombinant protein (Position: E366-R1393) was used as the immunogen for the RB1CC1 antibody.

Storage

After reconstitution, the RB1CC1 antibody can be stored for up to one month at 4oC. For long-term, aliquot and store at -20oC. Avoid repeated freezing and thawing.

Cross
Bulk Quote Request Form
Name*:
Organization*:
Email*:
Phone Number*:
Catalog No.*:
Comments and Specifics(amount, formulation, etc.)*:
Validation code: Captchapackage Image


Can't read the image? click here to refresh.
    *required field

Your bulk quote request has been submitted successfully!

Please contact us if you have any questions.