• Tel: 858.663.9055
  • SeparatorEmail: info@nsjbio.com
  • Tel: 858.663.9055
  • Email: info@nsjbio.com
Home >> Antibodies >> PTP-MEG2 Antibody / PTPN9

PTP-MEG2 Antibody / PTPN9 (RQ8369)

  Catalog No Formulation Size Price (USD)  
Image RQ8369 0.5mg/ml if reconstituted with 0.2ml sterile DI water 100 ug 449
Bulk quote request
Flow cytometry testing of fixed and permeabilized human RT4 cells with PTP-MEG2 antibody at 1ug/million cells (blocked with goat sera); Red=cells alone, Green=isotype control, Blue= PTP-MEG2 antibody.
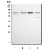
Western blot testing of human 1) A549, 2) 293T, 3) Raji and 4) RT4 cell lysate with PTP-MEG2 antibody. Predicted molecular weight ~68 kDa.
Availability 1-3 business days
Species Reactivity Human
Format Antigen affinity purified
Host Rabbit
Clonality Polyclonal (rabbit origin)
Isotype Rabbit IgG
Purity Antigen affinity purified
Buffer Lyophilized from 1X PBS with 2% Trehalose
UniProt P43378
Applications Western Blot : 0.5-1ug/ml
Flow Cytometry : 1-3ug/million cells
Direct ELISA : 0.1-0.5ug/ml
Limitations This PTP-MEG2 antibody is available for research use only.
Review this product on BioCompare and get a $20 Amazon gift card

Description

Tyrosine-protein phosphatase non-receptor type 9, also called Protein-tyrosine phosphatase MEG2, PTPase MEG2 and PTP-MEG2, is an enzyme that in humans is encoded by the PTPN9 gene. The protein encoded by this gene is a member of the protein tyrosine phosphatase (PTP) family. PTPs are known to be signaling molecules that regulate a variety of cellular processes including cell growth, differentiation, mitotic cycle, and oncogenic transformation. This PTP contains an N-terminal domain that shares a significant similarity with yeast SEC14, which is a protein that has phosphatidylinositol transfer activity and is required for protein secretion through the Golgi complex in yeast. This PTP was found to be activated by polyphosphoinositide, and is thought to be involved in signaling events regulating phagocytosis.

Application Notes

Optimal dilution of the PTP-MEG2 antibody should be determined by the researcher.

Immunogen

An E.coli-derived human recombinant protein (Q145-I571) was used as the immunogen for the PTP-MEG2 antibody.

Storage

After reconstitution, the PTP-MEG2 antibody can be stored for up to one month at 4oC. For long-term, aliquot and store at -20oC. Avoid repeated freezing and thawing.

Cross
Bulk Quote Request Form
Name*:
Organization*:
Email*:
Phone Number*:
Catalog No.*:
Comments and Specifics(amount, formulation, etc.)*:
Validation code: Captchapackage Image


Can't read the image? click here to refresh.
    *required field

Your bulk quote request has been submitted successfully!

Please contact us if you have any questions.