• Tel: 858.663.9055
  • SeparatorEmail: info@nsjbio.com
  • Tel: 858.663.9055
  • Email: info@nsjbio.com
Home >> Antibodies >> RAB3GAP2 Antibody

RAB3GAP2 Antibody (RQ5116)

  Catalog No Formulation Size Price (USD)  
Image RQ5116 0.5mg/ml if reconstituted with 0.2ml sterile DI water 100 ug 449
Bulk quote request
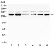
Western blot testing of human 1) K562, 2) HL60, 3) ThP-1, 4) Raji, 5) HeLa and 6) HepG2 cell lysate with RAB3GAP2 antibody. Predicted molecular weight ~156 kDa.
Western blot testing of mouse 1) thymus, 2) kidney and 3) HEPA1-6 lysate with RAB3GAP2 antibody. Predicted molecular weight ~156 kDa.
Flow cytometry testing of human Caco-2 cells with RAB3GAP2 antibody at 1ug/million cells (blocked with goat sera); Red=cells alone, Green=isotype control, Blue= RAB3GAP2 antibody.
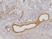
IHC staining of FFPE human breast cancer with RAB3GAP2 antibody. HIER: boil tissue sections in pH6, 10mM citrate buffer, for 20 min and allow to cool before testing.
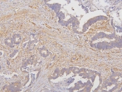
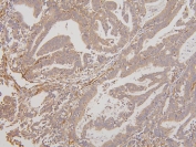
IHC staining of FFPE human rectal cancer with RAB3GAP2 antibody. HIER: boil tissue sections in pH6, 10mM citrate buffer, for 20 min and allow to cool before testing.
IHC staining of FFPE human colon cancer with RAB3GAP2 antibody. HIER: boil tissue sections in pH6, 10mM citrate buffer, for 20 min and allow to cool before testing.
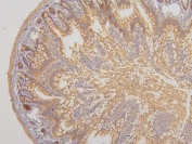
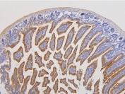
IHC staining of FFPE mouse intestine with RAB3GAP2 antibody. HIER: boil tissue sections in pH6, 10mM citrate buffer, for 20 min and allow to cool before testing.
IHC staining of FFPE rat intestine with RAB3GAP2 antibody. HIER: boil tissue sections in pH6, 10mM citrate buffer, for 20 min and allow to cool before testing.
Availability 1-3 business days
Species Reactivity Human, Mouse, Rat
Format Antigen affinity purified
Host Rabbit
Clonality Polyclonal (rabbit origin)
Isotype Rabbit IgG
Purity Affinity purified
Buffer Lyophilized from 1X PBS with 2% Trehalose and 0.025% sodium azide
UniProt Q9H2M9
Applications Western Blot : 0.5-1ug/ml
Immunohistochemistry (FFPE) : 1-2ug/ml
Flow Cytometry : 1-3ug/million cells
Direct ELISA : 0.1-0.5ug/ml
Limitations This RAB3GAP2 antibody is available for research use only.
Review this product on BioCompare and get a $20 Amazon gift card

Description

Rab3 GTPase-activating protein non-catalytic subunit is an enzyme that in humans is encoded by the RAB3GAP2 gene. It is mapped to 1q41. The protein encoded by this gene belongs to the RAB3 protein family, members of which are involved in regulated exocytosis of neurotransmitters and hormones. This protein forms the Rab3 GTPase-activating complex with RAB3GAP1, where it constitutes the regulatory subunit, whereas the latter functions as the catalytic subunit. This gene has the highest level of expression in the brain, consistent with it having a key role in neurodevelopment. Mutations in this gene are associated with Martsolf syndrome.

Application Notes

Optimal dilution of the RAB3GAP2 antibody should be determined by the researcher.

Immunogen

Amino acids M1-Q115 from the human protein were used as the immunogen for the RAB3GAP2 antibody.

Storage

Store the RAB3GAP2 antibody at -20oC.

Cross
Bulk Quote Request Form
Name*:
Organization*:
Email*:
Phone Number*:
Catalog No.*:
Comments and Specifics(amount, formulation, etc.)*:
Validation code: Captchapackage Image


Can't read the image? click here to refresh.
    *required field

Your bulk quote request has been submitted successfully!

Please contact us if you have any questions.