• Tel: 858.663.9055
  • SeparatorEmail: info@nsjbio.com
  • Tel: 858.663.9055
  • Email: info@nsjbio.com
Home >> Antibodies >> RAB27B Antibody / Ras-related protein Rab-27B

RAB27B Antibody / Ras-related protein Rab-27B (FY12641)

  Catalog No Formulation Size Price (USD)  
Image FY12641 Adding 0.2 ml of distilled water will yield a concentration of 500 ug/ml 100 ug 449
Bulk quote request
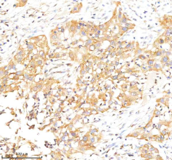
Immunohistochemical staining of RAB27B using anti-RAB27B antibody. RAB27B was detected in a paraffin-embedded section of human bladder cancer tissue. Heat mediated antigen retrieval was performed in EDTA buffer (pH 8.0, epitope retrieval solution). The tissue section was blocked with 10% goat serum. The tissue section was then incubated with 2 ug/ml rabbit anti-RAB27B antibody overnight at 4oC. Peroxidase Conjugated Goat Anti-rabbit IgG was used as secondary antibody and incubated for 30 minutes at 37oC. The tissue section was developed using an HRP secondary and DAB substrate.
Western blot analysis of RAB27B using anti-RAB27B antibody. Lane 1: human MCF-7 whole cell lysates, Lane 2: human PC-3 whole cell lysates, Lane 3: human U-87MG whole cell lysates, Lane 4: rat stomach tissue lysates, Lane 5: mouse stomach tissue lysates. After electrophoresis, proteins were transferred to a nitrocellulose membrane at 150 mA for 50-90 minutes. Blocked the membrane with 5% non-fat milk/TBS for 1.5 hour at RT. The membrane was incubated with rabbit anti-RAB27B antibody at 0.5 ug/ml overnight at 4oC, then washed with TBS-0.1%Tween 3 times with 5 minutes each and probed with a goat anti-rabbit IgG-HRP secondary antibody at a dilution of 1:5000 for 1.5 hour at RT. The signal was developed using enhanced chemiluminescent. A specific band was detected for RAB27B at approximately 25 kDa. The expected molecular weight of RAB27B is ~25 kDa.
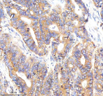
Immunohistochemical staining of RAB27B using anti-RAB27B antibody. RAB27B was detected in a paraffin-embedded section of human stomach cancer tissue. Heat mediated antigen retrieval was performed in EDTA buffer (pH 8.0, epitope retrieval solution). The tissue section was blocked with 10% goat serum. The tissue section was then incubated with 2 ug/ml rabbit anti-RAB27B antibody overnight at 4oC. Peroxidase Conjugated Goat Anti-rabbit IgG was used as secondary antibody and incubated for 30 minutes at 37oC. The tissue section was developed using an HRP secondary and DAB substrate.
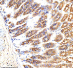
Immunohistochemical staining of RAB27B using anti-RAB27B antibody. RAB27B was detected in a paraffin-embedded section of mouse stomach tissue. Heat mediated antigen retrieval was performed in EDTA buffer (pH 8.0, epitope retrieval solution). The tissue section was blocked with 10% goat serum. The tissue section was then incubated with 2 ug/ml rabbit anti-RAB27B antibody overnight at 4oC. Peroxidase Conjugated Goat Anti-rabbit IgG was used as secondary antibody and incubated for 30 minutes at 37oC. The tissue section was developed using an HRP secondary and DAB substrate.
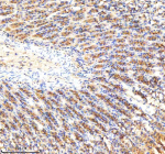
Immunohistochemical staining of RAB27B using anti-RAB27B antibody. RAB27B was detected in a paraffin-embedded section of rat stomach tissue. Heat mediated antigen retrieval was performed in EDTA buffer (pH 8.0, epitope retrieval solution). The tissue section was blocked with 10% goat serum. The tissue section was then incubated with 2 ug/ml rabbit anti-RAB27B antibody overnight at 4oC. Peroxidase Conjugated Goat Anti-rabbit IgG was used as secondary antibody and incubated for 30 minutes at 37oC. The tissue section was developed using an HRP secondary and DAB substrate.
Immunofluorescent staining of RAB27B using anti-RAB27B antibody (green). RAB27B was detected in an immunocytochemical section of cells. Enzyme antigen retrieval was performed using IHC enzyme antigen retrieval reagent for 15 mins. The cells were blocked with 10% goat serum. And then incubated with 5 ug/ml rabbit anti-RAB27B antibody overnight at 4oC. DyLight 488 Conjugated Goat Anti-Rabbit IgG was used as secondary antibody at 1:500 dilution and incubated for 30 minutes at 37oC. The section was counterstained with DAPI nuclear stain (blue). Visualize using a fluorescence microscope and filter sets appropriate for the label used.
Flow Cytometry analysis of PC-3 cells using anti-RAB27B antibody. Overlay histogram showing PC-3 cells stained with (Blue line). To facilitate intracellular staining, cells were fixed with 4% paraformaldehyde and permeabilized with permeabilization buffer. The cells were blocked with 10% normal goat serum. And then incubated with rabbit anti-RAB27B antibody (1 ug/million cells) for 30 min at 20oC. DyLight 488 conjugated goat anti-rabbit IgG (5-10 ug/million cells) was used as secondary antibody for 30 minutes at 20oC. Isotype control antibody (Green line) was rabbit IgG (1 ug/million cells) used under the same conditions. Unlabelled sample without incubation with primary antibody and secondary antibody (Red line) was used as a blank control.
Availability 1-2 days
Species Reactivity Human, Mouse, Rat
Format Lyophilized
Host Rabbit
Clonality Polyclonal (rabbit origin)
Isotype Rabbit IgG
Purity Immunogen affinity purified
Buffer Each vial contains 4 mg Trehalose, 0.9 mg NaCl, 0.2 mg Na2HPO4.
UniProt O00194
Localization Cytoplasm, Golgi, Plasma membrane
Applications Western Blot : 0.25-0.5ug/ml
Immunohistochemistry : 2-5ug/ml
Immunocytochemistry/Immunofluorescence : 5ug/ml
Flow Cytometry : 1-3ug/million cells
Limitations This RAB27B antibody is available for research use only.
Review this product on BioCompare and get a $20 Amazon gift card

Related Products

  • Applications : WB, IHC, ELISA
    Reactivity : Human
    Pred. Reactivity : Mouse
  • Applications : WB, FACS, ELISA
    Reactivity : Human
  • Applications : ELISA, IF, IHC, ICC, WB
    Reactivity : Human, Mouse, Rat

Description

RAB27B antibody detects Ras-related protein Rab-27B, a member of the Rab family of small GTPases that regulates vesicle docking, secretion, and exocytosis. RAB27B plays key roles in platelet dense granule release, melanosome transport, and hormone secretion. The RAB27B antibody is widely used in cell biology, endocrinology, and neurobiology to study regulated exocytosis and vesicle trafficking.

RAB27B is encoded by the RAB27B gene located on human chromosome 18q21.32. The protein is approximately 221 amino acids long and cycles between active GTP-bound and inactive GDP-bound states. RAB27B localizes to secretory vesicles and interacts with effector proteins such as SYTL2, MLPH, and Slac2 family members, facilitating vesicle tethering to the plasma membrane before exocytosis.

The RAB27B antibody detects a 25 kilodalton protein by western blot and shows vesicular punctate staining under confocal microscopy. RAB27B functions in a wide range of cell types, including platelets, endocrine cells, and neurons, where it regulates secretion of serotonin, insulin, and neurotransmitters. In melanocytes, RAB27B cooperates with RAB27A to control melanosome transport and pigment distribution.

Dysregulation of RAB27B has been linked to cancer metastasis, neurodegenerative disease, and immune dysfunction. Overexpression enhances invasive potential in breast and colorectal cancers by promoting secretion of exosomes that modify the tumor microenvironment. Mutations or reduced function lead to granule secretion defects and pigmentation abnormalities.

Because RAB27B regulates exocytosis and vesicle transport, it serves as a model for understanding intracellular trafficking mechanisms and communication between cells. NSJ Bioreagents provides a validated RAB27B antibody optimized for western blot, immunofluorescence, and vesicle transport assays, supporting studies in secretion, membrane dynamics, and cellular signaling.

Application Notes

Optimal dilution of the RAB27B antibody should be determined by the researcher.

Immunogen

A synthetic peptide corresponding to a sequence at the C-terminus of human RAB27B was used as the immunogen for the RAB27B antibody.

Storage

After reconstitution, the RAB27B antibody can be stored for up to one month at 4oC. For long-term, aliquot and store at -20oC. Avoid repeated freezing and thawing.

Cross
Bulk Quote Request Form
Name*:
Organization*:
Email*:
Phone Number*:
Catalog No.*:
Comments and Specifics(amount, formulation, etc.)*:
Validation code: Captchapackage Image


Can't read the image? click here to refresh.
    *required field

Your bulk quote request has been submitted successfully!

Please contact us if you have any questions.