• Tel: 858.663.9055
  • SeparatorEmail: info@nsjbio.com
  • Tel: 858.663.9055
  • Email: info@nsjbio.com
Home >> Antibodies >> PTH Antibody for IHC / Parathyroid Hormone Antibody / C-Terminal

PTH Antibody for IHC / Parathyroid Hormone Antibody / C-Terminal [clone PTH/1175] (V2811)

  Catalog No Formulation Size Price (USD)  
Image V2811-100UG 0.2 mg/ml in 1X PBS with 0.1 mg/ml BSA (US sourced) and 0.05% sodium azide 100 ug 559
Image
V2811-20UG 0.2 mg/ml in 1X PBS with 0.1 mg/ml BSA (US sourced) and 0.05% sodium azide 20 ug 259
Image
V2811SAF-100UG 1 mg/ml in 1X PBS; BSA free, sodium azide free 100 ug 559
Image
V2811IHC-7ML Prediluted in 1X PBS with 0.1 mg/ml BSA (US sourced) and 0.05% sodium azide; *For IHC use only* 7 ml 559
Bulk quote request
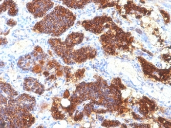
PTH Antibody for IHC immunohistochemistry analysis of Parathyroid hormone in human parathyroid tissue. FFPE human parathyroid tissue was stained using PTH antibody clone PTH/1175 following heat induced epitope retrieval prior to staining. HRP-DAB brown chromogenic signal highlights strong cytoplasmic staining in parathyroid endocrine cells, consistent with the known expression of Parathyroid hormone (PTH) in hormone-producing chief cells that regulate systemic calcium homeostasis. The staining pattern demonstrates robust detection of parathyroid endocrine tissue and supports the use of PTH Antibody for IHC / Parathyroid Hormone Antibody (clone PTH/1175) for immunohistochemistry analysis of PTH expression in human tissue sections.
PTH Antibody for IHC immunohistochemistry analysis of Parathyroid hormone in human parathyroid tissue. FFPE human parathyroid tissue was stained using PTH antibody clone PTH/1175 following heat induced epitope retrieval prior to staining. HRP-DAB brown chromogenic signal highlights strong cytoplasmic staining in parathyroid endocrine cells arranged in nests and cords, consistent with the known expression of Parathyroid hormone (PTH) in hormone-producing chief cells that regulate systemic calcium homeostasis. This staining pattern demonstrates robust detection of parathyroid endocrine tissue and supports the use of PTH Antibody for IHC / Parathyroid Hormone Antibody (clone PTH/1175) for immunohistochemistry analysis of PTH expression in human tissue sections.
SDS-PAGE Analysis of Purified, BSA-Free PTH Antibody (clone PTH/1175). Confirmation of Integrity and Purity of the Antibody.
Availability 1-3 business days
Species Reactivity Human
Format Purified
Host Mouse
Clonality Monoclonal (mouse origin)
Isotype Mouse IgG2b, kappa
Clone Name PTH/1175
Purity Protein G affinity chromatography
UniProt P01270
Localization Cytoplasmic and secreted
Applications Immunohistochemistry (FFPE) : 0.5-1ug/ml for 30 min at RT
Limitations This PTH antibody is available for research use only.
Review this product on BioCompare and get a $20 Amazon gift card

Related Products

Description

Parathyroid hormone (PTH), encoded by the PTH gene, is a peptide hormone produced primarily by endocrine chief cells of the parathyroid glands and plays a central role in calcium and phosphate homeostasis. PTH regulates calcium metabolism by promoting bone resorption, increasing renal calcium reabsorption, and stimulating activation of vitamin D. PTH Antibody for IHC / Parathyroid Hormone Antibody supports immunohistochemistry detection of this hormone in formalin-fixed paraffin-embedded tissue sections, where identification of PTH-producing endocrine cells is important for endocrine pathology and research applications.

PTH Antibody for IHC clone PTH/1175 is a mouse monoclonal antibody designed for sensitive immunohistochemistry analysis of parathyroid hormone expression in tissue samples. Immunohistochemical staining for PTH is widely used in surgical pathology to identify parathyroid tissue and to confirm parathyroid origin in endocrine tumors of the neck. In histological sections, strong cytoplasmic staining is typically observed in parathyroid chief cells that synthesize and secrete PTH, providing a reliable molecular marker for distinguishing parathyroid tissue from morphologically similar thyroid or metastatic lesions.

The PTH protein is synthesized as preproparathyroid hormone, which undergoes intracellular processing to produce the biologically active peptide hormone prior to secretion. Because hormone synthesis occurs within parathyroid endocrine cells, immunohistochemistry detection using a PTH antibody generally highlights cytoplasmic localization within hormone-producing cells. This staining pattern allows pathologists and researchers to evaluate parathyroid gland architecture and to detect parathyroid-derived tumors within surgical specimens.

PTH immunohistochemistry is particularly valuable in the study of parathyroid adenoma, parathyroid hyperplasia, and parathyroid carcinoma. In these lesions, a PTH antibody can demonstrate strong staining in tumor cells derived from parathyroid endocrine tissue, assisting with differential diagnosis and tissue classification. The ability to detect PTH protein expression in FFPE tissue sections therefore provides an important tool for endocrine tumor characterization and biomarker analysis.

This mouse monoclonal antibody clone PTH/1175 recognizes Parathyroid hormone and is optimized for immunohistochemistry based detection of PTH expression in tissue sections. A PTH antibody suitable for IHC enables detailed visualization of hormone-producing endocrine cells in histological samples and supports research investigating parathyroid gland biology, endocrine tumor pathology, and calcium regulatory hormone signaling.

Application Notes

Optimal dilution of the PTH Antibody for IHC should be determined by the researcher.

1. Staining of formalin-fixed tissues requires boiling tissue sections in 10mM Citrate buffer, pH 6.0, for 10-20 min followed by cooling at RT for 20 min.
2. The prediluted format is supplied in a dropper bottle and is optimized for use in IHC. After epitope retrieval step (if required), drip mAb solution onto the tissue section and incubate at RT for 30 min.

Immunogen

Amino acids 32-115 of human PTH was used as the immunogen for the Parathyroid Hormone antibody. The epitope of this mAb maps in the C-terminus of PTH.

Storage

Store the PTH antibody at 2-8oC (with azide) or aliquot and store at -20oC or colder (without azide).

Alternate Names

Parathyroid hormone antibody, PTH antibody, Parathyroid hormone immunohistochemistry antibody, PTH immunohistochemistry antibody

Cross
Bulk Quote Request Form
Name*:
Organization*:
Email*:
Phone Number*:
Catalog No.*:
Comments and Specifics(amount, formulation, etc.)*:
Validation code: Captchapackage Image


Can't read the image? click here to refresh.
    *required field

Your bulk quote request has been submitted successfully!

Please contact us if you have any questions.