• Tel: 858.663.9055
  • SeparatorEmail: info@nsjbio.com
  • Tel: 858.663.9055
  • Email: info@nsjbio.com
Home >> Antibodies >> RAB27B Antibody / Ras related protein Rab-27B

RAB27B Antibody / Ras related protein Rab-27B (FY12051)

  Catalog No Formulation Size Price (USD)  
Image FY12051 Adding 0.2 ml of distilled water will yield a concentration of 500 ug/ml 100 ug 449
Bulk quote request
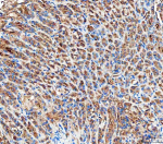
IHC analysis of RAB27B using anti-RAB27B antibody. RAB27B was detected in a paraffin-embedded section of human prostatic cancer tissue. Heat mediated antigen retrieval was performed in EDTA buffer (pH 8.0, epitope retrieval solution). The tissue section was blocked with 10% goat serum. The tissue section was then incubated with 2 ug/ml rabbit anti-RAB27B antibody overnight at 4oC. Peroxidase Conjugated Goat Anti-rabbit IgG was used as secondary antibody and incubated for 30 minutes at 37oC. The tissue section was developed using an HRP secondary and DAB substrate.
Western blot analysis of RAB27B using anti-RAB27B antibody. Electrophoresis was performed on a 10% SDS-PAGE gel at 80V (Stacking gel) / 120V (Resolving gel) for 2 hours. Lane 1: human HEL whole cell lysates, Lane 2: human RT4 whole cell lysates, Lane 3: human Hacat whole cell lysates, Lane 4: human whole cell lysates. After electrophoresis, proteins were transferred to a nitrocellulose membrane at 150 mA for 50-90 minutes. Blocked the membrane with 5% non-fat milk/TBS for 1.5 hour at RT. The membrane was incubated with rabbit anti-RAB27B antibody at 0.5 ug/ml overnight at 4oC, then washed with TBS-0.1%Tween 3 times with 5 minutes each and probed with a goat anti-rabbit IgG-HRP secondary antibody at a dilution of 1:5000 for 1.5 hour at RT. The signal was developed using an ECL Plus Western Blotting Substrate. The expected band size for RAB27B is 25-27 kDa.
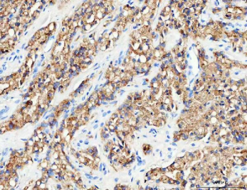
IHC analysis of RAB27B using anti-RAB27B antibody. RAB27B was detected in a paraffin-embedded section of mouse stomach tissue. Heat mediated antigen retrieval was performed in EDTA buffer (pH 8.0, epitope retrieval solution). The tissue section was blocked with 10% goat serum. The tissue section was then incubated with 2 ug/ml rabbit anti-RAB27B antibody overnight at 4oC. Peroxidase Conjugated Goat Anti-rabbit IgG was used as secondary antibody and incubated for 30 minutes at 37oC. The tissue section was developed using an HRP secondary and DAB substrate.
IHC analysis of RAB27B using anti-RAB27B antibody. RAB27B was detected in a paraffin-embedded section of rat stomach tissue. Heat mediated antigen retrieval was performed in EDTA buffer (pH 8.0, epitope retrieval solution). The tissue section was blocked with 10% goat serum. The tissue section was then incubated with 2 ug/ml rabbit anti-RAB27B antibody overnight at 4oC. Peroxidase Conjugated Goat Anti-rabbit IgG was used as secondary antibody and incubated for 30 minutes at 37oC. The tissue section was developed using an HRP secondary and DAB substrate.
Immunofluorescent staining of RAB27B using anti-RAB27B antibody (green). RAB27B was detected in a paraffin-embedded section of human bladder cancer tissue. Heat mediated antigen retrieval was performed in EDTA buffer (pH 8.0, epitope retrieval solution). The tissue section was blocked with 10% goat serum. The tissue section was then incubated with 5 ug/ml rabbit anti-RAB27B antibody overnight at 4oC. DyLight 488 Conjugated Goat Anti-Rabbit IgG was used as secondary antibody at 1:500 dilution and incubated for 30 minutes at 37oC. The section was counterstained with DAPI (blue). Visualize using a fluorescence microscope and filter sets appropriate for the label used.
Immunofluorescent staining of RAB27B using anti-RAB27B antibody (green). RAB27B was detected in an immunocytochemical section of cells. Enzyme antigen retrieval was performed using IHC enzyme antigen retrieval reagent for 15 mins. The cells were blocked with 10% goat serum. And then incubated with 5 ug/ml rabbit anti-RAB27B antibody overnight at 4oC. DyLight 488 Conjugated Goat Anti-Rabbit IgG was used as secondary antibody at 1:500 dilution and incubated for 30 minutes at 37oC. The section was counterstained with DAPI (blue). Visualize using a fluorescence microscope and filter sets appropriate for the label used.
Availability 1-2 days
Species Reactivity Human, Mouse, Rat
Format Lyophilized
Host Rabbit
Clonality Polyclonal (rabbit origin)
Isotype Rabbit IgG
Purity Immunogen affinity purified
Buffer Each vial contains 4 mg Trehalose, 0.9 mg NaCl, 0.2 mg Na2HPO4.
UniProt O00194
Applications ELISA : 0.1-0.5ug/ml
Immunofluorescence : 5ug/ml
Immunohistochemistry : 2-5ug/ml
Immunocytochemistry : 5ug/ml
Western Blot : 0.25-0.5ug/ml
Limitations This RAB27B antibody is available for research use only.
Review this product on BioCompare and get a $20 Amazon gift card

Related Products

  • Applications : WB, IHC, ELISA
    Reactivity : Human
    Pred. Reactivity : Mouse
  • Applications : WB, FACS, ELISA
    Reactivity : Human
  • Applications : WB, IHC, ICC/IF, FACS
    Reactivity : Human, Mouse, Rat

Description

RAB27B antibody detects Ras related protein Rab-27B, encoded by the RAB27B gene. Ras related protein Rab-27B is a member of the Rab family of small GTP binding proteins that regulate vesicle trafficking, secretion, and membrane transport. RAB27B antibody provides researchers with a highly specific reagent for studying secretory pathways, exocytosis, and disease processes involving vesicle transport.

Ras related protein Rab-27B localizes to secretory granules and vesicles, where it regulates docking and fusion events. Research using RAB27B antibody has shown that it interacts with effectors such as Munc13-4 and Slac2 proteins, coordinating tethering and priming of vesicles prior to exocytosis. This function is critical for regulated secretion in endocrine, neuronal, and immune cells.

Studies with RAB27B antibody have demonstrated that it plays a role in exocytosis of lysosome-related organelles, platelet dense granules, and lytic granules of cytotoxic T cells. By coordinating vesicle release, Rab-27B contributes to hormone secretion, platelet function, and immune responses. These findings highlight its broad physiological roles in vesicle biology.

Dysregulation of Ras related protein Rab-27B has been associated with cancer and neurological disease. Research using RAB27B antibody has shown that overexpression promotes secretion of growth factors and extracellular vesicles in cancers such as breast and gastric cancer, supporting invasion and metastasis. Variants in RAB27B also influence susceptibility to neurological disorders, where altered secretion affects neuronal communication.

RAB27B antibody is widely applied in immunofluorescence, western blotting, and immunohistochemistry. Immunofluorescence demonstrates vesicular localization, western blotting quantifies expression levels, and immunohistochemistry reveals tissue-specific distribution. These applications make RAB27B antibody indispensable for vesicle trafficking research.

By supplying validated RAB27B antibody reagents, NSJ Bioreagents supports studies into exocytosis, vesicle trafficking, and disease. Detection of Ras related protein Rab-27B provides researchers with insight into how Rab GTPases regulate secretion and intercellular communication.

Application Notes

Optimal dilution of the RAB27B antibody should be determined by the researcher.

Immunogen

E.coli-derived human RAB27B recombinant protein (Position: G4-C218) was used as the immunogen for the RAB27B antibody.

Storage

After reconstitution, the RAB27B antibody can be stored for up to one month at 4oC. For long-term, aliquot and store at -20oC. Avoid repeated freezing and thawing.

Cross
Bulk Quote Request Form
Name*:
Organization*:
Email*:
Phone Number*:
Catalog No.*:
Comments and Specifics(amount, formulation, etc.)*:
Validation code: Captchapackage Image


Can't read the image? click here to refresh.
    *required field

Your bulk quote request has been submitted successfully!

Please contact us if you have any questions.