• Tel: 858.663.9055
  • SeparatorEmail: info@nsjbio.com
  • Tel: 858.663.9055
  • Email: info@nsjbio.com
Home >> Antibodies >> PSMD14 Antibody / 26S proteasome non-ATPase regulatory subunit 14

PSMD14 Antibody / 26S proteasome non-ATPase regulatory subunit 14 (RQ8186)

  Catalog No Formulation Size Price (USD)  
Image RQ8186 0.5mg/ml if reconstituted with 0.2ml sterile DI water 100 ug 449
Bulk quote request
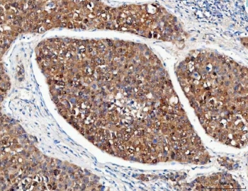
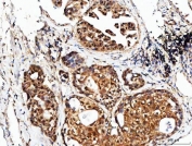
IHC staining of FFPE human liver cancer tissue with PSMD14 antibody. HIER: boil tissue sections in pH8 EDTA for 20 min and allow to cool before testing.
IHC staining of FFPE human human lung adenocarcinoma tissue with PSMD14 antibody. HIER: boil tissue sections in pH8 EDTA for 20 min and allow to cool before testing.
IHC staining of FFPE human glioblastoma tissue with PSMD14 antibody. HIER: boil tissue sections in pH8 EDTA for 20 min and allow to cool before testing.
IHC staining of FFPE mouse brain tissue with PSMD14 antibody. HIER: boil tissue sections in pH8 EDTA for 20 min and allow to cool before testing.
IHC staining of FFPE rat brain tissue with PSMD14 antibody. HIER: boil tissue sections in pH8 EDTA for 20 min and allow to cool before testing.
Immunofluorescent staining of FFPE human U-2 OS cells with PSMD14 antibody (red) and DAPI nuclear stain (blue). HIER: steam section in pH6 citrate buffer for 20 min.
Western blot testing of human 1) 293T, 2) HeLa, 3) Jurkat and 4) HT-1080 cell lysate with PSMD14 antibody. Predicted molecular weight ~35 kDa.
Flow cytometry testing of fixed and permeabilized human Raji cells with PSMD14 antibody at 1ug/million cells (blocked with goat sera); Red=cells alone, Green=isotype control, Blue= PSMD14 antibody.
Immunoprecipitation of PSMD14 protein from 500ug of human HeLa whole cell lysate with 2ug of PSMD14 antibody.
Availability 1-3 business days
Species Reactivity Human, Mouse, Rat
Format Antigen affinity purified
Host Rabbit
Clonality Polyclonal (rabbit origin)
Isotype Rabbit IgG
Purity Antigen affinity purified
Buffer Lyophilized from 1X PBS with 2% Trehalose
UniProt O00487
Localization Nuclear, cytoplasmic, extracellular
Applications Western Blot : 0.5-1ug/ml
Immunohistochemistry (FFPE) : 2-5ug/ml
Immunofluorescence : 5ug/ml
Flow Cytometry : 1-3ug/million cells
Direct ELISA : 0.1-0.5ug/ml
Immunoprecipitation : 2ug per 500ug of lysate
Limitations This PSMD14 antibody is available for research use only.
Review this product on BioCompare and get a $20 Amazon gift card

Related Products

Description

PSMD14, also known as 26S proteasome non-ATPase regulatory subunit 14, is a critical component of the 19S regulatory particle of the 26S proteasome complex. This multi-subunit protease system is essential for degrading ubiquitinated proteins, maintaining protein quality control, and regulating numerous cellular processes. PSMD14 functions as a deubiquitinating enzyme, removing ubiquitin chains from substrates prior to proteasomal degradation. Researchers frequently use a PSMD14 antibody to study protein homeostasis and ubiquitin-dependent signaling.

The activity of PSMD14 is vital for ensuring efficient recycling of ubiquitin and controlling the stability of regulatory proteins that govern cell cycle progression, transcription, and apoptosis. Altered expression or mutations of PSMD14 can disrupt protein turnover, contributing to oncogenesis, immune dysregulation, and neurodegenerative conditions. Employing a PSMD14 antibody enables detailed investigation of these mechanisms and provides insight into how proteasomal regulation impacts disease.

PSMD14 has also emerged as a therapeutic target because of its role in cancer and viral infections, where protein degradation pathways are often hijacked or dysregulated. Studies suggest that modulating PSMD14 activity can influence tumor growth and immune responses, underscoring its biomedical significance. Using a PSMD14 antibody in applications such as western blot, immunohistochemistry, and immunoprecipitation helps researchers evaluate protein expression, localization, and function in diverse experimental systems.

NSJ Bioreagents offers a high-quality PSMD14 antibody that delivers consistent and reproducible results. By choosing a validated PSMD14 antibody, investigators gain a reliable tool for exploring proteasome biology, protein degradation, and disease mechanisms.

Application Notes

Optimal dilution of the PSMD14 antibody should be determined by the researcher.

Immunogen

E. coli-derived recombinant human protein (amino acids D21-K310) was used as the immunogen for the PSMD14 antibody.

Storage

After reconstitution, the PSMD14 antibody can be stored for up to one month at 4oC. For long-term, aliquot and store at -20oC. Avoid repeated freezing and thawing.

Cross
Bulk Quote Request Form
Name*:
Organization*:
Email*:
Phone Number*:
Catalog No.*:
Comments and Specifics(amount, formulation, etc.)*:
Validation code: Captchapackage Image


Can't read the image? click here to refresh.
    *required field

Your bulk quote request has been submitted successfully!

Please contact us if you have any questions.