• Tel: 858.663.9055
  • SeparatorEmail: info@nsjbio.com
  • Tel: 858.663.9055
  • Email: info@nsjbio.com
Home >> Antibodies >> Pyruvate Carboxylase Antibody / PC

Pyruvate Carboxylase Antibody / PC (RQ8493)

  Catalog No Formulation Size Price (USD)  
Image RQ8493 0.5mg/ml if reconstituted with 0.2ml sterile DI water 100 ug 449
Bulk quote request
Immunofluorescent staining of FFPE human HeLa cells with Pyruvate Carboxylase antibody (green) and DAPI nuclear stain (blue). HIER: steam section in pH6 citrate buffer for 20 min.
IHC staining of FFPE human liver cancer tissue with Pyruvate Carboxylase antibody. HIER: boil tissue sections in pH8 EDTA for 20 min and allow to cool before testing.
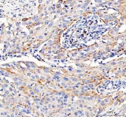
IHC staining of FFPE human bladder urothelial carcinoma tissue with Pyruvate Carboxylase antibody. HIER: boil tissue sections in pH8 EDTA for 20 min and allow to cool before testing.
IHC staining of FFPE human lung adenocarcinoma tissue with Pyruvate Carboxylase antibody. HIER: boil tissue sections in pH8 EDTA for 20 min and allow to cool before testing.
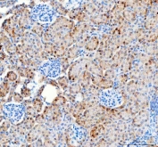
IHC staining of FFPE mouse kidney tissue with Pyruvate Carboxylase antibody. HIER: boil tissue sections in pH8 EDTA for 20 min and allow to cool before testing.
IHC staining of FFPE rat kidney tissue with Pyruvate Carboxylase antibody. HIER: boil tissue sections in pH8 EDTA for 20 min and allow to cool before testing.
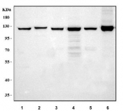
Western blot testing of 1) human HepG2, 2) human HeLa, 3) human SiHa, 4) rat liver, 5) rat RH35 and 6) mouse liver tissue lysate with Pyruvate Carboxylase antibody. Predicted molecular weight ~130 kDa.
Flow cytometry testing of fixed and permeabilized human MCF7 cells with Pyruvate Carboxylase antibody at 1ug/million cells (blocked with goat sera); Red=cells alone, Green=isotype control, Blue= Pyruvate Carboxylase antibody.
Availability 1-3 days
Species Reactivity Human, Mouse, Rat
Format Antigen affinity purified
Host Rabbit
Clonality Polyclonal (rabbit origin)
Isotype Rabbit IgG
Purity Antigen affinity purified
Buffer Lyophilized from 1X PBS with 2% Trehalose
UniProt P11498
Localization Cytoplasm
Applications Western Blot : 0.5-1ug/ml
Immunohistochemistry (FFPE) : 2-5ug/ml
Immunofluorescence : 5ug/ml
Flow Cytometry : 1-3ug/million cells
ELISA : 0.1-0.5ug/ml
Limitations This Pyruvate Carboxylase antibody is available for research use only.
Review this product on BioCompare and get a $20 Amazon gift card

Related Products

  • Applications : WB, IHC-P, ELISA (peptide)
    Reactivity : Human, Mouse
    Pred. Reactivity : Cow, Dog, Pig, Rat

Description

This gene encodes pyruvate carboxylase, which requires biotin and ATP to catalyse the carboxylation of pyruvate to oxaloacetate. The active enzyme is a homotetramer arranged in a tetrahedron which is located exclusively in the mitochondrial matrix. Pyruvate carboxylase is involved in gluconeogenesis, lipogenesis, insulin secretion and synthesis of the neurotransmitter glutamate. Mutations in this gene have been associated with pyruvate carboxylase deficiency. Alternatively spliced transcript variants with different 5' UTRs, but encoding the same protein, have been found for this gene.

Application Notes

Optimal dilution of the Pyruvate Carboxylase antibody should be determined by the researcher.

Immunogen

An E.coli-derived human recombinant protein (amino acids R88-D1165) was used as the immunogen for the Pyruvate Carboxylase antibody.

Storage

After reconstitution, the Pyruvate Carboxylase antibody can be stored for up to one month at 4oC. For long-term, aliquot and store at -20oC. Avoid repeated freezing and thawing.

Cross
Bulk Quote Request Form
Name*:
Organization*:
Email*:
Phone Number*:
Catalog No.*:
Comments and Specifics(amount, formulation, etc.)*:
Validation code: Captchapackage Image


Can't read the image? click here to refresh.
    *required field

Your bulk quote request has been submitted successfully!

Please contact us if you have any questions.