• Tel: 858.663.9055
  • SeparatorEmail: info@nsjbio.com
  • Tel: 858.663.9055
  • Email: info@nsjbio.com
Home >> Antibodies >> PXDN Antibody / Peroxidasin

PXDN Antibody / Peroxidasin (FY12259)

  Catalog No Formulation Size Price (USD)  
Image FY12259 Adding 0.2 ml of distilled water will yield a concentration of 500 ug/ml 100 ug 449
Bulk quote request
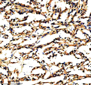
Immunohistochemical staining of PXDN using anti-PXDN antibody. PXDN was detected in a paraffin-embedded section of human renal cancer tissue. Heat mediated antigen retrieval was performed in EDTA buffer (pH 8.0, epitope retrieval solution). The tissue section was blocked with 10% goat serum. The tissue section was then incubated with 2 ug/ml rabbit anti-PXDN antibody overnight at 4oC. Peroxidase Conjugated Goat Anti-rabbit IgG was used as secondary antibody and incubated for 30 minutes at 37oC. The tissue section was developed using an HRP secondary and DAB substrate.
Western blot analysis of PXDN using anti-PXDN antibody. Electrophoresis was performed on a 8% SDS-PAGE gel at 80V (Stacking gel) / 120V (Resolving gel) for 2 hours. Lane 1: human Hela whole cell lysates, Lane 2: human SH-SY5Y whole cell lysates, Lane 3: human U251 whole cell lysates, Lane 4: human MCF-7 whole cell lysates. After electrophoresis, proteins were transferred to a nitrocellulose membrane at 150 mA for 50-90 minutes. Blocked the membrane with 5% non-fat milk/TBS for 1.5 hour at RT. The membrane was incubated with rabbit anti-PXDN antibody at 0.5 ug/ml overnight at 4oC, then washed with TBS-0.1%Tween 3 times with 5 minutes each and probed with a goat anti-rabbit IgG-HRP secondary antibody at a dilution of 1:5000 for 1.5 hour at RT. The signal was developed using an ECL Plus Western Blotting Substrate. A specific band was detected for PXDN at approximately 165 kDa. The expected band size for PXDN is at 165 kDa.
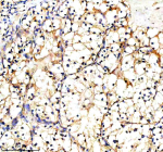
Immunohistochemical staining of PXDN using anti-PXDN antibody. PXDN was detected in a paraffin-embedded section of human clear cell renal cell carcinoma tissue. Heat mediated antigen retrieval was performed in EDTA buffer (pH 8.0, epitope retrieval solution). The tissue section was blocked with 10% goat serum. The tissue section was then incubated with 2 ug/ml rabbit anti-PXDN antibody overnight at 4oC. Peroxidase Conjugated Goat Anti-rabbit IgG was used as secondary antibody and incubated for 30 minutes at 37oC. The tissue section was developed using an HRP secondary and DAB substrate.
Availability 1-2 days
Species Reactivity Human
Format Lyophilized
Host Rabbit
Clonality Polyclonal (rabbit origin)
Isotype Rabbit IgG
Purity Immunogen affinity purified
Buffer Each vial contains 4 mg Trehalose, 0.9 mg NaCl, 0.2 mg Na2HPO4.
UniProt Q92626
Applications Western Blot : 0.25-0.5ug/ml
Immunohistochemistry : 2-5ug/ml
ELISA : 0.1-0.5ug/ml
Limitations This PXDN antibody is available for research use only.
Review this product on BioCompare and get a $20 Amazon gift card

Description

PXDN antibody detects Peroxidasin homolog, encoded by the PXDN gene on chromosome 2p25.3. PXDN antibody is widely used in studies of extracellular matrix biology, developmental processes, and disease mechanisms. PXDN is a multidomain peroxidase that contributes to extracellular matrix stabilization by catalyzing sulfilimine crosslinks in type IV collagen, a structural component of basement membranes. It is essential for tissue integrity and development of multiple organ systems.

Structurally, PXDN is a large ~170 kDa secreted protein that contains leucine-rich repeats, immunoglobulin domains, and a peroxidase domain. This modular architecture allows interactions with extracellular matrix proteins and enzymatic activity. PXDN is localized to basement membranes in tissues such as kidney, lung, and vasculature. Alternative isoforms exist with different expression patterns, highlighting diverse tissue-specific roles.

Functionally, PXDN stabilizes basement membranes by catalyzing sulfilimine bonds between methionine and hydroxylysine residues in collagen IV. This unique enzymatic activity reinforces structural integrity and mechanical strength of tissues. PXDN also participates in oxidative reactions, generating reactive intermediates that can influence cell signaling and immune responses. Researchers use PXDN antibody to study matrix biology, tissue development, and oxidative processes.

Clinically, PXDN mutations cause congenital cataracts and developmental defects in kidney and lung, reflecting essential roles in basement membrane formation. Elevated PXDN expression has been linked to cancer progression, fibrosis, and cardiovascular disease. Autoantibodies against PXDN have been described in certain autoimmune conditions. Because of its role in extracellular matrix stabilization, PXDN is an emerging biomarker and therapeutic target. NSJ Bioreagents provides PXDN antibody to support research in development, oncology, and matrix biology.

Experimentally, PXDN antibody is used in western blotting to detect the ~170 kDa protein, in immunohistochemistry to analyze basement membrane distribution, and in ELISA to measure PXDN levels in serum or conditioned media. Co-immunoprecipitation with PXDN antibody identifies collagen IV and matrix protein partners.

Application Notes

Optimal dilution of the PXDN antibody should be determined by the researcher.

Immunogen

E.coli-derived human PXDN recombinant protein (Position: R900-D1054) was used as the immunogen for the PXDN antibody.

Storage

After reconstitution, the PXDN antibody can be stored for up to one month at 4oC. For long-term, aliquot and store at -20oC. Avoid repeated freezing and thawing.

Cross
Bulk Quote Request Form
Name*:
Organization*:
Email*:
Phone Number*:
Catalog No.*:
Comments and Specifics(amount, formulation, etc.)*:
Validation code: Captchapackage Image


Can't read the image? click here to refresh.
    *required field

Your bulk quote request has been submitted successfully!

Please contact us if you have any questions.