• Tel: 858.663.9055
  • SeparatorEmail: info@nsjbio.com
  • Tel: 858.663.9055
  • Email: info@nsjbio.com
Home >> Antibodies >> PTPRF Antibody / LAR

PTPRF Antibody / LAR (R31936)

  Catalog No Formulation Size Price (USD)  
Image R31936 0.5mg/ml if reconstituted with 0.2ml sterile DI water 100 ug 449
Bulk quote request
Western blot testing of human 1) HeLa, 2) A431 and 3) A549 cell lysate with PTPRF antibody. Observed molecular weight ~240 kDa.
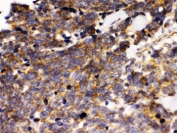
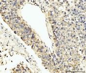
IHC testing of FFPE human lung cancer tissue with PTPRF antibody. HIER: Boil the paraffin sections in pH 6, 10mM citrate buffer for 20 minutes and allow to cool prior to staining.
Availability 1-3 business days
Species Reactivity Human
Format Antigen affinity purified
Host Rabbit
Clonality Polyclonal (rabbit origin)
Isotype Rabbit IgG
Purity Antigen affinity
Buffer Lyophilized from 1X PBS with 2.5% BSA and 0.025% sodium azide
UniProt P10586
Localization Cytoplasmic
Applications Western Blot : 0.1-0.5ug/ml
IHC (FFPE) : 0.5-1ug/ml
Limitations This PTPRF antibody is available for research use only.
Review this product on BioCompare and get a $20 Amazon gift card

Related Products

Description

Receptor-type tyrosine-protein phosphatase F is an enzyme that in humans is encoded by the PTPRF gene. The protein encoded by this gene is a member of the protein tyrosine phosphatase (PTP) family. PTPs are known to be signaling molecules that regulate a variety of cellular processes including cell growth, differentiation, mitotic cycle, and oncogenic transformation. This PTP possesses an extracellular region, a single transmembrane region, and two tandem intracytoplasmic catalytic domains, and thus represents a receptor-type PTP. The extracellular region contains three Ig-like domains, and nine non-Ig like domains similar to that of neural-cell adhesion molecule. This PTP was shown to function in the regulation of epithelial cell-cell contacts at adherents junctions, as well as in the control of beta-catenin signaling. An increased expression level of this protein was found in the insulin-responsive tissue of obese, insulin-resistant individuals, and may contribute to the pathogenesis of insulin resistance. Two alternatively spliced transcript variants of this gene, which encode distinct proteins, have been reported.

Application Notes

Optimal dilution of the PTPRF antibody should be determined by the researcher.

Immunogen

Amino acids EQGGEEQRRRRRQAERLKPYVAAQLDVLPETFTLGDK of human PTPRF were used as the immunogen for the PTPRF antibody.

Storage

After reconstitution, the PTPRF antibody can be stored for up to one month at 4oC. For long-term, aliquot and store at -20oC. Avoid repeated freezing and thawing.

Cross
Bulk Quote Request Form
Name*:
Organization*:
Email*:
Phone Number*:
Catalog No.*:
Comments and Specifics(amount, formulation, etc.)*:
Validation code: Captchapackage Image


Can't read the image? click here to refresh.
    *required field

Your bulk quote request has been submitted successfully!

Please contact us if you have any questions.