• Tel: 858.663.9055
  • SeparatorEmail: info@nsjbio.com
  • Tel: 858.663.9055
  • Email: info@nsjbio.com
Home >> Antibodies >> RANK Antibody

RANK Antibody (R30453)

  Catalog No Formulation Size Price (USD)  
Image R30453 0.5mg/ml if reconstituted with 0.2ml sterile DI water 100 ug 449
Bulk quote request
Western blot testing of RANK antibody and Lane 1: recombinant human protein 10ng; 2: 5ng; 3: 2.5ng
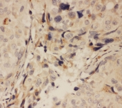
IHC testing of FFPE human breast cancer tissue with RANK antibody at 1ug/ml. Required HIER: steam section in pH6 citrate buffer for 20 min and allow to cool prior to tetsting.
Availability 1-3 business days
Species Reactivity Human
Format Antigen affinity purified
Host Rabbit
Clonality Polyclonal (rabbit origin)
Isotype Rabbit IgG
Purity Antigen affinity
Buffer Lyophilized from 1X PBS with 2.5% BSA and 0.025% sodium azide/thimerosal
UniProt Q9Y6Q6
Localization Cytoplasmic, membranous
Applications Western Blot : 0.5-1ug/ml
IHC (FFPE) : 0.5-1ug/ml
Limitations This RANK antibody is available for research use only.
Review this product on BioCompare and get a $20 Amazon gift card

Related Products

  • Applications : WB, ELISA (protein)
    Reactivity : Mouse
  • Applications : WB, IHC-P
    Reactivity : Human, Mouse, Rat
  • Applications : WB, ELISA
    Reactivity : Human

Description

Receptor Activator of Nuclear Factor K B, also known as TRANCE Receptor and Tumor necrosis factor receptor superfamily member 11A (TNFRSF11A), is a type I membrane protein that is expressed on the surface of osteoclasts and is involved in their activation upon ligand binding. RANK is also expressed on dendritic cells and facilitates immune signaling. RANKL (Receptor Activator for Nuclear Factor K B Ligand) is found on the surface of stromal cells, osteoblasts, and T cells. By analysis of somatic cell and radiation hybrid panels, Anderson et al.(1997) mapped the RANK gene to 18q22.1.

Application Notes

The stated application concentrations are suggested starting amounts. Titration of the RANK antibody may be required due to differences in protocols and secondary/substrate sensitivity.

Immunogen

An amino acid sequence from the N-terminus of human RANK (QIAPPCTSEKHYEHLG) was used as the immunogen for this RANK antibody.

Storage

After reconstitution, the RANK antibody can be stored for up to one month at 4oC. For long-term, aliquot and store at -20oC. Avoid repeated freezing and thawing.

Cross
Bulk Quote Request Form
Name*:
Organization*:
Email*:
Phone Number*:
Catalog No.*:
Comments and Specifics(amount, formulation, etc.)*:
Validation code: Captchapackage Image


Can't read the image? click here to refresh.
    *required field

Your bulk quote request has been submitted successfully!

Please contact us if you have any questions.