• Tel: 858.663.9055
  • SeparatorEmail: info@nsjbio.com
  • Tel: 858.663.9055
  • Email: info@nsjbio.com
Home >> Antibodies >> RAPH1 Antibody / Ras-associated and pleckstrin homology domains-containing protein 1

RAPH1 Antibody / Ras-associated and pleckstrin homology domains-containing protein 1 (FY12411)

  Catalog No Formulation Size Price (USD)  
Image FY12411 Adding 0.2 ml of distilled water will yield a concentration of 500 ug/ml 100 ug 449
Bulk quote request
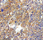
Immunohistochemical staining of RAPH1 using anti-RAPH1 antibody. RAPH1 was detected in a paraffin-embedded section of human breast cancer tissue. Heat mediated antigen retrieval was performed in EDTA buffer (pH 8.0, epitope retrieval solution). The tissue section was blocked with 10% goat serum. The tissue section was then incubated with 2 ug/ml rabbit anti-RAPH1 antibody overnight at 4oC. Peroxidase Conjugated Goat Anti-rabbit IgG was used as secondary antibody and incubated for 30 minutes at 37oC. The tissue section was developed using an HRP secondary and DAB substrate.
Western blot analysis of RAPH1 using anti-RAPH1 antibody. Electrophoresis was performed on a 8% SDS-PAGE gel at 80V (Stacking gel) / 120V (Resolving gel) for 2 hours. Lane 1: human RT4 whole cell lysates, Lane 2: human Caco-2 whole cell lysates, Lane 3: human SH-SY5Y whole cell lysates, Lane 4: human HepG2 whole cell lysates, Lane 5: mouse brain tissue lysates. After electrophoresis, proteins were transferred to a nitrocellulose membrane at 150 mA for 50-90 minutes. Blocked the membrane with 5% non-fat milk/TBS for 1.5 hour at RT. The membrane was incubated with rabbit anti-RAPH1 antibody at 0.5 ug/ml overnight at 4oC, then washed with TBS-0.1%Tween 3 times with 5 minutes each and probed with a goat anti-rabbit IgG-HRP secondary antibody at a dilution of 1:5000 for 1.5 hour at RT. The signal was developed using an ECL Plus Western Blotting Substrate. RAPH1 (Lamellipodin, ~135 kDa predicted) was detected as a single band at ~150-180 kDa, consistent with its extended proline-rich sequence and post-translational modifications that retard migration on SDS-PAGE.
Immunohistochemical staining of RAPH1 using anti-RAPH1 antibody. RAPH1 was detected in a paraffin-embedded section of human liver cancer tissue. Heat mediated antigen retrieval was performed in EDTA buffer (pH 8.0, epitope retrieval solution). The tissue section was blocked with 10% goat serum. The tissue section was then incubated with 2 ug/ml rabbit anti-RAPH1 antibody overnight at 4oC. Peroxidase Conjugated Goat Anti-rabbit IgG was used as secondary antibody and incubated for 30 minutes at 37oC. The tissue section was developed using an HRP secondary and DAB substrate.
Availability 1-2 days
Species Reactivity Human, Mouse
Format Lyophilized
Host Rabbit
Clonality Polyclonal (rabbit origin)
Isotype Rabbit IgG
Purity Immunogen affinity purified
Buffer Each vial contains 4 mg Trehalose, 0.9 mg NaCl, 0.2 mg Na2HPO4.
UniProt Q70E73
Localization Cytoplasm
Applications Western Blot : 0.25-0.5ug/ml
Immunohistochemistry : 2-5ug/ml
ELISA : 0.1-0.5ug/ml
Limitations This RAPH1 antibody is available for research use only.
Review this product on BioCompare and get a $20 Amazon gift card

Description

The RAPH1 antibody targets Ras-associated and pleckstrin homology domains-containing protein 1, a membrane-associated adaptor encoded by the RAPH1 gene. Also known as lamellipodin, this protein coordinates actin cytoskeleton remodeling, cell migration, and adhesion through interactions with Ena/VASP and small GTPases. Ras-associated and pleckstrin homology domains-containing protein 1 acts as a link between membrane signaling and actin polymerization, facilitating lamellipodia formation at the leading edge of motile cells. The RAPH1 antibody enables specific detection of this regulatory molecule in studies of motility, morphogenesis, and cell polarity.

Ras-associated and pleckstrin homology domains-containing protein 1 contains Ras-association and pleckstrin homology domains that mediate binding to activated Ras and phosphoinositides, respectively. These domains anchor RAPH1 to the plasma membrane where it recruits actin regulators such as Ena/VASP proteins to promote filament elongation. The RAPH1 antibody supports localization studies revealing how this scaffold integrates receptor-mediated signaling with actin dynamics. Its enrichment at lamellipodia and adhesion sites underscores its central role in coordinating directional migration.

RAPH1 interacts with the small GTPase Rap1 to influence integrin activation and cell adhesion. By bridging signaling pathways that control cytoskeletal organization, it contributes to epithelial integrity, immune cell motility, and neuronal pathfinding. The RAPH1 antibody allows visualization of these processes, providing insight into mechanisms governing cell migration during wound healing and development. RAPH1 dysfunction can impair motility or lead to aberrant invasion in tumor cells.

Lamellipodin has also been implicated in cancer progression and metastasis. Its overexpression enhances actin polymerization and invasive potential in various cancers including breast and colorectal carcinoma. The RAPH1 antibody supports analysis of these oncogenic roles by enabling quantification of protein levels in tumor tissues. Additionally, RAPH1 participates in mechanotransduction pathways by translating substrate stiffness into cytoskeletal rearrangement, linking extracellular cues to motility responses.

The RAPH1 antibody performs effectively in western blotting, immunofluorescence, and immunohistochemistry, yielding distinct membrane and cytoplasmic staining consistent with lamellipodial localization. NSJ Bioreagents provides this antibody as a validated, high-specificity reagent suitable for cell biology and oncology research. By enabling detailed study of Ras-associated and pleckstrin homology domains-containing protein 1, the RAPH1 antibody advances understanding of cytoskeletal signaling, adhesion regulation, and directional migration in physiological and pathological contexts.

Application Notes

Optimal dilution of the RAPH1 antibody should be determined by the researcher.

Immunogen

E.coli-derived human RAPH1 recombinant protein (Position: K37-D1199) was used as the immunogen for the RAPH1 antibody.

Storage

After reconstitution, the RAPH1 antibody can be stored for up to one month at 4oC. For long-term, aliquot and store at -20oC. Avoid repeated freezing and thawing.

Cross
Bulk Quote Request Form
Name*:
Organization*:
Email*:
Phone Number*:
Catalog No.*:
Comments and Specifics(amount, formulation, etc.)*:
Validation code: Captchapackage Image


Can't read the image? click here to refresh.
    *required field

Your bulk quote request has been submitted successfully!

Please contact us if you have any questions.