• Tel: 858.663.9055
  • SeparatorEmail: info@nsjbio.com
  • Tel: 858.663.9055
  • Email: info@nsjbio.com
Home >> Antibodies >> PXR/NR1I2 Antibody

PXR/NR1I2 Antibody (RQ5593)

  Catalog No Formulation Size Price (USD)  
Image RQ5593 0.5mg/ml if reconstituted with 0.2ml sterile DI water 100 ug 449
Bulk quote request
IHC staining of FFPE human liver cancer with PXR/NR1I2 antibody. HIER: boil tissue sections in pH6, 10mM citrate buffer, for 20 min and allow to cool before testing.
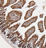
IHC staining of FFPE mouse intestine with PXR/NR1I2 antibody. HIER: boil tissue sections in pH6, 10mM citrate buffer, for 20 min and allow to cool before testing.
IHC staining of FFPE rat intestine with PXR/NR1I2 antibody. HIER: boil tissue sections in pH6, 10mM citrate buffer, for 20 min and allow to cool before testing.
Western blot testing of human 1) HepG2, 2) ThP-1, 3) HL-60, 4) K562, 5) A431, 6) A549, 7) HeLa and 8) Caco-2 lysate with PXR/NR1I2 antibody. Predicted molecular weight: ~50 kDa.
Western blot testing of human 1) rat liver, 2) mouse liver, 3) mouse thymus and 4) mouse testis lysate with PXR/NR1I2 antibody. Predicted molecular weight: ~50 kDa.
Flow cytometry testing of human HepG2 cells with PXR/NR1I2 antibody at 1ug/million cells (blocked with goat sera); Red=cells alone, Green=isotype control, Blue= PXR/NR1I2 antibody.
Availability 1-3 business days
Species Reactivity Human, Mouse, Rat
Format Antigen affinity purified
Host Rabbit
Clonality Polyclonal (rabbit origin)
Isotype Rabbit IgG
Purity Affinity purified
Buffer Lyophilized from 1X PBS with 2% Trehalose and 0.025% sodium azide
UniProt O75469
Applications Western Blot : 0.25-0.5ug/ml
Immunohistochemistry (FFPE) : 1-2ug/ml
Flow Cytometry : 1-3ug/million cells
Direct ELISA : 0.1-0.5ug/ml
Limitations This PXR/NR1I2 antibody is available for research use only.
Review this product on BioCompare and get a $20 Amazon gift card

Related Products

  • Applications : WB, IHC-P, ELISA (peptide)
    Reactivity : Human
  • Applications : IF, FACS, IHC-P, WB
    Reactivity : Human

Description

In the field of molecular biology, the pregnane X receptor (PXR), also known as the steroid and xenobiotic sensing nuclear receptor (SXR) or nuclear receptor subfamily 1, group I, member 2 (NR1I2) is a protein that in humans is encoded by the NR1I2 (nuclear Receptor subfamily 1, group I, member 2) gene. It is mapped to 3q13.33. This gene product belongs to the nuclear receptor superfamily, members of which are transcription factors characterized by a ligand-binding domain and a DNA-binding domain. The encoded protein is a transcriptional regulator of the cytochrome P450 gene CYP3A4, binding to the response element of the CYP3A4 promoter as a heterodimer with the 9-cis retinoic acid receptor RXR. It is activated by a range of compounds that induce CYP3A4, including dexamethasone and rifampicin. Several alternatively spliced transcripts encoding different isoforms, some of which use non-AUG (CUG) translation initiation codon, have been described for this gene. Additional transcript variants exist, however, they have not been fully characterized.

Application Notes

Optimal dilution of the PXR/NR1I2 antibody should be determined by the researcher.

Immunogen

A human recombinant protein (amino acids E7-A395) was used as the immunogen for the PXR/NR1I2 antibody.

Storage

After reconstitution, the PXR/NR1I2 antibody can be stored for up to one month at 4oC. For long-term, aliquot and store at -20oC. Avoid repeated freezing and thawing.

Cross
Bulk Quote Request Form
Name*:
Organization*:
Email*:
Phone Number*:
Catalog No.*:
Comments and Specifics(amount, formulation, etc.)*:
Validation code: Captchapackage Image


Can't read the image? click here to refresh.
    *required field

Your bulk quote request has been submitted successfully!

Please contact us if you have any questions.