• Tel: 858.663.9055
  • SeparatorEmail: info@nsjbio.com
  • Tel: 858.663.9055
  • Email: info@nsjbio.com
Home >> Antibodies >> RASSF8 Antibody / Ras association domain-containing protein 8

RASSF8 Antibody / Ras association domain-containing protein 8 (FY13257)

  Catalog No Formulation Size Price (USD)  
Image FY13257 Adding 0.2 ml of distilled water will yield a concentration of 500 ug/ml 100 ug 449
Bulk quote request
Immunofluorescent staining of RASSF8 using anti-RASSF8 antibody (red). RASSF8 was detected in an immunocytochemical section of human HeLa cells. Enzyme antigen retrieval was performed using IHC enzyme antigen retrieval reagent for 15 mins. The cells were blocked with 10% goat serum. And then incubated with 5 ug/ml rabbit anti-RASSF8 antibody overnight at 4oC. Cy3 Conjugated Goat Anti-Rabbit IgG was used as secondary antibody at 1:500 dilution and incubated for 30 minutes at 37oC. The section was counterstained with DAPI nuclear stain (blue). Visualize using a fluorescence microscope and filter sets appropriate for the label used.
Western blot analysis of RASSF8 using anti-RASSF8 antibody. Lane 1: human Hela whole cell lysates, Lane 2: human PC-3 whole cell lysates, Lane 3: human placenta tissue lysates, Lane 4: human U251 whole cell lysates, Lane 5: mouse testis tissue lysates, Lane 6: mouse lung tissue lysates. After electrophoresis, proteins were transferred to a nitrocellulose membrane at 150 mA for 50-90 minutes. Blocked the membrane with 5% non-fat milk/TBS for 1.5 hour at RT. The membrane was incubated with rabbit anti-RASSF8 antibody at 0.5 ug/ml overnight at 4oC, then washed with TBS-0.1%Tween 3 times with 5 minutes each and probed with a goat anti-rabbit IgG-HRP secondary antibody at a dilution of 1:5000 for 1.5 hour at RT. The signal was developed using enhanced chemiluminescent. A specific band was detected for RASSF8 at approximately 48 kDa. The expected molecular weight of RASSF8 is ~48 kDa.
Flow Cytometry analysis of PC-3 cells using anti-RASSF8 antibody. Overlay histogram showing PC-3 cells stained with (Blue line). To facilitate intracellular staining, cells were fixed with 4% paraformaldehyde and permeabilized with permeabilization buffer. The cells were blocked with 10% normal goat serum. And then incubated with rabbit anti-RASSF8 antibody (1 ug/million cells) for 30 min at 20oC. DyLight 488 conjugated goat anti-rabbit IgG (5-10 ug/million cells) was used as secondary antibody for 30 minutes at 20oC. Isotype control antibody (Green line) was rabbit IgG (1 ug/million cells) used under the same conditions. Unlabelled sample (Red line) was also used as a control.
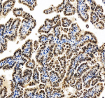
Immunohistochemical staining of RASSF8 using anti-RASSF8 antibody. RASSF8 was detected in a paraffin-embedded section of human ovarian cancer tissue. Heat mediated antigen retrieval was performed in EDTA buffer (pH 8.0, epitope retrieval solution). The tissue section was blocked with 10% goat serum. The tissue section was then incubated with 2 ug/ml rabbit anti-RASSF8 antibody overnight at 4oC. Peroxidase Conjugated Goat Anti-rabbit IgG was used as secondary antibody and incubated for 30 minutes at 37oC. The tissue section was developed using an HRP secondary and DAB substrate.
Availability 1-2 days
Species Reactivity Human, Mouse
Format Lyophilized
Host Rabbit
Clonality Polyclonal (rabbit origin)
Isotype Rabbit IgG
Purity Immunogen affinity purified
Buffer Each vial contains 4 mg Trehalose, 0.9 mg NaCl, 0.2 mg Na2HPO4.
UniProt Q8NHQ8
Localization Cytoplasm, Mitochondria
Applications Western Blot : 0.25-0.5ug/ml
Immunohistochemistry : 2-5ug/ml
Immunocytochemistry : 5ug/ml
Immunofluorescence : 5ug/ml
Flow Cytometry : 1-3ug/million cells
ELISA : 0.1-0.5ug/ml
Limitations This RASSF8 antibody is available for research use only.
Review this product on BioCompare and get a $20 Amazon gift card

Related Products

  • Applications : WB, ELISA (peptide)
    Reactivity : Human
    Pred. Reactivity : Cow, Mouse

Description

RASSF8 antibody detects Ras association domain-containing protein 8, a cytoplasmic and membrane-associated protein involved in cell adhesion, cytoskeletal organization, and tumor suppression. The UniProt recommended name is Ras association domain-containing protein 8 (RASSF8). This member of the Ras association domain family links small GTPase signaling to cytoskeletal remodeling and intercellular junction stability.

Functionally, RASSF8 antibody identifies a 413-amino-acid protein containing an RA (Ras association) domain and a coiled-coil region that mediates homo- and hetero-oligomerization. RASSF8 localizes to adherens junctions and the plasma membrane, where it interacts with proteins such as E-cadherin, beta-catenin, and SCRIB. Through these interactions, RASSF8 supports cell polarity and epithelial integrity by regulating actin cytoskeleton organization. It may also participate in Ras-related signaling pathways that influence apoptosis and cell migration.

The RASSF8 gene is located on chromosome 12p12.1 and is expressed in epithelial and endothelial tissues, with high expression in lung, colon, and skin. It acts downstream of Ras and Rap1A, functioning as a molecular adaptor to relay signals from membrane GTPases to cytoskeletal and junctional complexes. RASSF8 expression is dynamically regulated during epithelial differentiation and stress responses.

Pathologically, loss or reduced expression of RASSF8 is associated with various cancers, including lung, colorectal, and breast carcinoma. Its downregulation disrupts adherens junctions, promotes epithelial-mesenchymal transition (EMT), and enhances tumor cell invasion. RASSF8 may act as a tumor suppressor by maintaining cell adhesion and suppressing uncontrolled proliferation. Research using RASSF8 antibody supports studies in cancer biology, cell adhesion, and epithelial polarity regulation.

RASSF8 antibody is validated for western blotting, immunohistochemistry, and immunofluorescence to detect cytoskeletal and adhesion-related proteins. NSJ Bioreagents provides RASSF8 antibody reagents optimized for studies in Ras signaling, cell polarity maintenance, and epithelial junction assembly.

Structurally, Ras association domain-containing protein 8 contains an RA domain that binds small GTPases and a C-terminal coiled-coil domain involved in multimerization and membrane targeting. This architecture allows RASSF8 to integrate Ras-related signaling with cytoskeletal remodeling. This antibody facilitates research into RASSF8's role in tumor suppression, cell adhesion, and cytoskeletal integrity.

Application Notes

Optimal dilution of the RASSF8 antibody should be determined by the researcher.

Immunogen

E.coli-derived human RASSF8 recombinant protein (Position: E50-V419) was used as the immunogen for the RASSF8 antibody.

Storage

After reconstitution, the RASSF8 antibody can be stored for up to one month at 4oC. For long-term, aliquot and store at -20oC. Avoid repeated freezing and thawing.

Cross
Bulk Quote Request Form
Name*:
Organization*:
Email*:
Phone Number*:
Catalog No.*:
Comments and Specifics(amount, formulation, etc.)*:
Validation code: Captchapackage Image


Can't read the image? click here to refresh.
    *required field

Your bulk quote request has been submitted successfully!

Please contact us if you have any questions.