• Tel: 858.663.9055
  • SeparatorEmail: info@nsjbio.com
  • Tel: 858.663.9055
  • Email: info@nsjbio.com
Home >> Antibodies >> RASAL1 Antibody

RASAL1 Antibody (RQ4604)

  Catalog No Formulation Size Price (USD)  
Image RQ4604 0.5mg/ml if reconstituted with 0.2ml sterile DI water 100 ug 449
Bulk quote request
Western blot testing of human 1) MDA-MB-231 and 2) Jurkat lysate with RASAL1 antibody at 0.5ug/ml. Predicted molecular weight ~90 kDa.
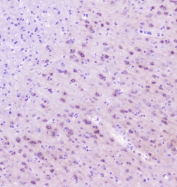
IHC staining of FFPE mouse brain with RASAL1 antibody at 1ug/ml. HIER: boil tissue sections in pH6, 10mM citrate buffer, for 10-20 min followed by cooling at RT for 20 min.
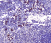
IHC staining of FFPE mouse spleen with RASAL1 antibody at 1ug/ml. HIER: boil tissue sections in pH6, 10mM citrate buffer, for 10-20 min followed by cooling at RT for 20 min.
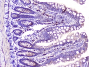
IHC staining of FFPE mouse intestine with RASAL1 antibody at 1ug/ml. HIER: boil tissue sections in pH6, 10mM citrate buffer, for 10-20 min followed by cooling at RT for 20 min.
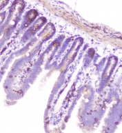
IHC staining of FFPE rat intestine with RASAL1 antibody at 1ug/ml. HIER: boil tissue sections in pH6, 10mM citrate buffer, for 10-20 min followed by cooling at RT for 20 min.
Availability 1-3 business days
Species Reactivity Human, Mouse, Rat
Format Antigen affinity purified
Host Rabbit
Clonality Polyclonal (rabbit origin)
Isotype Rabbit IgG
Purity Antigen affinity purified
Buffer Lyophilized from 1X PBS with 2% Trehalose and 0.025% sodium azide
UniProt O95294
Localization Cytoplasm, plasma membrane
Applications Western Blot : 0.5-1ug/ml
IHC (FFPE) : 1-2ug/ml
Direct ELISA : 0.1-0.5ug/ml (human recombinant protein)
Limitations This RASAL1 antibody is available for research use only.
Review this product on BioCompare and get a $20 Amazon gift card

Related Products

  • Applications : WB, ELISA (peptide)
    Reactivity : Human

Description

The protein encoded by this gene is member of the GAP1 family of GTPase-activating proteins. And it is mapped to 12q24.13. These proteins stimulate the GTPase activity of normal RAS p21 but not its oncogenic counterpart. Acting as a suppressor of RAS function, the protein enhances the weak intrinsic GTPase activity of RAS proteins resulting in the inactive GDP-bound form of RAS, thereby allowing control of cellular proliferation and differentiation. This particular family member contains domains which are characteristic of the GAP1 subfamily of RasGAP proteins but, in contrast to the other GAP1 family members, this protein is strongly and selectively expressed in endocrine tissues. Alternatively spliced transcript variants that encode different isoforms have been described.

Application Notes

Optimal dilution of the RASAL1 antibody should be determined by the researcher.

Immunogen

Amino acids D721-A798 from the human protein were used as the immunogen for the RASAL1 antibody.

Storage

After reconstitution, the RASAL1 antibody can be stored for up to one month at 4oC. For long-term, aliquot and store at -20oC. Avoid repeated freezing and thawing.

Cross
Bulk Quote Request Form
Name*:
Organization*:
Email*:
Phone Number*:
Catalog No.*:
Comments and Specifics(amount, formulation, etc.)*:
Validation code: Captchapackage Image


Can't read the image? click here to refresh.
    *required field

Your bulk quote request has been submitted successfully!

Please contact us if you have any questions.