• Tel: 858.663.9055
  • SeparatorEmail: info@nsjbio.com
  • Tel: 858.663.9055
  • Email: info@nsjbio.com
Home >> Antibodies >> PSME3 Antibody / Proteasome activator complex subunit 3

PSME3 Antibody / Proteasome activator complex subunit 3 (FY12769)

  Catalog No Formulation Size Price (USD)  
Image FY12769 Adding 0.2 ml of distilled water will yield a concentration of 500 ug/ml 100 ug 449
Bulk quote request
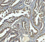
Immunohistochemical staining of PSME3 using anti-PSME3 antibody. PSME3 was detected in a paraffin-embedded section of human cervical cancer tissue. Heat mediated antigen retrieval was performed in EDTA buffer (pH 8.0, epitope retrieval solution). The tissue section was blocked with 10% goat serum. The tissue section was then incubated with 2 ug/ml rabbit anti-PSME3 antibody overnight at 4oC. Peroxidase Conjugated Goat Anti-rabbit IgG was used as secondary antibody and incubated for 30 minutes at 37oC. The tissue section was developed using an HRP secondary and DAB substrate.
Western blot analysis of PSME3 using anti-PSME3 antibody. Electrophoresis was performed on a 10% SDS-PAGE gel at 80V (Stacking gel) / 120V (Resolving gel) for 2 hours. Lane 1: human SW579 whole cell lysates, Lane 2: human whole cell lysates, Lane 3: human RT4 whole cell lysates, Lane 4: rat C6 whole cell lysates, Lane 5: mouse Neuro-2a whole cell lysates. After electrophoresis, proteins were transferred to a nitrocellulose membrane at 150 mA for 50-90 minutes. Blocked the membrane with 5% non-fat milk/TBS for 1.5 hour at RT. The membrane was incubated with rabbit anti-PSME3 antibody at 0.5 ug/ml overnight at 4oC, then washed with TBS-0.1%Tween 3 times with 5 minutes each and probed with a goat anti-rabbit IgG-HRP secondary antibody at a dilution of 1:5000 for 1.5 hour at RT. The signal is developed using an ECL Plus Western Blotting Substratewith Tanon 5200 system. A specific band was detected for PSME3 at approximately 30 kDa. The expected molecular weight of PSME3 is ~30 kDa.
Immunohistochemical staining of PSME3 using anti-PSME3 antibody. PSME3 was detected in a paraffin-embedded section of human colon cancer tissue. Heat mediated antigen retrieval was performed in EDTA buffer (pH 8.0, epitope retrieval solution). The tissue section was blocked with 10% goat serum. The tissue section was then incubated with 2 ug/ml rabbit anti-PSME3 antibody overnight at 4oC. Peroxidase Conjugated Goat Anti-rabbit IgG was used as secondary antibody and incubated for 30 minutes at 37oC. The tissue section was developed using an HRP secondary and DAB substrate.
Immunofluorescent staining of PSME3 using anti-PSME3 antibody (green) and anti-Tubulin Alpha antibody (red). PSME3 was detected in immunocytochemical section of U2OS cell. Enzyme antigen retrieval was performed using IHC enzyme antigen retrieval reagent for 15 mins. The cells were blocked with 10% goat serum. And then incubated with 5 ug/ml rabbit anti-PSME3 antibody and mouse anti-Tubulin Alpha antibody overnight at 4oC. DyLight 488 Conjugated Goat Anti-Rabbit IgG and Cy3 Conjugated Goat Anti-Mouse IgG were used as secondary antibody at 1:500 dilution and incubated for 30 minutes at 37oC. Visualize using a fluorescence microscope and filter sets appropriate for the label used.
Availability 1-2 days
Species Reactivity Human, Mouse, Rat
Format Lyophilized
Host Rabbit
Clonality Polyclonal (rabbit origin)
Isotype Rabbit IgG
Purity Immunogen affinity purified
Buffer Each vial contains 4 mg Trehalose, 0.9 mg NaCl, 0.2 mg Na2HPO4.
UniProt P61289
Localization Nucleus, possible cytoplasm
Applications Western Blot : 0.25-0.5ug/ml
Immunohistochemistry : 2-5ug/ml
Immunocytochemistry/Immunofluorescence : 5ug/ml
ELISA : 0.1-0.5ug/ml
Limitations This PSME3 antibody is available for research use only.
Review this product on BioCompare and get a $20 Amazon gift card

Description

PSME3 antibody detects Proteasome activator complex subunit 3 (also known as PA28 gamma or REG gamma), a nuclear proteasome regulator involved in ubiquitin-independent protein degradation, cell cycle control, and stress responses. Encoded by the PSME3 gene on chromosome 17q21.2, this protein belongs to the 11S (PA28) family of proteasome activators that modulate the 20S core particle. Unlike its cytoplasmic counterparts PA28 alpha and beta, which form the PA28 alpha/beta complex activated by interferon-gamma, PSME3 functions mainly within the nucleus, where it regulates the turnover of transcriptional regulators, cyclins, and damaged proteins in a ubiquitin-independent manner.

PSME3 forms homoheptameric rings that cap the 20S proteasome, enhancing peptide entry and release. This activation facilitates the degradation of short-lived or misfolded proteins without requiring ubiquitination or ATP. The protein is dynamically regulated through phosphorylation and interaction with other nuclear components, enabling rapid responses to cell stress or metabolic shifts. Key substrates of PSME3 include p21, p53, and steroid receptor coactivators, indicating its dual role in proteostasis and transcriptional regulation.

The PSME3 antibody is widely used in cell biology, oncology, and proteasome regulation research to assess nuclear proteasome activity and protein turnover. Western blot analysis identifies a 29 kilodalton band corresponding to PA28 gamma, and immunofluorescence reveals diffuse nuclear staining. This antibody supports studies of proteolytic regulation in proliferation, apoptosis, and DNA damage responses. Because PSME3 controls the degradation of regulatory proteins involved in the cell cycle and tumor suppression, its dysfunction is associated with oncogenesis and altered stress tolerance.

In cancer, overexpression of PSME3 promotes tumor progression by accelerating degradation of p53 and p21, thereby weakening cell-cycle checkpoints and apoptosis. Conversely, loss of PSME3 function leads to accumulation of damaged proteins and proteostasis stress. Beyond cancer, PSME3 contributes to chromatin regulation, immune surveillance, and viral infection control. The PSME3 antibody enables researchers to examine these diverse processes by providing reliable detection in western blot, immunofluorescence, and immunohistochemistry. NSJ Bioreagents offers this antibody validated for high specificity in proteasome and nuclear turnover studies.

Application Notes

Optimal dilution of the PSME3 antibody should be determined by the researcher.

Immunogen

E.coli-derived human PSME3 recombinant protein (Position: 3-251) was used as the immunogen for the PSME3 antibody.

Storage

After reconstitution, the PSME3 antibody can be stored for up to one month at 4oC. For long-term, aliquot and store at -20oC. Avoid repeated freezing and thawing.

Cross
Bulk Quote Request Form
Name*:
Organization*:
Email*:
Phone Number*:
Catalog No.*:
Comments and Specifics(amount, formulation, etc.)*:
Validation code: Captchapackage Image


Can't read the image? click here to refresh.
    *required field

Your bulk quote request has been submitted successfully!

Please contact us if you have any questions.