• Tel: 858.663.9055
  • SeparatorEmail: info@nsjbio.com
  • Tel: 858.663.9055
  • Email: info@nsjbio.com
Home >> Antibodies >> PVRL4 Antibody / Nectin-4

PVRL4 Antibody / Nectin-4 [clone NECT4/7271] (V4056)

  Catalog No Formulation Size Price (USD)  
Image V4056-100UG 0.2 mg/ml in 1X PBS with 0.1 mg/ml BSA (US sourced), 0.05% sodium azide 100 ug 559
Image
V4056-20UG 0.2 mg/ml in 1X PBS with 0.1 mg/ml BSA (US sourced), 0.05% sodium azide 20 ug 259
Image
V4056SAF-100UG 1 mg/ml in 1X PBS; BSA free, sodium azide free 100 ug 559
Bulk quote request
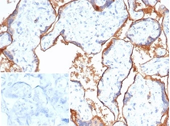
Immunohistochemistry analysis of PVRL4 / Nectin-4 antibody (clone NECT4/7271) in human placental tissue. Formalin-fixed, paraffin-embedded placenta demonstrates prominent membranous HRP-DAB brown staining outlining trophoblastic cells and chorionic villi, consistent with cell surface localization of PVRL4. Background staining is minimal, and nuclear counterstain highlights tissue architecture. The inset shows PBS used in place of primary antibody as a negative control, confirming absence of non-specific secondary antibody binding. Heat-induced epitope retrieval was performed by boiling tissue sections in pH 9 10 mM Tris with 1 mM EDTA for 20 minutes followed by cooling prior to staining.
Availability 1-3 business days
Species Reactivity Human
Format Purified
Host Mouse
Clonality Monoclonal (mouse origin)
Isotype Mouse IgG2a, kappa
Clone Name NECT4/7271
Purity Protein A/G affinity
UniProt Q96NY8
Localization Cell surface, secreted
Applications Immunohistochemistry (FFPE) : 1-2ug/ml
Limitations This PVRL4 antibody is available for research use only.
Review this product on BioCompare and get a $20 Amazon gift card

Related Products

Description

PVRL4 antibody detects Nectin-4, a cell adhesion protein belonging to the nectin family that contributes to epithelial junction integrity, tissue architecture, and cell-cell communication. The UniProt recommended name is Nectin-4. Classified as an immunoglobulin-like cell adhesion molecule, Nectin-4 participates in forming adherens junctions and coordinating the organization of epithelial layers throughout development and adult tissue homeostasis. Its mechanistic roles extend to cellular polarity, migration, proliferation, and morphogenesis, making it a central regulator of epithelial biology.

Nectin-4 is a type I transmembrane glycoprotein composed of an extracellular region with three immunoglobulin-like domains, a single-pass transmembrane segment, and a cytoplasmic tail that interacts with intracellular scaffolding proteins. These structural features allow Nectin-4 to form both homophilic and heterophilic adhesion complexes, which stabilize adherens junctions and support dynamic remodeling of epithelial cell contacts. Through connections with afadin and actin cytoskeleton regulators, Nectin-4 influences cytoskeletal rearrangement and maintenance of tissue cohesion.

The PVRL4 gene is located on chromosome 1q23.3 and is expressed throughout embryonic development in epithelial tissues, including skin, lung, mammary gland, and gastrointestinal tract. In adults, Nectin-4 expression is more restricted, with detectable levels in select epithelial and secretory tissues. Nectin-4 expression is developmentally regulated and responds to proliferative and differentiation cues that shape epithelial organization and barrier function.

Functionally, Nectin-4 plays an important role in establishing adherens junctions, where it cooperates with cadherin-based complexes to support tissue stability and collective cell behavior. Through its cytoplasmic interactions, Nectin-4 influences small GTPase signaling pathways involved in cell polarity, migration, and cytoskeletal tension. These regulatory activities make Nectin-4 a mediator of epithelial morphogenesis, wound repair, and remodeling under physiologic and stress conditions.

In disease biology, Nectin-4 has gained prominence due to its involvement in cancer progression, cell motility, and metastatic behavior. Elevated Nectin-4 expression has been reported in several tumor types, including breast, ovarian, lung, pancreatic, urothelial, and head and neck cancers. Increased Nectin-4 levels correlate with enhanced proliferative signaling, epithelial to mesenchymal transition, abnormal adhesion dynamics, and tumor cell dissemination. Nectin-4 has therefore become a clinically relevant biomarker, and its surface localization has led to development of targeted therapies, including antibody-drug conjugates used in oncology.

Nectin-4 is also recognized as a receptor utilized by certain pathogens. Its documented role as an entry receptor for measles virus has brought increased interest to its structure, tissue distribution, and regulatory pathways in virology and host-pathogen research. This receptor function underscores the dual significance of Nectin-4 in both normal adhesion biology and disease-associated molecular interactions.

Clone NECT4/7271 is designed to recognize Nectin-4 and has been used in research examining epithelial differentiation, tumor progression, and Nectin family signaling networks. The clone has been applied in studies of Nectin-4 overexpression in cancer and in investigations of cell junction remodeling, although specific applications must always be confirmed experimentally by each laboratory to align with their assay conditions.

Nectin-4 continues to attract scientific interest due to its roles in epithelial development, junction organization, tumor cell biology, and cell surface signaling. As a regulator of adhesion and tissue architecture, and as a biomarker with translational significance, Nectin-4 remains a valuable target in studies of cell-cell communication, oncogenesis, and receptor mediated interactions.

PVRL4 antibody is validated for use in relevant research applications to examine Nectin-4 expression, epithelial junction biology, and associated signaling pathways. NSJ Bioreagents provides PVRL4 antibody reagents optimized for studies in developmental biology, cancer research, adhesion signaling, and epithelial tissue organization.

Application Notes

Optimal dilution of the PVRL4 antibody should be determined by the researcher.

Immunogen

A portion of amino acids 1-200 from the human protein was used as the immunogen for the PVRL4 antibody.

Storage

Aliquot the PVRL4 antibody and store frozen at -20oC or colder. Avoid repeated freeze-thaw cycles.

Cross
Bulk Quote Request Form
Name*:
Organization*:
Email*:
Phone Number*:
Catalog No.*:
Comments and Specifics(amount, formulation, etc.)*:
Validation code: Captchapackage Image


Can't read the image? click here to refresh.
    *required field

Your bulk quote request has been submitted successfully!

Please contact us if you have any questions.