• Tel: 858.663.9055
  • SeparatorEmail: info@nsjbio.com
  • Tel: 858.663.9055
  • Email: info@nsjbio.com
Home >> Antibodies >> RASSF7 Antibody

RASSF7 Antibody (R33349)

  Catalog No Formulation Size Price (USD)  
Image R33349-100UG 0.5 mg/ml in 1X TBS, pH7.3, with 0.5% BSA (US sourced) and 0.02% sodium azide 100 ug 475
Bulk quote request
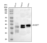
Western blot testing of Jurkat cell lysate with RASSF7 antibody at 1ug/ml. Predicted molecular weight: ~40kDa.
Availability 1-3 business days
Species Reactivity Human
Format Antigen affinity purified
Host Goat
Clonality Polyclonal (goat origin)
Isotype Goat Ig
Purity Antigen affinity
Gene ID 8045
Applications Western Blot : 1-3ug/ml
ELISA (peptide) LOD : 1:8000
Limitations This RASSF7 antibody is available for research use only.
Review this product on BioCompare and get a $20 Amazon gift card

Related Products

Description

Additional name(s) for this target protein: Ras association (RalGDS/AF-6) domain family 7

Application Notes

Optimal dilution of the RASSF7 antibody should be determined by the researcher.

Immunogen

Amino acids CTDLRGLELRVQRN were used as the immunogen for this RASSF7 antibody.

Storage

Aliquot and store the RASSF7 antibody at -20oC.

Cross
Bulk Quote Request Form
Name*:
Organization*:
Email*:
Phone Number*:
Catalog No.*:
Comments and Specifics(amount, formulation, etc.)*:
Validation code: Captchapackage Image


Can't read the image? click here to refresh.
    *required field

Your bulk quote request has been submitted successfully!

Please contact us if you have any questions.