• Tel: 858.663.9055
  • SeparatorEmail: info@nsjbio.com
  • Tel: 858.663.9055
  • Email: info@nsjbio.com
Home >> Antibodies >> RAD50 Antibody

RAD50 Antibody (RQ7032)

  Catalog No Formulation Size Price (USD)  
Image RQ7032 0.5mg/ml if reconstituted with 0.2ml sterile DI water 100 ug 449
Bulk quote request
Immunofluorescent staining of FFPE human A549 cells with RAD50 antibody (green) and DAPI nuclear stain (blue). HIER: steam section in pH6 citrate buffer for 20 min.
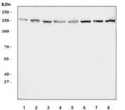
Western blot testing of human 1) Jurkat, 2) MCF7, 3) HeLa, 4) K562, 5) A549, 6) Caco-2, 7) Daudi and 8) SH-SY5Y cell lysate with RAD50 antibody. Predicted molecular weight 138-154 kDa (multiple isoforms).
Flow cytometry testing of fixed and permeabilized human MCF7 cells with RAD50 antibody at 1ug/million cells (blocked with goat sera); Red=cells alone, Green=isotype control, Blue= RAD50 antibody.
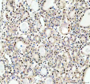
IHC staining of FFPE human thyroid cancer tissue with RAD50 antibody, HRP-secondary and DAB substrate. HIER: boil tissue sections in pH8 EDTA for 20 min and allow to cool before testing.
IHC staining of FFPE human testis tissue with RAD50 antibody, HRP-secondary and DAB substrate. HIER: boil tissue sections in pH8 EDTA for 20 min and allow to cool before testing.
Immunofluorescent staining of FFPE human A549 cells with RAD50 antibody (green) and Alpha Tubulin mAb (red). HIER: steam section in pH6 citrate buffer for 20 min.
Western blot testing of 1) human Jurkat, 2) human MCF7, 3) human HeLa, 4) human K562, 5) rat thymus, 6) rat C6, 7) mouse thymus and 8) NIH 3T3 cell lysate with RAD50 antibody. Predicted molecular weight 138-154 kDa (multiple isoforms).
Availability 1-3 business days
Species Reactivity Human, Mouse, Rat
Format Antigen affinity purified
Host Rabbit
Clonality Polyclonal (rabbit origin)
Isotype Rabbit IgG
Purity Antigen affinity purified
Buffer Lyophilized from 1X PBS with 2% Trehalose
UniProt Q92878
Localization Nuclear
Applications Western Blot : 0.5-1 ug/ml
Immunofluorescence : 5ug/ml
Flow Cytometry : 1-3ug/million cells
Immunohistochemistry (FFPE) : 2-5ug/ml
Direct ELISA : 0.1-0.5ug/ml
Limitations This RAD50 antibody is available for research use only.
Review this product on BioCompare and get a $20 Amazon gift card

Description

RAD50 is a key component of the MRN complex, which also includes MRE11 and NBS1, and plays an essential role in the detection and repair of DNA double-strand breaks. Through its ATPase activity and structural domains, RAD50 helps tether DNA ends, enabling accurate processing and repair via homologous recombination or non-homologous end joining pathways. This function is critical for maintaining genomic stability and preventing accumulation of DNA damage.

RAD50 is expressed in a wide range of proliferating cells and is highly conserved across species, reflecting its fundamental role in DNA repair and cell cycle regulation. Beyond its function in DNA repair, RAD50 is also involved in telomere maintenance and meiotic recombination, making it an important protein for studies in genomic maintenance and cellular stress responses.

The RAD50 antibody is a highly specific reagent for detecting endogenous RAD50 in applications such as western blot, immunohistochemistry, and immunofluorescence. Researchers use the RAD50 antibody from NSJ Bioreagents to analyze protein expression patterns, study DNA damage response pathways, and investigate the molecular mechanisms of genomic repair. With proven reliability and consistent performance, the RAD50 antibody supports research into genome stability, DNA repair processes, and cellular defense mechanisms against genotoxic stress.

Application Notes

Optimal dilution of the RAD50 antibody should be determined by the researcher.

Immunogen

Recombinant human protein (amino acids N1224-H1312) was used as the immunogen for the RAD50 antibody.

Storage

After reconstitution, the RAD50 antibody can be stored for up to one month at 4oC. For long-term, aliquot and store at -20oC. Avoid repeated freezing and thawing.

Cross
Bulk Quote Request Form
Name*:
Organization*:
Email*:
Phone Number*:
Catalog No.*:
Comments and Specifics(amount, formulation, etc.)*:
Validation code: Captchapackage Image


Can't read the image? click here to refresh.
    *required field

Your bulk quote request has been submitted successfully!

Please contact us if you have any questions.