• Tel: 858.663.9055
  • SeparatorEmail: info@nsjbio.com
  • Tel: 858.663.9055
  • Email: info@nsjbio.com
Home >> Antibodies >> RB1 Antibody / Retinoblastoma

RB1 Antibody / Retinoblastoma (FY12555)

  Catalog No Formulation Size Price (USD)  
Image FY12555 Adding 0.2 ml of distilled water will yield a concentration of 500 ug/ml 100 ug 449
Bulk quote request
Immunofluorescent staining of FFPE human A549 cells with RB1 antibody (green) and Beta Tubulin mAb (red). HIER: steam section in pH6 citrate buffer for 20 min.
Western blot analysis of RB1 using anti-RB1 antibody. Electrophoresis was performed on a 10% SDS-PAGE gel at 80V (Stacking gel) / 120V (Resolving gel) for 2 hours. Lane 1: human HEL whole cell lysates, Lane 2: human SH-SY5Y whole cell lysates. After electrophoresis, proteins were transferred to a nitrocellulose membrane at 150 mA for 50-90 minutes. Blocked the membrane with 5% non-fat milk/TBS for 1.5 hour at RT. The membrane was incubated with rabbit anti-RB1 antibody at 1:1000 overnight at 4oC, then washed with TBS-0.1%Tween 3 times with 5 minutes each and probed with a goat anti-rabbit IgG-HRP secondary antibody at a dilution of 1:5000 for 1.5 hour at RT. The signal was developed using an ECL Plus Western Blotting Substrate. RB1 (~106 kDa predicted) was detected at ~110-120 kDa, consistent with the hyperphosphorylated form of the retinoblastoma protein that exhibits slower SDS-PAGE migration due to extensive phosphorylation and its acidic C-terminal region
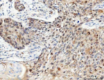
Immunohistochemical staining of RB1 using anti-RB1 antibody. RB1 was detected in a paraffin-embedded section of human esophageal squamous carcinoma tissue. Heat mediated antigen retrieval was performed in EDTA buffer (pH 8.0, epitope retrieval solution). The tissue section was blocked with 10% goat serum. The tissue section was then incubated with 1:100 rabbit anti-RB1 antibody overnight at 4oC. Peroxidase Conjugated Goat Anti-rabbit IgG was used as secondary antibody and incubated for 30 minutes at 37oC. The tissue section was developed using an HRP secondary and DAB substrate.
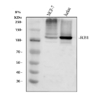
Western blot analysis of RB1 using anti-RB1 antibody. Electrophoresis was performed on a 8% SDS-PAGE gel at 80V (Stacking gel) / 120V (Resolving gel) for 2 hours. Lane 1: human MCF-7 whole cell lysates, Lane 2: human Jurkat whole cell lysates. After electrophoresis, proteins were transferred to a nitrocellulose membrane at 150 mA for 50-90 minutes. Blocked the membrane with 5% non-fat milk/TBS for 1.5 hour at RT. The membrane was incubated with rabbit anti-RB1 antibody at 0.5 ug/ml overnight at 4oC, then washed with TBS-0.1%Tween 3 times with 5 minutes each and probed with a goat anti-rabbit IgG-HRP secondary antibody at a dilution of 1:5000 for 1.5 hour at RT. The signal was developed using an ECL Plus Western Blotting Substrate. RB1 (~106 kDa predicted) was detected at ~110-120 kDa, consistent with the hyperphosphorylated form of the retinoblastoma protein that exhibits slower SDS-PAGE migration due to extensive phosphorylation and its acidic C-terminal region
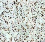
Immunohistochemical staining of RB1 using anti-RB1 antibody. RB1 was detected in a paraffin-embedded section of human cervical cancer tissue. Heat mediated antigen retrieval was performed in EDTA buffer (pH 8.0, epitope retrieval solution). The tissue section was blocked with 10% goat serum. The tissue section was then incubated with 2 ug/ml rabbit anti-RB1 antibody overnight at 4oC. Peroxidase Conjugated Goat Anti-rabbit IgG was used as secondary antibody and incubated for 30 minutes at 37oC. The tissue section was developed using an HRP secondary and DAB substrate.
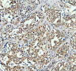
Immunohistochemical staining of RB1 using anti-RB1 antibody. RB1 was detected in a paraffin-embedded section of human bladder cancer tissue. Heat mediated antigen retrieval was performed in EDTA buffer (pH 8.0, epitope retrieval solution). The tissue section was blocked with 10% goat serum. The tissue section was then incubated with 2 ug/ml rabbit anti-RB1 antibody overnight at 4oC. Peroxidase Conjugated Goat Anti-rabbit IgG was used as secondary antibody and incubated for 30 minutes at 37oC. The tissue section was developed using an HRP secondary and DAB substrate.
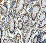
Immunohistochemical staining of RB1 using anti-RB1 antibody. RB1 was detected in a paraffin-embedded section of human colon cancer tissue. Heat mediated antigen retrieval was performed in EDTA buffer (pH 8.0, epitope retrieval solution). The tissue section was blocked with 10% goat serum. The tissue section was then incubated with 2 ug/ml rabbit anti-RB1 antibody overnight at 4oC. Peroxidase Conjugated Goat Anti-rabbit IgG was used as secondary antibody and incubated for 30 minutes at 37oC. The tissue section was developed using an HRP secondary and DAB substrate.
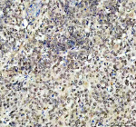
Immunohistochemical staining of RB1 using anti-RB1 antibody. RB1 was detected in a paraffin-embedded section of human liver cancer tissue. Heat mediated antigen retrieval was performed in EDTA buffer (pH 8.0, epitope retrieval solution). The tissue section was blocked with 10% goat serum. The tissue section was then incubated with 2 ug/ml rabbit anti-RB1 antibody overnight at 4oC. Peroxidase Conjugated Goat Anti-rabbit IgG was used as secondary antibody and incubated for 30 minutes at 37oC. The tissue section was developed using an HRP secondary and DAB substrate.
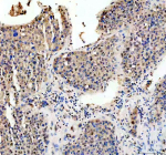
Immunohistochemical staining of RB1 using anti-RB1 antibody. RB1 was detected in a paraffin-embedded section of human lung cancer tissue. Heat mediated antigen retrieval was performed in EDTA buffer (pH 8.0, epitope retrieval solution). The tissue section was blocked with 10% goat serum. The tissue section was then incubated with 2 ug/ml rabbit anti-RB1 antibody overnight at 4oC. Peroxidase Conjugated Goat Anti-rabbit IgG was used as secondary antibody and incubated for 30 minutes at 37oC. The tissue section was developed using an HRP secondary and DAB substrate.
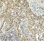
Immunohistochemical staining of RB1 using anti-RB1 antibody. RB1 was detected in a paraffin-embedded section of human breast cancer tissue. Heat mediated antigen retrieval was performed in EDTA buffer (pH 8.0, epitope retrieval solution). The tissue section was blocked with 10% goat serum. The tissue section was then incubated with 2 ug/ml rabbit anti-RB1 antibody overnight at 4oC. Peroxidase Conjugated Goat Anti-rabbit IgG was used as secondary antibody and incubated for 30 minutes at 37oC. The tissue section was developed using an HRP secondary and DAB substrate.
Immunohistochemical staining of RB1 using anti-RB1 antibody. RB1 was detected in a paraffin-embedded section of human colon cancer tissue. Heat mediated antigen retrieval was performed in EDTA buffer (pH 8.0, epitope retrieval solution). The tissue section was blocked with 10% goat serum. The tissue section was then incubated with 2 ug/ml rabbit anti-RB1 antibody overnight at 4oC. Peroxidase Conjugated Goat Anti-rabbit IgG was used as secondary antibody and incubated for 30 minutes at 37oC. The tissue section was developed using an HRP secondary and DAB substrate.
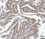
Immunohistochemical staining of RB1 using anti-RB1 antibody. RB1 was detected in a paraffin-embedded section of human colorectal adenocarcinoma tissue. Heat mediated antigen retrieval was performed in EDTA buffer (pH 8.0, epitope retrieval solution). The tissue section was blocked with 10% goat serum. The tissue section was then incubated with 1:100 rabbit anti-RB1 antibody overnight at 4oC. Peroxidase Conjugated Goat Anti-rabbit IgG was used as secondary antibody and incubated for 30 minutes at 37oC. The tissue section was developed using an HRP secondary and DAB substrate.
Flow cytometry analysis of fixed and permeabilized human Jurkat cells with RB1 antibody at 1ug/million cells (blocked with goat sera); Red=cells alone, Green=isotype control, Blue= RB1 antibody.
Availability 1-2 days
Species Reactivity Human, Mouse, Rat
Format Lyophilized
Host Rabbit
Clonality Polyclonal (rabbit origin)
Isotype Rabbit IgG
Purity Immunogen affinity purified
Buffer Each vial contains 4 mg Trehalose, 0.9 mg NaCl, 0.2 mg Na2HPO4.
UniProt P06400
Localization Nuclear
Applications Western Blot : 0.25-0.5ug/ml
Immunohistochemistry : 2-5ug/ml
Immunocytochemistry/Immunofluorescence : 5ug/ml
Flow Cytometry : 1-3ug/million cells
ELISA : 0.1-0.5ug/ml
Limitations This RB1 antibody is available for research use only.
Review this product on BioCompare and get a $20 Amazon gift card

Related Products

Description

RB1 antibody detects Retinoblastoma-associated protein, a pivotal tumor suppressor that controls cell cycle progression, differentiation, and genome stability. RB1 is the founding member of the retinoblastoma protein family, which also includes RBL1 (p107) and RBL2 (p130). Through regulation of E2F transcription factors, RB1 governs the G1-to-S phase transition, making it one of the most important gatekeepers of cellular proliferation. The RB1 antibody is widely used in cancer biology, developmental research, and cell cycle studies.

RB1 is encoded by the RB1 gene located on human chromosome 13q14.2. The protein is approximately 110 kilodaltons and composed of an N-terminal domain, a central pocket domain responsible for E2F binding, and a C-terminal regulatory region. RB1 activity is primarily modulated through phosphorylation by cyclin-dependent kinases (CDKs). Hypophosphorylated RB1 binds and inhibits E2F transcription factors, repressing transcription of S-phase genes. Upon phosphorylation, RB1 releases E2Fs, allowing cell cycle progression.

The RB1 antibody detects the 110 kilodalton protein and phospho-variants by western blot and demonstrates nuclear localization in immunocytochemistry. RB1 serves as a platform for chromatin modifiers, recruiting histone deacetylases (HDACs) and methyltransferases to silence gene expression during quiescence and differentiation. In addition to cell cycle control, RB1 promotes genomic stability by coordinating DNA repair, replication fidelity, and mitotic checkpoints.

Loss or mutation of RB1 is a hallmark of numerous cancers, including retinoblastoma, osteosarcoma, and small-cell lung carcinoma. RB1 inactivation leads to unchecked E2F activity, excessive proliferation, and impaired DNA repair. Conversely, reactivation of RB1 signaling can suppress tumor growth and restore differentiation potential in malignant cells.

Beyond oncology, RB1 regulates tissue-specific differentiation, especially in muscle and neuronal lineages, by interacting with lineage-determining transcription factors. Its phosphorylation status serves as an indicator of cell cycle activity and is frequently used as a diagnostic biomarker. NSJ Bioreagents provides a validated RB1 antibody optimized for western blot, immunohistochemistry, and flow cytometry, supporting detailed studies of tumor suppression, transcriptional control, and cell cycle regulation.

Application Notes

Optimal dilution of the RB1 antibody should be determined by the researcher.

Immunogen

E.coli-derived human Retinoblastoma recombinant protein (Position: E40-D921) was used as the immunogen for the RB1 antibody.

Storage

After reconstitution, the RB1 antibody can be stored for up to one month at 4oC. For long-term, aliquot and store at -20oC. Avoid repeated freezing and thawing.

Cross
Bulk Quote Request Form
Name*:
Organization*:
Email*:
Phone Number*:
Catalog No.*:
Comments and Specifics(amount, formulation, etc.)*:
Validation code: Captchapackage Image


Can't read the image? click here to refresh.
    *required field

Your bulk quote request has been submitted successfully!

Please contact us if you have any questions.