• Tel: 858.663.9055
  • SeparatorEmail: info@nsjbio.com
  • Tel: 858.663.9055
  • Email: info@nsjbio.com
Home >> Antibodies >> PTGDS Antibody

PTGDS Antibody (R35509)

  Catalog No Formulation Size Price (USD)  
Image R35509-100UG 0.5 mg/ml in 1X TBS, pH7.3, with 0.5% BSA (US sourced) and 0.02% sodium azide 100 ug 475
Bulk quote request
Western blot testing of human cerebellum lysate with PTGDS antibody at 0.3ug/ml. Predicted molecular weight: 21-27 kDa depending on level of glycosylation.
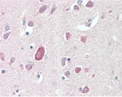
IHC testing of FFPE human brain (cortex) tissue with PTGDS antibody at 5ug/ml. Required HIER: steamed antigen retrieval with pH6 citrate buffer; AP-staining.
Availability 1-3 business days
Species Reactivity Human
Format Antigen affinity purified
Host Goat
Clonality Polyclonal (goat origin)
Isotype Goat Ig
Purity Antigen affinity
Gene ID 5730
Applications Western Blot : 0.3-1ug/ml
IHC (FFPE) : 5ug/ml
ELISA (peptide) LOD : 1:128000
Limitations This PTGDS antibody is available for research use only.
Review this product on BioCompare and get a $20 Amazon gift card

Related Products

  • Applications : WB, ELISA (peptide)
    Reactivity : Mouse

Description

Additional name(s) for this target protein: Prostaglandin D2 synthase 21kDa

Application Notes

Optimal dilution of the PTGDS antibody should be determined by the researcher.

Immunogen

Amino acids QVSVQPNFQQDK were used as the immunogen for this PTGDS antibody.

Storage

Aliquot and store the PTGDS antibody at -20oC.

Cross
Bulk Quote Request Form
Name*:
Organization*:
Email*:
Phone Number*:
Catalog No.*:
Comments and Specifics(amount, formulation, etc.)*:
Validation code: Captchapackage Image


Can't read the image? click here to refresh.
    *required field

Your bulk quote request has been submitted successfully!

Please contact us if you have any questions.