• Tel: 858.663.9055
  • SeparatorEmail: info@nsjbio.com
  • Tel: 858.663.9055
  • Email: info@nsjbio.com
Home >> Antibodies >> PTP4A2 Antibody

PTP4A2 Antibody (R32207)

  Catalog No Formulation Size Price (USD)  
Image R32207 0.5mg/ml if reconstituted with 0.2ml sterile DI water 100 ug 449
Bulk quote request
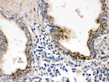
IHC testing of FFPE human prostate cancer with PTP4A2 antibody. HIER: Boil the paraffin sections in pH 6, 10mM citrate buffer for 20 minutes and allow to cool prior to staining.
Western blot testing of 1) human MOLT-4, 2) human T-47D, 3) human Daudi, 4) human RT4 and 5) rat PC-12 cell lysate with PTP4A2 antibody. Expected molecular weight ~19 kDa.
Flow cytometry testing of human A431 cells with PTP4A2 antibody at 1ug/10^6 cells (blocked with goat sera); Red=cells alone, Green=isotype control, Blue=PTP4A2 antibody.
Flow cytometry testing of human U937 cells with PTP4A2 antibody at 1ug/10^6 cells (blocked with goat sera); Red=cells alone, Green=isotype control, Blue=PTP4A2 antibody.
Flow cytometry testing of human PC-3 cells with PTP4A2 antibody at 1ug/10^6 cells (blocked with goat sera); Red=cells alone, Green=isotype control, Blue=PTP4A2 antibody.
Availability 1-3 business days
Species Reactivity Human, Mouse, Rat
Format Antigen affinity purified
Host Rabbit
Clonality Polyclonal (rabbit origin)
Isotype Rabbit IgG
Purity Antigen affinity
Buffer Lyophilized from 1X PBS with 2.5% BSA and 0.025% sodium azide
UniProt Q12974
Localization Cytoplasmic, membrane
Applications Western Blot : 0.1-0.5ug/ml
Immunohistochemistry (FFPE) : 0.5-1ug/ml
Flow Cytometry : 1-3ug/10^6 cells
Limitations This PTP4A2 antibody is available for research use only.
Review this product on BioCompare and get a $20 Amazon gift card

Related Products

  • Applications : IF, FACS, IHC-P, WB
    Reactivity : Human
  • Applications : WB
    Reactivity : Zebrafish

Description

Protein tyrosine phosphatase type IVA 2 is an enzyme that in humans is encoded by the PTP4A2 gene. The protein encoded by this gene belongs to a small class of the protein tyrosine phosphatase (PTP) family. PTPs are cell signaling molecules that play regulatory roles in a variety of cellular processes. PTPs in this class contain a protein tyrosine phosphatase catalytic domain and a characteristic C-terminal prenylation motif. This PTP has been shown to primarily associate with plasmic and endosomal membrane through its C-terminal prenylation. This PTP was found to interact with the beta-subunit of Rab geranylgeranyltransferase II (beta GGT II), and thus may function as a regulator of GGT II activity. Overexpression of this gene in mammalian cells conferred a transformed phenotype, which suggested its role in tumorigenesis. Alternatively spliced transcript variants have been described. Related pseudogenes exist on chromosomes 11, 12 and 17.

Application Notes

Optimal dilution of the PTP4A2 antibody should be determined by the researcher.

Immunogen

Amino acids TTLVRVCDATYDKAPVEKEGIHVLDWPFDD of human PTP4A2 were used as the immunogen for the PTP4A2 antibody.

Storage

After reconstitution, the PTP4A2 antibody can be stored for up to one month at 4oC. For long-term, aliquot and store at -20oC. Avoid repeated freezing and thawing.

Cross
Bulk Quote Request Form
Name*:
Organization*:
Email*:
Phone Number*:
Catalog No.*:
Comments and Specifics(amount, formulation, etc.)*:
Validation code: Captchapackage Image


Can't read the image? click here to refresh.
    *required field

Your bulk quote request has been submitted successfully!

Please contact us if you have any questions.