• Tel: 858.663.9055
  • SeparatorEmail: info@nsjbio.com
  • Tel: 858.663.9055
  • Email: info@nsjbio.com
Home >> Antibodies >> PUF60 Antibody / Poly(U)-binding splicing factor 60 kDa

PUF60 Antibody / Poly(U)-binding splicing factor 60 kDa (FY13163)

  Catalog No Formulation Size Price (USD)  
Image FY13163 Adding 0.2 ml of distilled water will yield a concentration of 500 ug/ml 100 ug 449
Bulk quote request
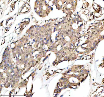
Immunohistochemical staining of PUF60 using anti-PUF60 antibody. PUF60 was detected in a paraffin-embedded section of human breast cancer tissue. Heat mediated antigen retrieval was performed in EDTA buffer (pH 8.0, epitope retrieval solution). The tissue section was blocked with 10% goat serum. The tissue section was then incubated with 2 ug/ml rabbit anti-PUF60 antibody overnight at 4oC. Peroxidase Conjugated Goat Anti-rabbit IgG was used as secondary antibody and incubated for 30 minutes at 37oC. The tissue section was developed using an HRP secondary and DAB substrate.
Western blot analysis of PUF60 using anti-PUF60 antibody. Electrophoresis was performed on a 10% SDS-PAGE gel at 80V (Stacking gel) / 120V (Resolving gel) for 2 hours. Lane 1: human COLO-320 whole cell lysates, Lane 2: human SW620 whole cell lysates, Lane 3: human Caco-2 whole cell lysates, Lane 4: human MCF-7 whole cell lysates. After electrophoresis, proteins were transferred to a nitrocellulose membrane at 150 mA for 50-90 minutes. Blocked the membrane with 5% non-fat milk/TBS for 1.5 hour at RT. The membrane was incubated with rabbit anti-PUF60 antibody at 0.5 ug/ml overnight at 4oC, then washed with TBS-0.1%Tween 3 times with 5 minutes each and probed with a goat anti-rabbit IgG-HRP secondary antibody at a dilution of 1:5000 for 1.5 hour at RT. The signal was developed using an ECL Plus Western Blotting Substrate. The expected molecular weight of PUF60 is ~60 kDa.
Immunohistochemical staining of PUF60 using anti-PUF60 antibody. PUF60 was detected in a paraffin-embedded section of human breast cancer tissue. Heat mediated antigen retrieval was performed in EDTA buffer (pH 8.0, epitope retrieval solution). The tissue section was blocked with 10% goat serum. The tissue section was then incubated with 2 ug/ml rabbit anti-PUF60 antibody overnight at 4oC. Peroxidase Conjugated Goat Anti-rabbit IgG was used as secondary antibody and incubated for 30 minutes at 37oC. The tissue section was developed using an HRP secondary and DAB substrate.
Flow Cytometry analysis of Caco-2 cells using anti-PUF60 antibody. Overlay histogram showing Caco-2 cells stained with (Blue line). To facilitate intracellular staining, cells were fixed with 4% paraformaldehyde and permeabilized with permeabilization buffer. The cells were blocked with 10% normal goat serum. And then incubated with rabbit anti-PUF60 antibody (1 ug/million cells) for 30 min at 20oC. DyLight 488 conjugated goat anti-rabbit IgG (5-10 ug/million cells) was used as secondary antibody for 30 minutes at 20oC. Isotype control antibody (Green line) was rabbit IgG (1 ug/million cells) used under the same conditions. Unlabelled sample without incubation with primary antibody and secondary antibody (Red line) was used as a blank control.
Immunoprecipitating (IP) PUF60 in MCF-7 whole cell lysate. Western blot analysis of PUF60 using anti-PUF60 antibody; Lane 1: MCF-7 whole cell lysates (30ug); Lane 2: Rabbit control IgG instead of anti-PUF60 antibody in MCF-7 whole cell lysate; Lane 3: anti-PUF60 antibody (2ug) + MCF-7 whole cell lysate (500ug). After electrophoresis, proteins were transferred to a membrane. Then the membrane was incubated with rabbit anti-PUF60 antibody at a dilution of 0.5 ug/ml and probed with a goat anti-rabbit IgG-HRP secondary antibody. The signal is developed using ECL Plus Western Blotting Substrate. The expected molecular weight of PUF60 is at 60 kDa.
Availability 1-2 days
Species Reactivity Human, Mouse
Format Lyophilized
Host Rabbit
Clonality Polyclonal (rabbit origin)
Isotype Rabbit IgG
Purity Immunogen affinity purified
Buffer Each vial contains 4 mg Trehalose, 0.9 mg NaCl, 0.2 mg Na2HPO4.
UniProt Q9UHX1
Applications Western Blot : 0.25-0.5ug/ml
Immunohistochemistry : 2-5ug/ml
Immunoprecipitation : 2-4ug/500ug of lysate
Flow Cytometry : 1-3ug/million cells
ELISA : 0.1-0.5ug/ml
Limitations This PUF60 antibody is available for research use only.
Review this product on BioCompare and get a $20 Amazon gift card

Related Products

  • Applications : WB, ELISA (peptide)
    Reactivity : Human
    Pred. Reactivity : Cow, Dog, Mouse, Rat

Description

PUF60 antibody detects Poly(U)-binding splicing factor 60 kDa, an RNA-binding protein that regulates pre-mRNA splicing and transcriptional control. The UniProt recommended name is Poly(U)-binding splicing factor 60 kDa (PUF60). This multifunctional protein binds uridine-rich RNA sequences and facilitates spliceosome assembly by promoting U2 snRNP recruitment to introns.

Functionally, PUF60 antibody identifies a 548-amino-acid protein containing two RNA recognition motifs (RRMs) that mediate specific binding to pre-mRNA and single-stranded DNA. PUF60 enhances exon definition and alternative splicing by interacting with U2AF65, SF3B1, and other splicing factors. It also cooperates with transcriptional regulators to coordinate RNA processing and gene expression.

The PUF60 gene is located on chromosome 8q24.3 and is ubiquitously expressed, with high levels in brain, testis, and proliferative tissues. PUF60 acts as a bridge between transcription and RNA processing machinery, ensuring accurate and efficient mRNA maturation.

Pathologically, mutations or haploinsufficiency of PUF60 cause developmental syndromes characterized by intellectual disability, short stature, and craniofacial abnormalities. Abnormal PUF60 expression has also been associated with cancer and splicing-related disorders. Research using PUF60 antibody supports studies in RNA metabolism, splicing regulation, and genetic disease mechanisms.

PUF60 antibody is validated for western blotting, immunoprecipitation, and immunofluorescence to detect splicing factors and RNA-binding proteins. NSJ Bioreagents provides PUF60 antibody reagents optimized for transcriptional and post-transcriptional regulation research.

Structurally, Poly(U)-binding splicing factor 60 kDa contains tandem RRMs and a glycine-rich C-terminal region that facilitate RNA recognition and spliceosome assembly. This antibody enables exploration of PUF60's role in RNA splicing and gene expression control.

Application Notes

Optimal dilution of the PUF60 antibody should be determined by the researcher.

Immunogen

E.coli-derived human PUF60 recombinant protein (Position: Q48-A559) was used as the immunogen for the PUF60 antibody.

Storage

After reconstitution, the PUF60 antibody can be stored for up to one month at 4oC. For long-term, aliquot and store at -20oC. Avoid repeated freezing and thawing.

Cross
Bulk Quote Request Form
Name*:
Organization*:
Email*:
Phone Number*:
Catalog No.*:
Comments and Specifics(amount, formulation, etc.)*:
Validation code: Captchapackage Image


Can't read the image? click here to refresh.
    *required field

Your bulk quote request has been submitted successfully!

Please contact us if you have any questions.