• Tel: 858.663.9055
  • SeparatorEmail: info@nsjbio.com
  • Tel: 858.663.9055
  • Email: info@nsjbio.com
Home >> Antibodies >> Pycard Antibody / Tms1 / mAsc

Pycard Antibody / Tms1 / mAsc (RQ6434)

  Catalog No Formulation Size Price (USD)  
Image RQ6434 0.5mg/ml if reconstituted with 0.2ml sterile DI water 100 ug 449
Bulk quote request
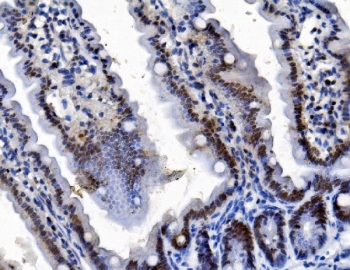
IHC staining of FFPE mouse intestine tissue with Pycard antibody. HIER: boil tissue sections in pH8 EDTA for 20 min and allow to cool before testing.
Western blot testing of 1) rat lung, 2) rat spleen, 3) rat thymus, 4) mouse lung, 5) mouse spleen and 6) mouse thymus tissue lysate with Pycard antibody. Predicted molecular weight ~22 kDa.
Flow cytometry testing of mouse RAW264.7 cells with Pycard antibody at 1ug/million cells (blocked with goat sera); Red=cells alone, Green=isotype control, Blue= Pycard antibody.
Availability 1-3 business days
Species Reactivity Mouse, Rat
Format Purified
Host Rabbit
Clonality Polyclonal (rabbit origin)
Isotype Rabbit IgG
Purity Antigen affinity purified
Buffer Lyophilized from 1X PBS with 2% Trehalose
UniProt Q9EPB4
Localization Cytoplasmic, nuclear
Applications Western Blot : 0.5-1ug/ml
Immunohistochemistry (FFPE) : 2-5ug/ml
Flow Cytometry : 1-3ug/million cells
Direct ELISA : 0.1-0.5ug/ml
Limitations This Pycard antibody is available for research use only.
Review this product on BioCompare and get a $20 Amazon gift card

Related Products

Description

PYCARD, often referred to as ASC (Apoptosis-associated speck-like protein containing a CARD), is a protein that in humans is encoded by the PYCARD gene. This gene encodes an adaptor protein that is composed of two protein-protein interaction domains: a N-terminal PYRIN-PAAD-DAPIN domain (PYD) and a C-terminal caspase-recruitment domain (CARD). The PYD and CARD domains are members of the six-helix bundle death domain-fold superfamily that mediates assembly of large signaling complexes in the inflammatory and apoptotic signaling pathways via the activation of caspase. In normal cells, this protein is localized to the cytoplasm; however, in cells undergoing apoptosis, it forms ball-like aggregates near the nuclear periphery. Two transcript variants encoding different isoforms have been found for this gene.

Application Notes

Optimal dilution of the Pycard antibody should be determined by the researcher.

Immunogen

Recombinant mouse protein (amino acids R3-S193) was used as the immunogen for the Pycard antibody.

Storage

After reconstitution, the Pycard antibody can be stored for up to one month at 4oC. For long-term, aliquot and store at -20oC. Avoid repeated freezing and thawing.

Cross
Bulk Quote Request Form
Name*:
Organization*:
Email*:
Phone Number*:
Catalog No.*:
Comments and Specifics(amount, formulation, etc.)*:
Validation code: Captchapackage Image


Can't read the image? click here to refresh.
    *required field

Your bulk quote request has been submitted successfully!

Please contact us if you have any questions.