• Tel: 858.663.9055
  • SeparatorEmail: info@nsjbio.com
  • Tel: 858.663.9055
  • Email: info@nsjbio.com
Home >> Antibodies >> PTPRR Antibody / Protein tyrosine phosphatase receptor type R

PTPRR Antibody / Protein tyrosine phosphatase receptor type R [clone 29P99] (FY12004)

  Catalog No Formulation Size Price (USD)  
Image FY12004 Rabbit IgG in phosphate buffered saline, pH 7.4, 150mM NaCl, 0.02% sodium azide and 50% glycerol, 0.4-0.5mg/ml BSA. 100 ul 449
Microvalidated Recrabbitmono
Bulk quote request
Western blot analysis of PTPRR using anti-PTPRR antibody. Electrophoresis was performed on a 10% SDS-PAGE gel at 80V (Stacking gel) / 120V (Resolving gel) for 2 hours. Lane 1: rat brain tissue lysates, Lane 2: mouse brain tissue lysates. After electrophoresis, proteins were transferred to a nitrocellulose membrane at 150 mA for 50-90 minutes. Blocked the membrane with 5% non-fat milk/TBS for 1.5 hour at RT. The membrane was incubated with rabbit anti-PTPRR antibody at 1:500 overnight at 4oC, then washed with TBS-10%Tween 3 times with 5 minutes each and probed with a goat anti-rabbit IgG-HRP secondary antibody at a dilution of 1:5000 for 1.5 hour at RT. The signal was developed using an ECL Plus Western Blotting Substrate. A specific band was detected for PTPRR at approximately 70 kDa. The expected band size for PTPRR is at 70 kDa.
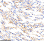
IHC analysis of PTPRR using anti-PTPRR antibody. PTPRR was detected in a paraffin-embedded section of human ovarian cancer tissue. Heat mediated antigen retrieval was performed in EDTA buffer (pH 8.0, epitope retrieval solution). The tissue section was blocked with 10% goat serum. The tissue section was then incubated with 2 ug/ml rabbit anti-PTPRR antibody overnight at 4oC. Peroxidase Conjugated Goat Anti-rabbit IgG was used as secondary antibody and incubated for 30 minutes at 37oC. The tissue section was developed using an HRP secondary and DAB substrate.
Western blot analysis of PTPRR using anti-PTPRR antibody. Electrophoresis was performed on a 10% SDS-PAGE gel at 80V (Stacking gel) / 120V (Resolving gel) for 2 hours. Lane 1: rat brain tissue lysates, Lane 2: mouse brain tissue lysates. After electrophoresis, proteins were transferred to a nitrocellulose membrane at 150 mA for 50-90 minutes. Blocked the membrane with 5% non-fat milk/TBS for 1.5 hour at RT. The membrane was incubated with rabbit anti-PTPRR antibody at 1:500 overnight at 4oC, then washed with TBS-10%Tween 3 times with 5 minutes each and probed with a goat anti-rabbit IgG-HRP secondary antibody at a dilution of 1:5000 for 1.5 hour at RT. The signal was developed using an ECL Plus Western Blotting Substrate. A specific band was detected for PTPRR at approximately 70 kDa. The expected band size for PTPRR is at 70 kDa.
Availability 2-3 weeks
Species Reactivity Human, Mouse, Rat
Format Liquid
Host Rabbit
Clonality Recombinant Rabbit Monoclonal
Isotype Rabbit IgG
Clone Name 29P99
Purity Affinity-chromatography
Buffer Rabbit IgG in phosphate buffered saline, pH 7.4, 150mM NaCl, 0.02% sodium azide and 50% glycerol, 0.4-0.5mg/ml BSA.
UniProt Q15256
Localization Perinuclear, cell membrane
Applications Western Blot : 1:500-1:2000
Immunohistochemistry : 1:50-1:200
Limitations This PTPRR antibody is available for research use only.
Review this product on BioCompare and get a $20 Amazon gift card

Description

PTPRR antibody recognizes protein tyrosine phosphatase receptor type R, an enzyme that belongs to the receptor-type protein tyrosine phosphatase family. This phosphatase regulates phosphorylation states within signaling cascades, modulating pathways critical for cell differentiation, adhesion, and neuronal communication. PTPRR is expressed predominantly in the brain, where it interacts with and dephosphorylates mitogen-activated protein kinases (MAPKs). By controlling MAPK activity, PTPRR influences neuronal development and synaptic plasticity, making it an important regulator in the central nervous system.

Studies using PTPRR antibody have associated this protein with neurological disorders. Alterations in PTPRR signaling may contribute to diseases such as Parkinson's disease, Alzheimer's disease, and schizophrenia due to its involvement in regulating MAPK signaling balance. PTPRR has also been implicated in tumorigenesis, as phosphatases can act as either tumor suppressors or facilitators of oncogenic signaling depending on cellular context. Research continues to explore whether PTPRR expression patterns could serve as biomarkers or therapeutic targets.

Antibodies against PTPRR have been validated for applications including western blot, immunohistochemistry, and immunofluorescence. These reagents allow investigators to detect protein distribution in neuronal tissue or evaluate changes in phosphorylation-dependent signaling under experimental conditions. Clone-based versions provide high specificity, ensuring consistent results in both in vitro and in vivo studies.

NSJ Bioreagents provides this PTPRR antibody for research use, supporting investigations into brain development, signaling regulation, and disease mechanisms. Alternate names include protein tyrosine phosphatase receptor type R antibody, PTP-SL antibody, PTPRQ antibody, and PTPR-SL antibody.

Application Notes

Optimal dilution of the PTPRR antibody should be determined by the researcher.

Immunogen

A synthesized peptide derived from human PTPRR was used as the immunogen for the PTPRR antibody.

Storage

Store the PTPRR antibody at -20oC.

Cross
Bulk Quote Request Form
Name*:
Organization*:
Email*:
Phone Number*:
Catalog No.*:
Comments and Specifics(amount, formulation, etc.)*:
Validation code: Captchapackage Image


Can't read the image? click here to refresh.
    *required field

Your bulk quote request has been submitted successfully!

Please contact us if you have any questions.