• Tel: 858.663.9055
  • SeparatorEmail: info@nsjbio.com
  • Tel: 858.663.9055
  • Email: info@nsjbio.com
Home >> Antibodies >> RASSF7 Antibody / Ras association domain-containing protein 7

RASSF7 Antibody / Ras association domain-containing protein 7 (FY12321)

  Catalog No Formulation Size Price (USD)  
Image FY12321 Adding 0.2 ml of distilled water will yield a concentration of 500 ug/ml 100 ug 449
Bulk quote request
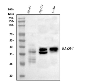
Western blot analysis of RASSF7 using anti-RASSF7 antibody. Lane 1: human HL-60 whole cell lysates, Lane 2: human HepG2 whole cell lysates, Lane 3: human Jurkat whole cell lysates. After electrophoresis, proteins were transferred to a nitrocellulose membrane at 150 mA for 50-90 minutes. Blocked the membrane with 5% non-fat milk/TBS for 1.5 hour at RT. The membrane was incubated with rabbit anti-RASSF7 antibody at 0.5 ug/ml overnight at 4oC, then washed with TBS-0.1%Tween 3 times with 5 minutes each and probed with a goat anti-rabbit IgG-HRP secondary antibody at a dilution of 1:5000 for 1.5 hour at RT. The signal was developed using enhanced chemiluminescent. The expected molecular weight of RASSF7 is 35-40 kDa (multiple isoforms).
Availability 1-2 days
Species Reactivity Human
Format Lyophilized
Host Rabbit
Clonality Polyclonal (rabbit origin)
Isotype Rabbit IgG
Purity Immunogen affinity purified
Buffer Each vial contains 4 mg Trehalose, 0.9 mg NaCl, 0.2 mg Na2HPO4.
UniProt Q02833
Applications Western Blot : 0.25-0.5ug/ml
ELISA : 0.1-0.5ug/ml
Limitations This RASSF7 antibody is available for research use only.
Review this product on BioCompare and get a $20 Amazon gift card

Related Products

  • Applications : WB, ELISA (peptide)
    Reactivity : Human

Description

RASSF7 antibody is designed for the study of Ras association domain family member 7, a centrosome-associated protein that regulates microtubule dynamics, spindle formation, and mitotic progression. Unlike many RASSF proteins that interact with Hippo pathway kinases, RASSF7 lacks a SARAH domain and instead functions primarily at the centrosome. Here, it maintains spindle pole integrity and ensures accurate chromosome segregation, processes that are essential for successful cell division and prevention of genomic instability. Researchers can use RASSF7 antibody to explore how centrosomal regulation intersects with Ras effector pathways in both healthy and diseased states.

During mitosis, Ras association domain family member 7 controls the growth and stability of microtubules, supporting the attachment of chromosomes and the function of spindle poles. When RASSF7 expression is lost, cells exhibit spindle defects, prolonged mitotic arrest, and activation of apoptotic pathways. These findings have established RASSF7 as a safeguard for cell cycle fidelity. Beyond mitosis, the protein influences cell morphology by regulating microtubule outgrowth in interphase cells. This control of cytoskeletal organization allows RASSF7 to contribute to processes such as cell migration, adhesion, and tissue morphogenesis.

Developmental biology studies highlight the broad significance of RASSF7. Expression of this protein is observed in the nervous system, hematopoietic tissues, and embryonic structures. Model organisms such as zebrafish have demonstrated that depletion of RASSF7 leads to developmental arrest, neural patterning defects, and widespread apoptosis, underscoring its essential role in early life. For scientists examining embryogenesis or neural development, RASSF7 antibody provides a practical tool to monitor how centrosomal proteins coordinate cell division and differentiation during critical growth phases.

Cancer research has further elevated interest in Ras association domain family member 7. Abnormal expression or silencing of RASSF7 has been documented in melanoma, glioblastoma, and lung carcinoma. Because cancer cells rely on accurate spindle formation to proliferate, disruption of RASSF7 may accelerate chromosomal instability and drive tumor progression. Conversely, some studies suggest that overexpression of RASSF7 may allow tumor cells to adapt to oncogenic stress by stabilizing microtubules under unfavorable conditions. This dual nature makes RASSF7 a compelling protein to study in oncology, and RASSF7 antibody is central to these investigations.

Laboratories can apply RASSF7 antibody in a range of assays. In immunohistochemistry, it highlights centrosome-associated staining patterns in dividing cells, providing context for tissue proliferation and tumor grading. In western blotting, it quantifies protein expression and reveals changes under mitotic stress or drug treatment. Immunofluorescence microscopy using RASSF7 antibody enables visualization of spindle structures and centrosome organization, helping to link protein localization with functional outcomes. These experimental approaches allow researchers to assess how RASSF7 contributes to both normal physiology and pathological transformation.

The RASSF7 antibody available from NSJ Bioreagents supports high-quality detection in diverse applications. By supplying a dependable reagent, NSJ Bioreagents enables laboratories to investigate centrosomal control mechanisms that bridge developmental biology, oncology, and cytoskeletal research. As scientists continue to define how Ras effector proteins extend beyond canonical Hippo signaling, RASSF7 antibody remains a critical tool for clarifying the unique contributions of this protein. Whether examining cell cycle fidelity, tissue development, or tumor biology, researchers can rely on RASSF7 antibody to advance understanding of centrosomal dynamics and their consequences for human health.

Application Notes

Optimal dilution of the RASSF7 antibody should be determined by the researcher.

Immunogen

E.coli-derived human RASSF7 recombinant protein (Position: R58-R342) was used as the immunogen for the RASSF7 antibody.

Storage

After reconstitution, the RASSF7 antibody can be stored for up to one month at 4oC. For long-term, aliquot and store at -20oC. Avoid repeated freezing and thawing.

Cross
Bulk Quote Request Form
Name*:
Organization*:
Email*:
Phone Number*:
Catalog No.*:
Comments and Specifics(amount, formulation, etc.)*:
Validation code: Captchapackage Image


Can't read the image? click here to refresh.
    *required field

Your bulk quote request has been submitted successfully!

Please contact us if you have any questions.