• Tel: 858.663.9055
  • SeparatorEmail: info@nsjbio.com
  • Tel: 858.663.9055
  • Email: info@nsjbio.com
Home >> Antibodies >> RAB11 Antibody / Rab11A

RAB11 Antibody / Rab11A (R32159)

  Catalog No Formulation Size Price (USD)  
Image R32159 0.5mg/ml if reconstituted with 0.2ml sterile DI water 100 ug 449
Bulk quote request
IF/ICC staining of FFPE human U-2 OS cells with RAB11 antibody (green) at 5ug/ml and DAPI nuclear stain (blue). HIER: steam section in pH6 citrate buffer for 20 min.
IF/ICC staining of FFPE human A549 cells with RAB11 antibody (green) at 2ug/ml and DAPI nuclear stain (blue). HIER: steam section in pH6 citrate buffer for 20 min.
Flow cytometry testing of fixed and permeabilized human SH-SY5Y cells with RAB11 antibody at 1ug/10^6 cells (blocked with goat sera); Red=cells alone, Green=isotype control, Blue= RAB11 antibody.
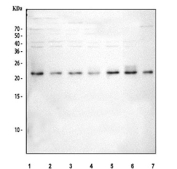
Western blot testing of human 1) 293T, 2) SH-SY5Y, 3) HeLa, 4) MCF7, 5) A549, 6) RT4 and 7) HaCaT cell lysate with RAB11 antibody. Predicted molecular weight ~24 kDa.
Western blot testing of human 1) rat brain, 2) rat spleen, 3) rat lung, 4) rat PC-12, 5) mouse brain, 6) mouse spleen, 7) mouse lung and 8) mouse NIH 3T3 cell lysate with RAB11 antibody. Predicted molecular weight ~24 kDa.
Availability 1-3 business days
Species Reactivity Human, Mouse, Rat
Format Antigen affinity purified
Host Rabbit
Clonality Polyclonal (rabbit origin)
Isotype Rabbit IgG
Purity Antigen affinity
Buffer Lyophilized from 1X PBS with 2% Trehalose
UniProt P62491
Localization Cytoplasm, cell membrane
Applications Western Blot : 0.5-1ug/ml
Immunofluorescence : 5ug/ml
Flow Cytometry : 1-3ug/million cells
Limitations This RAB11 antibody is available for research use only.
Review this product on BioCompare and get a $20 Amazon gift card

Related Products

  • Applications : WB, IHC-P, IF, FACS
    Reactivity : Human, Mouse, Rat
  • Applications : WB, IP
    Reactivity : Human, Mouse, Rat
  • Applications : WB, ELISA (peptide)
    Reactivity : Human, Mouse
    Pred. Reactivity : Cow, Rat

Description

RAB11 is a member of the RAB family of small GTPases, which are master regulators of intracellular vesicle trafficking. Specifically, RAB11 is critical for regulating recycling endosome dynamics and the trafficking of cargo from recycling endosomes back to the plasma membrane. It plays a vital role in processes such as receptor recycling, cytokinesis, epithelial polarity, and membrane protein localization.

RAB11 is widely expressed and functionally conserved across species. It is essential for maintaining cell surface receptor levels, especially in rapidly cycling cells such as epithelial and immune cells. Dysregulation of RAB11-mediated trafficking has been implicated in several disease processes, including cancer, neurodegenerative disorders, and infectious diseases, where altered membrane trafficking affects signaling, adhesion, and immune responses.

The RAB11 antibody is an indispensable tool for researchers studying membrane trafficking, cell polarity, and endosomal recycling. With validated performance in applications such as immunofluorescence, western blotting, and immunohistochemistry, the RAB11 antibody enables specific and sensitive detection of endogenous RAB11. The RAB11 antibody is especially useful for visualizing subcellular localization and vesicle trafficking dynamics in both normal and pathological conditions.

Application Notes

Optimal dilution of the RAB11 antibody should be determined by the researcher.

Immunogen

Amino acids EIYRIVSQKQMSDRRENDMSPSNNVVPIHVPPTTENKPKVQ of human RAB11A were used as the immunogen for the RAB11 antibody.

Storage

After reconstitution, the RAB11 antibody can be stored for up to one month at 4oC. For long-term, aliquot and store at -20oC. Avoid repeated freezing and thawing.

Cross
Bulk Quote Request Form
Name*:
Organization*:
Email*:
Phone Number*:
Catalog No.*:
Comments and Specifics(amount, formulation, etc.)*:
Validation code: Captchapackage Image


Can't read the image? click here to refresh.
    *required field

Your bulk quote request has been submitted successfully!

Please contact us if you have any questions.