• Tel: 858.663.9055
  • SeparatorEmail: info@nsjbio.com
  • Tel: 858.663.9055
  • Email: info@nsjbio.com
Home >> Antibodies >> RANK Antibody

RANK Antibody (R32806)

  Catalog No Formulation Size Price (USD)  
Image R32806 0.5mg/ml if reconstituted with 0.2ml sterile DI water 100 ug 449
Bulk quote request
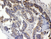
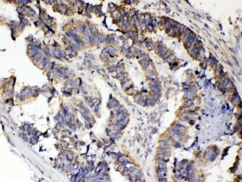
IHC testing of FFPE human intestinal cancer tissue with RANK antibody at 1ug/ml. Required HIER: steam section in pH6 citrate buffer for 20 min and allow to cool prior to testing.
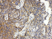
IHC testing of FFPE human lung cancer tissue with RANK antibody at 1ug/ml. Required HIER: steam section in pH6 citrate buffer for 20 min and allow to cool prior to testing.
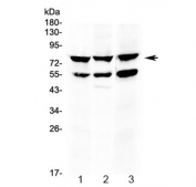
Western blot testing of 1) rat thymus, 2) mouse thymus and 3) human HepG2 lysate with RANK antibody at 0.5ug/ml. Predicted molecular weight ~66 kDa, routinely observed at 80~100 kDa.
Availability 1-3 business days
Species Reactivity Human, Mouse, Rat
Format Antigen affinity purified
Host Rabbit
Clonality Polyclonal (rabbit origin)
Isotype Rabbit IgG
Purity Antigen affinity
Buffer Lyophilized from 1X PBS with 2.5% BSA, 0.025% sodium azide
UniProt Q9Y6Q6
Localization Cytoplasmic, membranous
Applications Western Blot : 0.5-1ug/ml
IHC (FFPE) : 1-2ug/ml
Limitations This RANK antibody is available for research use only.
Review this product on BioCompare and get a $20 Amazon gift card

Related Products

  • Applications : WB, IHC-P
    Reactivity : Human
  • Applications : WB, ELISA (protein)
    Reactivity : Mouse
  • Applications : WB, ELISA
    Reactivity : Human

Description

Receptor Activator of Nuclear Factor kB (RANK), also known as TRANCE Receptor, is a type I membrane protein that is expressed on the surface of osteoclasts and is involved in their activation upon ligand binding. RANK is also expressed on dendritic cells and facilitates immune signaling. It is found on the surface of stromal cells, osteoblasts, and T cells. By analysis of somatic cell and radiation hybrid panels, this gene is mapped to 18q22.1.

Application Notes

Optimal dilution of the RANK antibody should be determined by the researcher.

Immunogen

Amino acids 235-262 (YRKKGKALTANLWHWINEACGRLSGDKE) from the human protein were used as the immunogen for the RANK antibody.

Storage

After reconstitution, the RANK antibody can be stored for up to one month at 4oC. For long-term, aliquot and store at -20oC. Avoid repeated freezing and thawing.

Cross
Bulk Quote Request Form
Name*:
Organization*:
Email*:
Phone Number*:
Catalog No.*:
Comments and Specifics(amount, formulation, etc.)*:
Validation code: Captchapackage Image


Can't read the image? click here to refresh.
    *required field

Your bulk quote request has been submitted successfully!

Please contact us if you have any questions.