• Tel: 858.663.9055
  • SeparatorEmail: info@nsjbio.com
  • Tel: 858.663.9055
  • Email: info@nsjbio.com
Home >> Antibodies >> PTCD1 Antibody / Pentatricopeptide repeat domain-containing protein 1

PTCD1 Antibody / Pentatricopeptide repeat domain-containing protein 1 (FY12700)

  Catalog No Formulation Size Price (USD)  
Image FY12700 Adding 0.2 ml of distilled water will yield a concentration of 500 ug/ml 100 ug 449
Bulk quote request
Immunohistochemical staining of PTCD1 using anti-PTCD1 antibody. PTCD1 was detected in a paraffin-embedded section of human breast cancer tissue. Heat mediated antigen retrieval was performed in EDTA buffer (pH 8.0, epitope retrieval solution). The tissue section was blocked with 10% goat serum. The tissue section was then incubated with 2 ug/ml rabbit anti-PTCD1 antibody overnight at 4oC. Peroxidase Conjugated Goat Anti-rabbit IgG was used as secondary antibody and incubated for 30 minutes at 37oC. The tissue section was developed using an HRP secondary and DAB substrate.
Western blot analysis of PTCD1 using anti-PTCD1 antibody. Lane 1: human Caco-2 whole cell lysates, Lane 2: human SIHA whole cell lysates, Lane 3: human 293T whole cell lysates, Lane 4: human MCF-7 whole cell lysates, Lane 5: rat testis tissue lysates, Lane 6: rat heart tissue lysates, Lane 7: mouse testis tissue lysates, Lane 8: mouse heart tissue lysates. After electrophoresis, proteins were transferred to a nitrocellulose membrane at 150 mA for 50-90 minutes. Blocked the membrane with 5% non-fat milk/TBS for 1.5 hour at RT. The membrane was incubated with rabbit anti-PTCD1 antibody at 0.5 ug/ml overnight at 4oC, then washed with TBS-0.1%Tween 3 times with 5 minutes each and probed with a goat anti-rabbit IgG-HRP secondary antibody at a dilution of 1:5000 for 1.5 hour at RT. The signal was developed using enhanced chemiluminescent. A major band is detected at ~79 kDa together with lower species; mouse and rat lysates show a ~70 kDa doublet consistent with the processed mitochondrial form and phosphorylation-dependent mobility differences relative to the precursor.
Immunohistochemical staining of PTCD1 using anti-PTCD1 antibody. PTCD1 was detected in a paraffin-embedded section of human breast cancer tissue. Heat mediated antigen retrieval was performed in EDTA buffer (pH 8.0, epitope retrieval solution). The tissue section was blocked with 10% goat serum. The tissue section was then incubated with 2 ug/ml rabbit anti-PTCD1 antibody overnight at 4oC. Peroxidase Conjugated Goat Anti-rabbit IgG was used as secondary antibody and incubated for 30 minutes at 37oC. The tissue section was developed using an HRP secondary and DAB substrate.
Immunohistochemical staining of PTCD1 using anti-PTCD1 antibody. PTCD1 was detected in a paraffin-embedded section of human liver cancer tissue. Heat mediated antigen retrieval was performed in EDTA buffer (pH 8.0, epitope retrieval solution). The tissue section was blocked with 10% goat serum. The tissue section was then incubated with 2 ug/ml rabbit anti-PTCD1 antibody overnight at 4oC. Peroxidase Conjugated Goat Anti-rabbit IgG was used as secondary antibody and incubated for 30 minutes at 37oC. The tissue section was developed using an HRP secondary and DAB substrate.
Immunohistochemical staining of PTCD1 using anti-PTCD1 antibody. PTCD1 was detected in a paraffin-embedded section of human liver cancer tissue. Heat mediated antigen retrieval was performed in EDTA buffer (pH 8.0, epitope retrieval solution). The tissue section was blocked with 10% goat serum. The tissue section was then incubated with 2 ug/ml rabbit anti-PTCD1 antibody overnight at 4oC. Peroxidase Conjugated Goat Anti-rabbit IgG was used as secondary antibody and incubated for 30 minutes at 37oC. The tissue section was developed using an HRP secondary and DAB substrate.
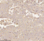
Immunohistochemical staining of PTCD1 using anti-PTCD1 antibody. PTCD1 was detected in a paraffin-embedded section of human placenta tissue. Heat mediated antigen retrieval was performed in EDTA buffer (pH 8.0, epitope retrieval solution). The tissue section was blocked with 10% goat serum. The tissue section was then incubated with 2 ug/ml rabbit anti-PTCD1 antibody overnight at 4oC. Peroxidase Conjugated Goat Anti-rabbit IgG was used as secondary antibody and incubated for 30 minutes at 37oC. The tissue section was developed using an HRP secondary and DAB substrate.
Immunohistochemical staining of PTCD1 using anti-PTCD1 antibody. PTCD1 was detected in a paraffin-embedded section of human placenta tissue. Heat mediated antigen retrieval was performed in EDTA buffer (pH 8.0, epitope retrieval solution). The tissue section was blocked with 10% goat serum. The tissue section was then incubated with 2 ug/ml rabbit anti-PTCD1 antibody overnight at 4oC. Peroxidase Conjugated Goat Anti-rabbit IgG was used as secondary antibody and incubated for 30 minutes at 37oC. The tissue section was developed using an HRP secondary and DAB substrate.
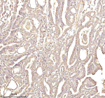
Immunohistochemical staining of PTCD1 using anti-PTCD1 antibody. PTCD1 was detected in a paraffin-embedded section of human thyroid papillary carcinoma tissue. Heat mediated antigen retrieval was performed in EDTA buffer (pH 8.0, epitope retrieval solution). The tissue section was blocked with 10% goat serum. The tissue section was then incubated with 2 ug/ml rabbit anti-PTCD1 antibody overnight at 4oC. Peroxidase Conjugated Goat Anti-rabbit IgG was used as secondary antibody and incubated for 30 minutes at 37oC. The tissue section was developed using an HRP secondary and DAB substrate.
Immunohistochemical staining of PTCD1 using anti-PTCD1 antibody. PTCD1 was detected in a paraffin-embedded section of human thyroid papillary carcinoma tissue. Heat mediated antigen retrieval was performed in EDTA buffer (pH 8.0, epitope retrieval solution). The tissue section was blocked with 10% goat serum. The tissue section was then incubated with 2 ug/ml rabbit anti-PTCD1 antibody overnight at 4oC. Peroxidase Conjugated Goat Anti-rabbit IgG was used as secondary antibody and incubated for 30 minutes at 37oC. The tissue section was developed using an HRP secondary and DAB substrate.
Flow Cytometry analysis of 293T cells using anti-PTCD1 antibody. Overlay histogram showing 293T cells stained with (Blue line). To facilitate intracellular staining, cells were fixed with 4% paraformaldehyde and permeabilized with permeabilization buffer. The cells were blocked with 10% normal goat serum. And then incubated with rabbit anti-PTCD1 antibody (1 ug/million cells) for 30 min at 20oC. DyLight 488 conjugated goat anti-rabbit IgG (5-10 ug/million cells) was used as secondary antibody for 30 minutes at 20oC. Isotype control antibody (Green line) was rabbit IgG (1 ug/million cells) used under the same conditions. Unlabelled sample (Red line) was also used as a control.
Availability 1-2 days
Species Reactivity Human, Mouse, Rat
Format Lyophilized
Host Rabbit
Clonality Polyclonal (rabbit origin)
Isotype Rabbit IgG
Purity Immunogen affinity purified
Buffer Each vial contains 4 mg Trehalose, 0.9 mg NaCl, 0.2 mg Na2HPO4.
UniProt O75127
Localization Mitochondria
Applications Western Blot : 0.25-0.5ug/ml
Immunohistochemistry : 2-5ug/ml
Flow Cytometry : 1-3ug/million cells
ELISA : 0.1-0.5ug/ml
Limitations This PTCD1 antibody is available for research use only.
Review this product on BioCompare and get a $20 Amazon gift card

Description

PTCD1 antibody detects Pentatricopeptide repeat domain-containing protein 1, a mitochondrial RNA-binding protein that regulates mitochondrial gene expression and RNA metabolism. Encoded by the PTCD1 gene on chromosome 2q31.3, this protein contains multiple tandem pentatricopeptide repeat (PPR) motifs that mediate specific binding to mitochondrial RNA transcripts. PTCD1 functions as a post-transcriptional regulator that controls the stability, processing, and translation of mitochondrial mRNAs essential for oxidative phosphorylation. By coordinating RNA maturation and ribosome assembly within mitochondria, PTCD1 ensures proper energy production and cellular respiration.

PTCD1 belongs to a large family of PPR proteins that are characterized by their modular RNA-binding repeats. In mammalian cells, PTCD1 localizes to the mitochondrial matrix and associates with mitochondrial ribonucleoprotein complexes. Functional studies indicate that PTCD1 modulates expression of key mitochondrial-encoded subunits of the respiratory chain, including components of complexes I and IV. Knockdown or loss of PTCD1 disrupts mitochondrial translation, leading to impaired ATP synthesis and increased reactive oxygen species production. As such, PTCD1 plays a central role in maintaining mitochondrial integrity and energy homeostasis.

The PTCD1 antibody is widely used in studies of mitochondrial biology, RNA processing, and metabolic regulation. In western blot assays, PTCD1 is detected as a ~75 kilodalton band, while immunofluorescence reveals punctate staining consistent with mitochondrial localization. Expression profiling has shown that PTCD1 is abundant in metabolically active tissues such as heart, skeletal muscle, and brain, where mitochondrial activity is high. The antibody is an essential reagent for examining mitochondrial gene expression pathways and for identifying alterations in mitochondrial function associated with metabolic disorders and neurodegeneration.

Beyond its core function in RNA metabolism, PTCD1 has been linked to mitochondrial-nuclear communication and apoptosis regulation. It may influence the transcription of nuclear-encoded mitochondrial genes by modulating signaling pathways that respond to mitochondrial dysfunction. Genetic variants of PTCD1 have been associated with susceptibility to metabolic diseases, including type 2 diabetes and mitochondrial encephalomyopathy. The PTCD1 antibody thus enables researchers to explore these regulatory networks and to define the molecular mechanisms that couple RNA metabolism with mitochondrial biogenesis. NSJ Bioreagents provides this antibody validated for its applications, supporting studies in bioenergetics, RNA regulation, and mitochondrial pathophysiology.

Application Notes

Optimal dilution of the PTCD1 antibody should be determined by the researcher.

Immunogen

E.coli-derived human PTCD1 recombinant protein (Position: D203-L601) was used as the immunogen for the PTCD1 antibody.

Storage

After reconstitution, the PTCD1 antibody can be stored for up to one month at 4oC. For long-term, aliquot and store at -20oC. Avoid repeated freezing and thawing.

Cross
Bulk Quote Request Form
Name*:
Organization*:
Email*:
Phone Number*:
Catalog No.*:
Comments and Specifics(amount, formulation, etc.)*:
Validation code: Captchapackage Image


Can't read the image? click here to refresh.
    *required field

Your bulk quote request has been submitted successfully!

Please contact us if you have any questions.