• Tel: 858.663.9055
  • SeparatorEmail: info@nsjbio.com
  • Tel: 858.663.9055
  • Email: info@nsjbio.com
Home >> Antibodies >> RASEF Antibody / RAB45 / Ras and EF-hand domain-containing protein

RASEF Antibody / RAB45 / Ras and EF-hand domain-containing protein [clone 30R48] (FY12676)

  Catalog No Formulation Size Price (USD)  
Image FY12676 Rabbit IgG in phosphate buffered saline, pH 7.4, 150mM NaCl, 0.02% sodium azide and 50% glycerol, 0.4-0.5mg/ml BSA 100 ul 449
Microvalidated Recrabbitmono
Bulk quote request
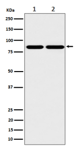
Western blot analysis of RAB45/RASEF expression in (1) human A431 cell lysate and (2) mouse RAW264.7 cell lysate using RASEF antibody. Predicted molecular weight ~83 kDa.
Availability 2-3 weeks
Species Reactivity Human, Mouse, Rat
Format Liquid
Host Rabbit
Clonality Recombinant Rabbit Monoclonal
Isotype Rabbit IgG
Clone Name 30R48
Purity Affinity-chromatography
Buffer Rabbit IgG in phosphate buffered saline, pH 7.4, 150mM NaCl, 0.02% sodium azide and 50% glycerol, 0.4-0.5mg/ml BSA.
UniProt Q8IZ41
Applications Western Blot : 1:500-1:2000
Immunocytochemistry/Immunofluorescence : 1:50-1:200
Flow Cytometry : 1:50
Limitations This RASEF antibody is available for research use only.
Review this product on BioCompare and get a $20 Amazon gift card

Description

RASEF antibody detects Ras and EF hand domain containing protein, also known as RAB45, encoded by the RASEF gene. RASEF is a member of the Rab family of small GTP binding proteins with unique EF hand calcium binding motifs. This combination of domains links small GTPase activity with calcium regulated signaling, positioning RASEF as a multifunctional regulator of vesicular trafficking, cytoskeletal dynamics, and cell signaling. RASEF localizes to endosomal and cytoplasmic membranes, where it contributes to transport and signaling events.

RASEF antibody is widely applied in cancer research, cell biology, and immunology. RASEF has been identified as a tumor suppressor gene in uveal melanoma, where mutations or promoter hypermethylation reduce its expression. Conversely, altered RASEF activity has been observed in lung and breast cancer, suggesting context dependent functions. By detecting RASEF, researchers can investigate its dual roles in tumor biology and cell signaling.

Western blot assays detect RASEF protein in diverse tissue lysates. Immunohistochemistry maps expression in eye, lung, and immune tissues, while immunofluorescence highlights subcellular localization to endosomes and membranes. These methods provide robust tools for analyzing RASEF biology.

RASEF contributes to immune signaling through regulation of endosomal trafficking and receptor recycling. It may influence T cell activation, antigen presentation, and cytokine signaling by modulating endosomal compartments. Its calcium binding EF hand motifs suggest integration of calcium signaling with vesicle dynamics. By applying RASEF antibody, scientists can examine how small GTPases coordinate trafficking and signaling across biological systems.

Beyond immunity and cancer, RASEF has roles in ocular biology, where it is expressed in retinal tissues and linked to eye disease. It also contributes to cellular homeostasis through regulation of vesicle fusion and cytoskeletal remodeling. These diverse functions make RASEF antibody valuable for both basic science and translational research.

RASEF antibody from NSJ Bioreagents provides dependable specificity for detecting Ras and EF hand domain containing protein. Its performance across applications ensures accurate results in cancer biology, cell signaling, and immune regulation studies.

Application Notes

Optimal dilution of the RASEF antibody should be determined by the researcher.

Immunogen

A synthesized peptide derived from human RAB45 was used as the immunogen for the RASEF antibody.

Storage

Store the RASEF antibody at -20oC.

Cross
Bulk Quote Request Form
Name*:
Organization*:
Email*:
Phone Number*:
Catalog No.*:
Comments and Specifics(amount, formulation, etc.)*:
Validation code: Captchapackage Image


Can't read the image? click here to refresh.
    *required field

Your bulk quote request has been submitted successfully!

Please contact us if you have any questions.