• Tel: 858.663.9055
  • SeparatorEmail: info@nsjbio.com
  • Tel: 858.663.9055
  • Email: info@nsjbio.com
Home >> Antibodies >> PTK2B Antibody / PYK2 / Protein tyrosine kinase 2 beta

PTK2B Antibody / PYK2 / Protein tyrosine kinase 2 beta (FY12929)

  Catalog No Formulation Size Price (USD)  
Image FY12929 Adding 0.2 ml of distilled water will yield a concentration of 500 ug/ml 100 ug 449
Bulk quote request
Immunofluorescent staining of PYK2/PTK2B using anti-PTK2B antibody (green)) and anti-Beta Tubulin antibody (red). PYK2/PTK2B was detected in an immunocytochemical section of cells. Enzyme antigen retrieval was performed using IHC enzyme antigen retrieval reagent for 15 mins. The cells were blocked with 10% goat serum. And then incubated with 5 ug/ml rabbit anti-PTK2B antibody and mouse anti-Beta Tubulin antibody overnight at 4oC. DyLight 488 Conjugated Goat Anti-Rabbit IgG and Cy3 Conjugated Goat Anti-Mouse IgG were used as secondary antibody at 1:500 dilution and incubated for 30 minutes at 37oC. Visualize using a fluorescence microscope and filter sets appropriate for the label used.
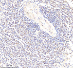
Immunohistochemical staining of PYK2/PTK2B using anti-PTK2B antibody. PYK2/PTK2B was detected in a paraffin-embedded section of human spleen tissue. Heat mediated antigen retrieval was performed in EDTA buffer (pH 8.0, epitope retrieval solution). The tissue section was blocked with 10% goat serum. The tissue section was then incubated with 2 ug/ml rabbit anti-PTK2B antibody overnight at 4oC. Peroxidase Conjugated Goat Anti-rabbit IgG was used as secondary antibody and incubated for 30 minutes at 37oC. The tissue section was developed using an HRP secondary and DAB substrate.
Flow Cytometry analysis of cells using anti-PTK2B antibody. Overlay histogram showing cells stained with (Blue line). To facilitate intracellular staining, cells were fixed with 4% paraformaldehyde and permeabilized with permeabilization buffer. The cells were blocked with 10% normal goat serum. And then incubated with rabbit anti-PTK2B antibody (1 ug/million cells) for 30 min at 20oC. DyLight 488 conjugated goat anti-rabbit IgG (5-10 ug/million cells) was used as secondary antibody for 30 minutes at 20oC. Isotype control antibody (Green line) was rabbit IgG (1 ug/million cells) used under the same conditions. Unlabelled sample without incubation with primary antibody and secondary antibody (Red line) was used as a blank control.
Western blot analysis of PYK2/PTK2B using anti-PTK2B antibody. Electrophoresis was performed on a 8% SDS-PAGE gel at 80V (Stacking gel) / 120V (Resolving gel) for 2 hours. Lane 1: human whole cell lysates, Lane 2: rat brain tissue lysates, Lane 3: mouse brain tissue lysates. After electrophoresis, proteins were transferred to a nitrocellulose membrane at 150 mA for 50-90 minutes. Blocked the membrane with 5% non-fat milk/TBS for 1.5 hour at RT. The membrane was incubated with rabbit anti-PTK2B antibody at 0.5 ug/ml overnight at 4oC, then washed with TBS-0.1%Tween 3 times with 5 minutes each and probed with a goat anti-rabbit IgG-HRP secondary antibody at a dilution of 1:5000 for 1.5 hour at RT. The signal was developed using an ECL Plus Western Blotting Substrate. A specific band was detected for PYK2/PTK2B at approximately 116 kDa. The expected molecular weight of PYK2/PTK2B is at 116 kDa.
Availability 1-2 days
Species Reactivity Human, Mouse, Rat
Format Lyophilized
Host Rabbit
Clonality Polyclonal (rabbit origin)
Isotype Rabbit IgG
Purity Immunogen affinity purified
Buffer Each vial contains 4 mg Trehalose, 0.9 mg NaCl, 0.2 mg Na2HPO4.
UniProt Q14289
Localization Nuclear, cytoplasmic, cell membrane
Applications Western Blot : 0.25-0.5ug/ml
Immunohistochemistry : 2-5ug/ml
Immunocytochemistry/Immunofluorescence : 5ug/ml
Flow Cytometry : 1-3ug/million cells
ELISA : 0.1-0.5ug/ml
Limitations This PTK2B antibody is available for research use only.
Review this product on BioCompare and get a $20 Amazon gift card

Description

PTK2B antibody detects Protein tyrosine kinase 2 beta, also known as PYK2, a non-receptor tyrosine kinase involved in calcium-dependent signal transduction, cytoskeletal remodeling, and synaptic plasticity. Encoded by the PTK2B gene on chromosome 8p21.2, PYK2 belongs to the focal adhesion kinase (FAK) family and mediates signals downstream of G-protein-coupled receptors, integrins, and ion channels. It is abundantly expressed in brain, immune cells, and epithelial tissues, where it regulates adhesion, migration, and intracellular calcium responses.

Structurally, PYK2 is a 1,009-amino-acid cytoplasmic protein of approximately 116 kilodaltons containing an N-terminal FERM domain for membrane association, a central kinase domain, and a C-terminal focal adhesion-targeting (FAT) domain. Activation occurs through autophosphorylation at tyrosine 402, creating a binding site for Src family kinases and downstream effectors. The protein localizes to focal adhesions and postsynaptic densities, linking calcium signals to cytoskeletal dynamics and synaptic strength.

The PTK2B antibody is widely used in neuroscience, immunology, and cancer biology research to study focal adhesion signaling, neuronal activity, and cell migration. Western blot analysis detects a 116 kilodalton band corresponding to PYK2, while immunofluorescence shows punctate cytoplasmic and perinuclear staining consistent with activated signaling foci. This antibody enables exploration of calcium-sensitive kinase pathways and their contribution to cell communication and motility.

Functionally, PYK2 mediates integrin and calcium-dependent signaling that regulates cytoskeletal rearrangement, vesicle trafficking, and neuronal transmission. In the nervous system, PYK2 modulates synaptic plasticity and learning, while in immune cells it controls adhesion and migration. Dysregulation of PTK2B expression or activity has been linked to Alzheimer's disease, inflammatory disorders, and cancer metastasis. The PTK2B antibody provides a versatile reagent for investigating kinase activation, intracellular signaling dynamics, and calcium-dependent regulation. NSJ Bioreagents validates this antibody for its applications, ensuring specificity and reproducibility in studies of kinase signaling and cellular motility.

Application Notes

Optimal dilution of the PTK2B antibody should be determined by the researcher.

Immunogen

E.coli-derived human PYK2/PTK2B recombinant protein (Position: K35-R770) was used as the immunogen for the PTK2B antibody.

Storage

After reconstitution, the PTK2B antibody can be stored for up to one month at 4oC. For long-term, aliquot and store at -20oC. Avoid repeated freezing and thawing.

Cross
Bulk Quote Request Form
Name*:
Organization*:
Email*:
Phone Number*:
Catalog No.*:
Comments and Specifics(amount, formulation, etc.)*:
Validation code: Captchapackage Image


Can't read the image? click here to refresh.
    *required field

Your bulk quote request has been submitted successfully!

Please contact us if you have any questions.