• Tel: 858.663.9055
  • SeparatorEmail: info@nsjbio.com
  • Tel: 858.663.9055
  • Email: info@nsjbio.com
Home >> Antibodies >> PTPIP51 Antibody / RMDN3

PTPIP51 Antibody / RMDN3 (RQ7834)

  Catalog No Formulation Size Price (USD)  
Image RQ7834 0.5mg/ml if reconstituted with 0.2ml sterile DI water 100 ug 449
Bulk quote request
Immunofluorescent staining of FFPE human rectal cancer tissue with PTPIP51 antibody (red) and DAPI nuclear stain (blue). HIER: steam section in pH8 EDTA buffer for 20 min.
Immunofluorescent staining of FFPE human U-2 OS cells with PTPIP51 antibody (red) and DAPI nuclear stain (blue). HIER: steam section in pH6 citrate buffer for 20 min.
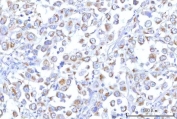
IHC staining of FFPE human lung adenocarcinoma tissue with PTPIP51 antibody. HIER: boil tissue sections in pH8 EDTA for 20 min and allow to cool before testing.
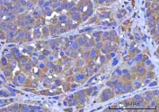
IHC staining of FFPE human testicular seminoma tissue with PTPIP51 antibody. HIER: boil tissue sections in pH8 EDTA for 20 min and allow to cool before testing.
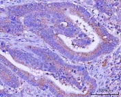
IHC staining of FFPE human rectum adenocarcinoma tissue with PTPIP51 antibody. HIER: boil tissue sections in pH8 EDTA for 20 min and allow to cool before testing.
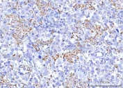
IHC staining of FFPE human liver cancer tissue with PTPIP51 antibody. HIER: boil tissue sections in pH8 EDTA for 20 min and allow to cool before testing.
Western blot testing of human 1) HaCaT, 2) Caco-2 and 3) K562 cell lysate with PTPIP51 antibody. Predicted molecular weight ~52 kDa.
Flow cytometry testing of human HepG2 cells with PTPIP51 antibody at 1ug/million cells (blocked with goat sera); Red=cells alone, Green=isotype control, Blue= PTPIP51 antibody.
Availability 1-3 business days
Species Reactivity Human
Format Antigen affinity purified
Host Rabbit
Clonality Polyclonal (rabbit origin)
Isotype Rabbit IgG
Purity Antigen affinity purified
Buffer Lyophilized from 1X PBS with 2% Trehalose
UniProt Q96TC7
Localization Cytoplasmic, nuclear
Applications Western Blot : 0.5-1ug/ml
Immunohistochemistry (FFPE) : 2-5ug/ml
Immunofluorescence : 5ug/ml
Flow Cytometry : 1-3ug/million cells
Direct ELISA : 0.1-0.5ug/ml
Limitations This PTPIP51 antibody is available for research use only.
Review this product on BioCompare and get a $20 Amazon gift card

Description

Regulator of microtubule dynamics protein 3 (RMDN3), more commonly known as Protein tyrosine phosphatase interacting protein 51 (PTPIP51), is a protein that in humans is encoded by the RMDN3 gene on chromosome 15. Enables microtubule binding activity. Involved in cellular calcium ion homeostasis. Located in several cellular components, including intercellular bridge; mitochondrial outer membrane; and spindle.

Application Notes

Optimal dilution of the PTPIP51 antibody should be determined by the researcher.

Immunogen

E. coli-derived recombinant human protein (amino acids Q45-R438) was used as the immunogen for the PTPIP51 antibody.

Storage

After reconstitution, the PTPIP51 antibody can be stored for up to one month at 4oC. For long-term, aliquot and store at -20oC. Avoid repeated freezing and thawing.

Cross
Bulk Quote Request Form
Name*:
Organization*:
Email*:
Phone Number*:
Catalog No.*:
Comments and Specifics(amount, formulation, etc.)*:
Validation code: Captchapackage Image


Can't read the image? click here to refresh.
    *required field

Your bulk quote request has been submitted successfully!

Please contact us if you have any questions.