• Tel: 858.663.9055
  • SeparatorEmail: info@nsjbio.com
  • Tel: 858.663.9055
  • Email: info@nsjbio.com
Home >> Antibodies >> Rabphilin 3A Antibody / RPH3A

Rabphilin 3A Antibody / RPH3A (RQ8195)

  Catalog No Formulation Size Price (USD)  
Image RQ8195 0.5mg/ml if reconstituted with 0.2ml sterile DI water 100 ug 449
Bulk quote request
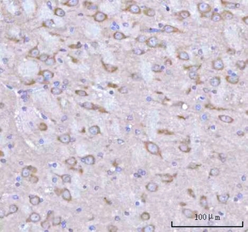
IHC staining of FFPE rat brain tissue with Rabphilin 3A antibody. HIER: boil tissue sections in pH8 EDTA for 20 min and allow to cool before testing.
IHC staining of FFPE mouse brain tissue with Rabphilin 3A antibody. HIER: boil tissue sections in pH8 EDTA for 20 min and allow to cool before testing.
Western blot testing of 1) human HeLa, 2) rat brain and 3) mouse brain tissue lysate with Rabphilin 3A antibody. Predicted molecular weight ~77 kDa.
Availability 1-3 business days
Species Reactivity Human, Mouse, Rat
Format Antigen affinity purified
Host Rabbit
Clonality Polyclonal (rabbit origin)
Isotype Rabbit IgG
Purity Antigen affinity purified
Buffer Lyophilized from 1X PBS with 2% Trehalose
UniProt Q9Y2J0
Applications Western Blot : 0.5-1ug/ml
Immunohistochemistry (FFPE) : 2-5ug/ml
Direct ELISA : 0.1-0.5ug/ml
Limitations This Rabphilin 3A antibody is available for research use only.
Review this product on BioCompare and get a $20 Amazon gift card

Description

Rabphilin-3A is a protein that in humans is encoded by the RPH3A gene. The protein encoded by this gene is thought to be an effector for RAB3A, which is a small G protein that acts in the late stages of neurotransmitter exocytosis. The encoded protein may be involved in neurotransmitter release and synaptic vesicle traffic.

Application Notes

Optimal dilution of the Rabphilin 3A antibody should be determined by the researcher.

Immunogen

E. coli-derived recombinant human protein (amino acids R78-Q564) was used as the immunogen for the Rabphilin 3A antibody.

Storage

After reconstitution, the Rabphilin 3A antibody can be stored for up to one month at 4oC. For long-term, aliquot and store at -20oC. Avoid repeated freezing and thawing.

Cross
Bulk Quote Request Form
Name*:
Organization*:
Email*:
Phone Number*:
Catalog No.*:
Comments and Specifics(amount, formulation, etc.)*:
Validation code: Captchapackage Image


Can't read the image? click here to refresh.
    *required field

Your bulk quote request has been submitted successfully!

Please contact us if you have any questions.