• Tel: 858.663.9055
  • SeparatorEmail: info@nsjbio.com
  • Tel: 858.663.9055
  • Email: info@nsjbio.com
Home >> Antibodies >> RANBP2 Antibody

RANBP2 Antibody (RQ7790)

  Catalog No Formulation Size Price (USD)  
Image RQ7790 0.5mg/ml if reconstituted with 0.2ml sterile DI water 100 ug 449
Bulk quote request
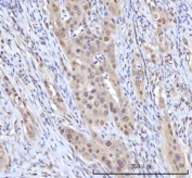
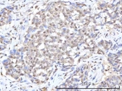
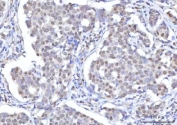
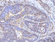
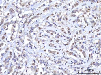
IHC staining of FFPE human breast cancer tissue with RANBP2 antibody. HIER: boil tissue sections in pH8 EDTA for 20 min and allow to cool before testing.
IHC staining of FFPE human lung squamous cell carcinoma tissue with RANBP2 antibody. HIER: boil tissue sections in pH8 EDTA for 20 min and allow to cool before testing.
IHC staining of FFPE human ovary serous carcinoma tissue with RANBP2 antibody. HIER: boil tissue sections in pH8 EDTA for 20 min and allow to cool before testing.
IHC staining of FFPE human esophageal squamous carcinoma tissue with RANBP2 antibody. HIER: boil tissue sections in pH8 EDTA for 20 min and allow to cool before testing.
IHC staining of FFPE human rectum adenocarcinoma tissue with RANBP2 antibody. HIER: boil tissue sections in pH8 EDTA for 20 min and allow to cool before testing.
IHC staining of FFPE human appendix adenocarcinoma tissue with RANBP2 antibody. HIER: boil tissue sections in pH8 EDTA for 20 min and allow to cool before testing.
Immunofluorescent staining of FFPE human U-2 OS cells with RANBP2 antibody (red) and DAPI nuclear stain (blue). HIER: steam section in pH6 citrate buffer for 20 min.
Western blot testing of human K562 cell lysate with RANBP2 antibody. Predicted molecular weight ~358 kDa.
Flow cytometry testing of human MCF7 cells with RANBP2 antibody at 1ug/million cells (blocked with goat sera); Red=cells alone, Green=isotype control, Blue= RANBP2 antibody.
Availability 1-3 business days
Species Reactivity Human
Format Antigen affinity purified
Host Rabbit
Clonality Polyclonal (rabbit origin)
Isotype Rabbit IgG
Purity Antigen affinity purified
Buffer Lyophilized from 1X PBS with 2% Trehalose
UniProt P49792
Localization Nuclear, cytoplasmic (vesicles)
Applications Western Blot : 0.5-1ug/ml
Immunohistochemistry (FFPE) : 2-5ug/ml
Immunofluorescence : 5ug/ml
Flow Cytometry : 1-3ug/million cells
Direct ELISA : 0.1-0.5ug/ml
Limitations This RANBP2 antibody is available for research use only.
Review this product on BioCompare and get a $20 Amazon gift card

Related Products

Description

RAN binding protein 2 (RANBP2) is protein which in humans is encoded by the RANBP2 gene. This gene encodes a very large RAN-binding protein that immunolocalizes to the nuclear pore complex. The protein is a giant scaffold and mosaic cyclophilin-related nucleoporin implicated in the Ran-GTPase cycle. And the encoded protein directly interacts with the E2 enzyme UBC9 and strongly enhances SUMO1 transfer from UBC9 to the SUMO1 target SP100. These findings place sumoylation at the cytoplasmic filaments of the nuclear pore complex and suggest that, for some substrates, modification and nuclear import are linked events. This gene is partially duplicated in a gene cluster that lies in a hot spot for recombination on chromosome 2q.

Application Notes

Optimal dilution of the RANBP2 antibody should be determined by the researcher.

Immunogen

E. coli-derived recombinant human protein (amino acids N906-D2744) was used as the immunogen for the RANBP2 antibody.

Storage

After reconstitution, the RANBP2 antibody can be stored for up to one month at 4oC. For long-term, aliquot and store at -20oC. Avoid repeated freezing and thawing.

Cross
Bulk Quote Request Form
Name*:
Organization*:
Email*:
Phone Number*:
Catalog No.*:
Comments and Specifics(amount, formulation, etc.)*:
Validation code: Captchapackage Image


Can't read the image? click here to refresh.
    *required field

Your bulk quote request has been submitted successfully!

Please contact us if you have any questions.