• Tel: 858.663.9055
  • SeparatorEmail: info@nsjbio.com
  • Tel: 858.663.9055
  • Email: info@nsjbio.com
Home >> Antibodies >> PYCR2 Antibody / Pyrroline-5-carboxylate reductase 2

PYCR2 Antibody / Pyrroline-5-carboxylate reductase 2 (RQ8211)

  Catalog No Formulation Size Price (USD)  
Image RQ8211 0.5mg/ml if reconstituted with 0.2ml sterile DI water 100 ug 449
Bulk quote request
Immunofluorescent staining of FFPE human U-2 OS cells with PYCR2 antibody (red) and DAPI nuclear stain (blue). HIER: steam section in pH6 citrate buffer for 20 min.
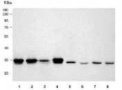
Western blot testing of 1) human HeLa, 2) human Jurkat, 3) human ThP-1, 4) human K562, 5) rat brain, 6) rat thymus, 7) mouse brain and 8) mouse thymus tissue lysate with PYCR2 antibody. Predicted molecular weight ~34 kDa.
Flow cytometry testing of fixed and permeabilized human JK cells with PYCR2 antibody at 1ug/million cells (blocked with goat sera); Red=cells alone, Green=isotype control, Blue= PYCR2 antibody.
Availability 1-3 business days
Species Reactivity Human, Mouse, Rat
Format Antigen affinity purified
Host Rabbit
Clonality Polyclonal (rabbit origin)
Isotype Rabbit IgG
Purity Antigen affinity purified
Buffer Lyophilized from 1X PBS with 2% Trehalose
UniProt Q96C36
Localization Cytoplasm
Applications Western Blot : 0.5-1ug/ml
Immunofluorescence : 5ug/ml
Flow Cytometry : 1-3ug/million cells
Direct ELISA : 0.1-0.5ug/ml
Limitations This PYCR2 antibody is available for research use only.
Review this product on BioCompare and get a $20 Amazon gift card

Description

Pyrroline-5-carboxylate reductase family, member 2 is a protein that in humans is encoded by the PYCR2 gene. This gene belongs to the pyrroline-5-carboxylate reductase family. The encoded mitochondrial protein catalyzes the conversion of pyrroline-5-carboxylate to proline, which is the last step in proline biosynthesis. Alternatively spliced transcript variants have been described for this gene.

Application Notes

Optimal dilution of the PYCR2 antibody should be determined by the researcher.

Immunogen

E. coli-derived recombinant human protein (amino acids Q10-D320) was used as the immunogen for the PYCR2 antibody.

Storage

After reconstitution, the PYCR2 antibody can be stored for up to one month at 4oC. For long-term, aliquot and store at -20oC. Avoid repeated freezing and thawing.

Cross
Bulk Quote Request Form
Name*:
Organization*:
Email*:
Phone Number*:
Catalog No.*:
Comments and Specifics(amount, formulation, etc.)*:
Validation code: Captchapackage Image


Can't read the image? click here to refresh.
    *required field

Your bulk quote request has been submitted successfully!

Please contact us if you have any questions.