• Tel: 858.663.9055
  • SeparatorEmail: info@nsjbio.com
  • Tel: 858.663.9055
  • Email: info@nsjbio.com
Home >> Antibodies >> QRSL1 Antibody / Glutamyl-tRNA amidotransferase subunit A

QRSL1 Antibody / Glutamyl-tRNA amidotransferase subunit A (FY12918)

  Catalog No Formulation Size Price (USD)  
Image FY12918 Adding 0.2 ml of distilled water will yield a concentration of 500 ug/ml 100 ug 439
Bulk quote request
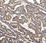
Immunohistochemical staining of QRSL1 using anti-QRSL1 antibody. QRSL1 was detected in a paraffin-embedded section of human colon cancer tissue. Heat mediated antigen retrieval was performed in EDTA buffer (pH 8.0, epitope retrieval solution). The tissue section was blocked with 10% goat serum. The tissue section was then incubated with 2 ug/ml rabbit anti-QRSL1 antibody overnight at 4oC. Peroxidase Conjugated Goat Anti-rabbit IgG was used as secondary antibody and incubated for 30 minutes at 37oC. The tissue section was developed using an HRP secondary and DAB substrate.
Western blot analysis of QRSL1 using anti-QRSL1 antibody. Electrophoresis was performed on a 10% SDS-PAGE gel at 80V (Stacking gel) / 120V (Resolving gel) for 2 hours. Lane 1: human placenta tissue lysates, Lane 2: human MCF-7 whole cell lysates, Lane 3: human THP-1 whole cell lysates, Lane 4: human Jurkat whole cell lysates, Lane 5: rat brain tissue lysates, Lane 6: rat C6 whole cell lysates. After electrophoresis, proteins were transferred to a nitrocellulose membrane at 150 mA for 50-90 minutes. Blocked the membrane with 5% non-fat milk/TBS for 1.5 hour at RT. The membrane was incubated with rabbit anti-QRSL1 antibody at 0.5 ug/ml overnight at 4oC, then washed with TBS-0.1%Tween 3 times with 5 minutes each and probed with a goat anti-rabbit IgG-HRP secondary antibody at a dilution of 1:5000 for 1.5 hour at RT. The signal was developed using an ECL Plus Western Blotting Substrate. A specific band was detected for QRSL1 at approximately 57 kDa. The expected molecular weight of QRSL1 is ~57 kDa.
Immunohistochemical staining of QRSL1 using anti-QRSL1 antibody. QRSL1 was detected in a paraffin-embedded section of human thyroid cancer tissue. Heat mediated antigen retrieval was performed in EDTA buffer (pH 8.0, epitope retrieval solution). The tissue section was blocked with 10% goat serum. The tissue section was then incubated with 2 ug/ml rabbit anti-QRSL1 antibody overnight at 4oC. Peroxidase Conjugated Goat Anti-rabbit IgG was used as secondary antibody and incubated for 30 minutes at 37oC. The tissue section was developed using an HRP secondary and DAB substrate.
Flow Cytometry analysis of MCF-7 cells using anti-QRSL1 antibody. Overlay histogram showing MCF-7 cells stained with (Blue line). To facilitate intracellular staining, cells were fixed with 4% paraformaldehyde and permeabilized with permeabilization buffer. The cells were blocked with 10% normal goat serum. And then incubated with rabbit anti-QRSL1 antibody (1 ug/million cells) for 30 min at 20oC. DyLight 488 conjugated goat anti-rabbit IgG (5-10 ug/million cells) was used as secondary antibody for 30 minutes at 20oC. Isotype control antibody (Green line) was rabbit IgG (1 ug/million cells) used under the same conditions. Unlabelled sample without incubation with primary antibody and secondary antibody (Red line) was used as a blank control.
Availability 1-2 days
Species Reactivity Human, Mouse, Rat
Format Lyophilized
Clonality Polyclonal (rabbit origin)
Isotype Rabbit IgG
Purity Immunogen affinity purified
Buffer Each vial contains 4 mg Trehalose, 0.9 mg NaCl, 0.2 mg Na2HPO4.
UniProt Q9H0R6
Localization Cytoplasm (Mitochondria)
Applications Western Blot : 0.25-0.5ug/ml
Immunohistochemistry : 2-5ug/ml
Flow Cytometry : 1-3ug/million cells
ELISA : 0.1-0.5ug/ml
Limitations This QRSL1 antibody is available for research use only.
Review this product on BioCompare and get a $20 Amazon gift card

Description

QRSL1 antibody detects Glutamyl-tRNA amidotransferase subunit A, a mitochondrial enzyme involved in the synthesis of correctly charged glutaminyl-tRNA required for mitochondrial protein translation. Encoded by the QRSL1 gene on chromosome 6q15, this protein forms part of the heterotrimeric GatCAB complex (comprising QRSL1, GATB, and GATC) that catalyzes the transamidation of misacylated Glu-tRNA(Gln) into Gln-tRNA(Gln). This reaction maintains translational fidelity in mitochondria, ensuring proper expression of the mitochondrial genome.

Structurally, QRSL1 is a 477-amino-acid mitochondrial matrix protein of approximately 53 kilodaltons containing a glutaminase domain and an amidotransferase catalytic domain that cooperatively enable amide group transfer from glutamine to tRNA-bound glutamate. It interacts with the GATB and GATC subunits to form a functional enzyme complex anchored to mitochondrial ribosomes. QRSL1 is ubiquitously expressed, with high levels in energy-demanding tissues such as heart, muscle, and brain.

The QRSL1 antibody is widely used in mitochondrial biology, enzymology, and translation research to study aminoacyl-tRNA synthesis, mitochondrial translation accuracy, and metabolic regulation. Western blot analysis detects a 53 kilodalton band corresponding to QRSL1, while immunofluorescence reveals characteristic mitochondrial localization. This antibody serves as a reliable tool for evaluating mitochondrial translation machinery and enzyme complex formation.

Functionally, QRSL1 ensures accurate decoding of the mitochondrial genetic code by converting incorrectly charged tRNAs into their correct aminoacylated forms. Mutations in QRSL1 are linked to mitochondrial encephalopathy and lactic acidosis due to impaired oxidative phosphorylation and protein synthesis defects. The enzyme also contributes to overall mitochondrial proteostasis by preventing misincorporation of amino acids during translation. The QRSL1 antibody supports mechanistic studies of mitochondrial translation, respiratory chain biogenesis, and genetic disorders caused by tRNA modification defects. NSJ Bioreagents validates this antibody for its applications ensuring reliable detection in mitochondrial enzymatic studies.

Application Notes

Optimal dilution of the QRSL1 antibody should be determined by the researcher.

Immunogen

E.coli-derived human QRSL1 recombinant protein (Position: M1-Q528) was used as the immunogen for the QRSL1 antibody.

Storage

After reconstitution, the QRSL1 antibody can be stored for up to one month at 4oC. For long-term, aliquot and store at -20oC. Avoid repeated freezing and thawing.

Cross
Bulk Quote Request Form
Name*:
Organization*:
Email*:
Phone Number*:
Catalog No.*:
Comments and Specifics(amount, formulation, etc.)*:
Validation code: Captchapackage Image


Can't read the image? click here to refresh.
    *required field

Your bulk quote request has been submitted successfully!

Please contact us if you have any questions.