• Tel: 858.663.9055
  • SeparatorEmail: info@nsjbio.com
  • Tel: 858.663.9055
  • Email: info@nsjbio.com
Home >> Antibodies >> PTRHD1 Antibody / Peptidyl-tRNA hydrolase domain-containing protein 1

PTRHD1 Antibody / Peptidyl-tRNA hydrolase domain-containing protein 1 (FY13251)

  Catalog No Formulation Size Price (USD)  
Image FY13251 Adding 0.2 ml of distilled water will yield a concentration of 500 ug/ml 100 ug 449
Bulk quote request
Immunohistochemical staining of PTRHD1 using anti-PTRHD1 antibody. PTRHD1 was detected in a paraffin-embedded section of mouse kidney tissue. Heat mediated antigen retrieval was performed in EDTA buffer (pH 8.0, epitope retrieval solution). The tissue section was blocked with 10% goat serum. The tissue section was then incubated with 2 ug/ml rabbit anti-PTRHD1 antibody overnight at 4oC. Peroxidase Conjugated Goat Anti-rabbit IgG was used as secondary antibody and incubated for 30 minutes at 37oC. The tissue section was developed using an HRP secondary and DAB substrate.
Western blot analysis of PTRHD1 using anti-PTRHD1 antibody. Lane 1: human HepG2 whole cell lysates, Lane 2: human 293Tt whole cell lysates, Lane 3: human RT4 whole cell lysates, Lane 4: human whole cell lysates. After electrophoresis, proteins were transferred to a nitrocellulose membrane at 150 mA for 50-90 minutes. Blocked the membrane with 5% non-fat milk/TBS for 1.5 hour at RT. The membrane was incubated with rabbit anti-PTRHD1 antibody at 0.5 ug/ml overnight at 4oC, then washed with TBS-0.1%Tween 3 times with 5 minutes each and probed with a goat anti-rabbit IgG-HRP secondary antibody at a dilution of 1:5000 for 1.5 hour at RT. The signal was developed using enhanced chemiluminescent. Western blot analysis of PTRHD1 in HepG2, 293T, RT4, and A549 cell lysates using an anti PTRHD1 antibody. A single band is detected at an approximately ~14 kDa in all samples, running slightly below the predicted ~16 kDa size but within the 13-16 kDa range reported for endogenous PTRHD1 in the literature.
Immunohistochemical staining of PTRHD1 using anti-PTRHD1 antibody. PTRHD1 was detected in a paraffin-embedded section of mouse kidney tissue. Heat mediated antigen retrieval was performed in EDTA buffer (pH 8.0, epitope retrieval solution). The tissue section was blocked with 10% goat serum. The tissue section was then incubated with 2 ug/ml rabbit anti-PTRHD1 antibody overnight at 4oC. Peroxidase Conjugated Goat Anti-rabbit IgG was used as secondary antibody and incubated for 30 minutes at 37oC. The tissue section was developed using an HRP secondary and DAB substrate.
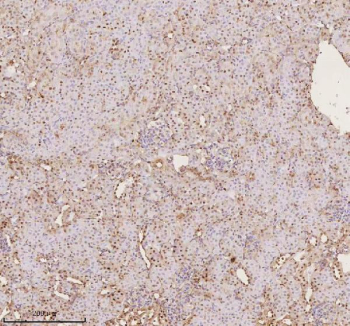
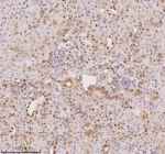
Immunohistochemical staining of PTRHD1 using anti-PTRHD1 antibody. PTRHD1 was detected in a paraffin-embedded section of rat kidney tissue. Heat mediated antigen retrieval was performed in EDTA buffer (pH 8.0, epitope retrieval solution). The tissue section was blocked with 10% goat serum. The tissue section was then incubated with 2 ug/ml rabbit anti-PTRHD1 antibody overnight at 4oC. Peroxidase Conjugated Goat Anti-rabbit IgG was used as secondary antibody and incubated for 30 minutes at 37oC. The tissue section was developed using an HRP secondary and DAB substrate.
Immunohistochemical staining of PTRHD1 using anti-PTRHD1 antibody. PTRHD1 was detected in a paraffin-embedded section of rat kidney tissue. Heat mediated antigen retrieval was performed in EDTA buffer (pH 8.0, epitope retrieval solution). The tissue section was blocked with 10% goat serum. The tissue section was then incubated with 2 ug/ml rabbit anti-PTRHD1 antibody overnight at 4oC. Peroxidase Conjugated Goat Anti-rabbit IgG was used as secondary antibody and incubated for 30 minutes at 37oC. The tissue section was developed using an HRP secondary and DAB substrate.
Immunofluorescent staining of PTRHD1 using anti-PTRHD1 antibody (green) and anti-Beta Tubulin antibody (red). PTRHD1 was detected in immunocytochemical section of human HELA cell. Enzyme antigen retrieval was performed using IHC enzyme antigen retrieval reagent for 15 mins. The cells were blocked with 10% goat serum. And then incubated with 5 ug/ml rabbit anti-PTRHD1 antibody and mouse anti-Beta Tubulin antibody overnight at 4oC. DyLight 488 Conjugated Goat Anti-Rabbit IgG and DyLight 550 Conjugated Goat Anti-Mouse IgG were used as secondary antibody at 1:500 dilution and incubated for 30 minutes at 37oC. Visualize using a fluorescence microscope and filter sets appropriate for the label used.
Flow Cytometry analysis of RT4 cells using anti-PTRHD1 antibody. Overlay histogram showing RT4 cells stained with (Blue line). To facilitate intracellular staining, cells were fixed with 4% paraformaldehyde and permeabilized with permeabilization buffer. The cells were blocked with 10% normal goat serum. And then incubated with rabbit anti-PTRHD1 antibody (1 ug/million cells) for 30 min at 20oC. DyLight 488 conjugated goat anti-rabbit IgG (5-10 ug/million cells) was used as secondary antibody for 30 minutes at 20oC. Isotype control antibody (Green line) was rabbit IgG (1 ug/million cells) used under the same conditions. Unlabelled sample (Red line) was also used as a control.
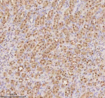
Immunohistochemical staining of C2orf79/PTRHD1 using anti-C2orf79/PTRHD1 antibody. C2orf79/PTRHD1 was detected in a paraffin-embedded section of human cerebellum tissue. Heat mediated antigen retrieval was performed in EDTA buffer (pH 8.0, epitope retrieval solution). The tissue section was blocked with 10% goat serum. The tissue section was then incubated with 2 ug/ml rabbit anti-C2orf79/PTRHD1 antibody overnight at 4oC. Peroxidase Conjugated Goat Anti-rabbit IgG was used as secondary antibody and incubated for 30 minutes at 37oC. The tissue section was developed using an HRP secondary and DAB substrate.
Availability 1-2 days
Species Reactivity Human, Mouse, Rat
Format Lyophilized
Host Rabbit
Clonality Polyclonal (rabbit origin)
Isotype Rabbit IgG
Purity Immunogen affinity purified
Buffer Each vial contains 4 mg Trehalose, 0.9 mg NaCl, 0.2 mg Na2HPO4.
UniProt Q6GMV3
Localization Nucleus, Miochondria
Applications Western Blot : 0.25-0.5ug/ml
Immunohistochemistry : 2-5ug/ml
Immunocytochemistry : 5ug/ml
Immunofluorescence : 5ug/ml
Flow Cytometry : 1-3ug/million cells
ELISA : 0.1-0.5ug/ml
Limitations This PTRHD1 antibody is available for research use only.
Review this product on BioCompare and get a $20 Amazon gift card

Description

PTRHD1 antibody detects Peptidyl-tRNA hydrolase domain-containing protein 1, a cytoplasmic enzyme-like protein implicated in tRNA metabolism, proteostasis, and neurological function. The UniProt recommended name is Peptidyl-tRNA hydrolase domain-containing protein 1 (PTRHD1). Although it contains a conserved hydrolase-like domain, PTRHD1 may function primarily as a regulator or adaptor rather than a catalytic enzyme, linking translation quality control with neuronal integrity.

Functionally, PTRHD1 antibody identifies a 220-amino-acid protein that associates with translational complexes and ubiquitin-proteasome pathways. PTRHD1 is proposed to participate in the recycling of prematurely released peptidyl-tRNAs during protein synthesis, preventing accumulation of stalled translation intermediates. It may also regulate proteasomal activity by binding to ubiquitin-like proteins and adaptors such as UBQLN4, thereby influencing protein degradation and quality control under cellular stress conditions.

The PTRHD1 gene is located on chromosome 2p23.3 and is expressed predominantly in brain, testis, and liver. Its expression pattern and domain composition suggest a dual role in neuronal homeostasis and proteostatic regulation. PTRHD1 may serve as a molecular bridge connecting translation fidelity to protein turnover and synaptic function.

Pathologically, biallelic loss-of-function mutations in PTRHD1 cause autosomal recessive early-onset parkinsonism with intellectual disability, highlighting its importance in maintaining neuronal health. Impaired PTRHD1 function results in accumulation of defective translation products and increased cellular stress, leading to neurodegeneration. Research using PTRHD1 antibody supports studies in translational control, proteostasis, and neurogenetic disorders.

PTRHD1 antibody is validated for western blotting, immunohistochemistry, and immunofluorescence to detect small cytoplasmic regulatory proteins. NSJ Bioreagents provides PTRHD1 antibody reagents optimized for research in protein quality control, neuronal maintenance, and translation regulation.

Structurally, Peptidyl-tRNA hydrolase domain-containing protein 1 contains an N-terminal hydrolase-like domain similar to bacterial PTH enzymes but lacking key catalytic residues, suggesting a non-enzymatic regulatory role. The protein's C-terminal region supports interactions with ubiquitin-binding proteins. This antibody facilitates exploration of PTRHD1's role in neuronal proteostasis and translation fidelity.

Application Notes

Optimal dilution of the PTRHD1 antibody should be determined by the researcher.

Immunogen

E.coli-derived human C2orf79/PTRHD1 recombinant protein (Position: M1-K140) was used as the immunogen for the PTRHD1 antibody.

Storage

After reconstitution, the PTRHD1 antibody can be stored for up to one month at 4oC. For long-term, aliquot and store at -20oC. Avoid repeated freezing and thawing.

Cross
Bulk Quote Request Form
Name*:
Organization*:
Email*:
Phone Number*:
Catalog No.*:
Comments and Specifics(amount, formulation, etc.)*:
Validation code: Captchapackage Image


Can't read the image? click here to refresh.
    *required field

Your bulk quote request has been submitted successfully!

Please contact us if you have any questions.