• Tel: 858.663.9055
  • SeparatorEmail: info@nsjbio.com
  • Tel: 858.663.9055
  • Email: info@nsjbio.com
Home >> Antibodies >> PSMC4 Antibody / 26S proteasome regulatory subunit 6B / TBP-7

PSMC4 Antibody / 26S proteasome regulatory subunit 6B / TBP-7 (RQ8151)

  Catalog No Formulation Size Price (USD)  
Image RQ8151 0.5mg/ml if reconstituted with 0.2ml sterile DI water 100 ug 449
Bulk quote request
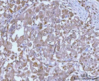
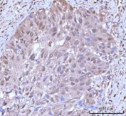
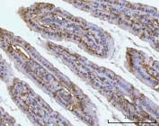
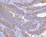
IHC staining of FFPE human lung adenocarcinoma tissue with PSMC4 antibody. HIER: boil tissue sections in pH8 EDTA for 20 min and allow to cool before testing.
IHC staining of FFPE human rectum adenocarcinoma tissue with PSMC4 antibody. HIER: boil tissue sections in pH8 EDTA for 20 min and allow to cool before testing.
IHC staining of FFPE human glioblastoma tissue with PSMC4 antibody. HIER: boil tissue sections in pH8 EDTA for 20 min and allow to cool before testing.
IHC staining of FFPE human urothelial carcinoma tissue with PSMC4 antibody. HIER: boil tissue sections in pH8 EDTA for 20 min and allow to cool before testing.
IHC staining of FFPE mouse colon tissue with PSMC4 antibody. HIER: boil tissue sections in pH8 EDTA for 20 min and allow to cool before testing.
Immunofluorescent staining of FFPE human U-2 OS cells with PSMC4 antibody (red) and Beta Tubulin mAb (green). HIER: steam section in pH6 citrate buffer for 20 min.
Western blot testing of 1) human HepG2, 2) human U-251, 3) human U-251, 4) human A549, 5) rat liver, 6) rat brain, 7) mouse liver and 8) mouse brain tissue lysate with PSMC4 antibody. Predicted molecular weight: 44-47 kDa (multiple isoforms).
Flow cytometry testing of fixed and permeabilized human Raji cells with PSMC4 antibody at 1ug/million cells (blocked with goat sera); Red=cells alone, Green=isotype control, Blue= PSMC4 antibody.
Immunoprecipitation of PSMC4 protein from 500ug of human SH-SY5Y whole cell lysate with 2ug of PSMC4 antibody.
Availability 1-3 business days
Species Reactivity Human, Mouse, Rat
Format Antigen affinity purified
Host Rabbit
Clonality Polyclonal (rabbit origin)
Isotype Rabbit IgG
Purity Antigen affinity purified
Buffer Lyophilized from 1X PBS with 2% Trehalose
UniProt P43686
Localization Nuclear, cytoplasmic
Applications Western Blot : 0.5-1ug/ml
Immunohistochemistry (FFPE) : 2-5ug/ml
Immunofluorescence : 5ug/ml
Immunoprecipitation : 2ug/500ug of lysate
Flow Cytometry : 1-3ug/million cells
Direct ELISA : 0.1-0.5ug/ml
Limitations This PSMC4 antibody is available for research use only.
Review this product on BioCompare and get a $20 Amazon gift card

Related Products

Description

26S protease regulatory subunit 6B, also known as 26S proteasome AAA-ATPase subunit Rpt3 and Tat-binding protein 7 (TBP-7), is an enzyme that in humans is encoded by the PSMC4 gene. The 26S proteasome is a multicatalytic proteinase complex with a highly ordered structure composed of 2 complexes, a 20S core and a 19S regulator. The 20S core is composed of 4 rings of 28 non-identical subunits; 2 rings are composed of 7 alpha subunits and 2 rings are composed of 7 beta subunits. The 19S regulator is composed of a base, which contains 6 ATPase subunits and 2 non-ATPase subunits, and a lid, which contains up to 10 non-ATPase subunits. Proteasomes are distributed throughout eukaryotic cells at a high concentration and cleave peptides in an ATP/ubiquitin-dependent process in a non-lysosomal pathway. This gene encodes a member of the triple-A family of ATPases that is a component of the 19S regulatory subunit and plays a role in 26S proteasome assembly. The encoded protein interacts with gankyrin, a liver oncoprotein, and may also play a role in Parkinson's disease through interactions with synphilin-1. Alternatively spliced transcript variants encoding multiple isoforms have been observed for this gene.

Application Notes

Optimal dilution of the PSMC4 antibody should be determined by the researcher.

Immunogen

E. coli-derived recombinant human protein (amino acids M1-Q412) was used as the immunogen for the PSMC4 antibody.

Storage

After reconstitution, the PSMC4 antibody can be stored for up to one month at 4oC. For long-term, aliquot and store at -20oC. Avoid repeated freezing and thawing.

Cross
Bulk Quote Request Form
Name*:
Organization*:
Email*:
Phone Number*:
Catalog No.*:
Comments and Specifics(amount, formulation, etc.)*:
Validation code: Captchapackage Image


Can't read the image? click here to refresh.
    *required field

Your bulk quote request has been submitted successfully!

Please contact us if you have any questions.