• Tel: 858.663.9055
  • SeparatorEmail: info@nsjbio.com
  • Tel: 858.663.9055
  • Email: info@nsjbio.com
Home >> Antibodies >> PSMB7 Antibody / Proteasome 20S beta 7

PSMB7 Antibody / Proteasome 20S beta 7 [clone 3H6C8] (RQ7689)

  Catalog No Formulation Size Price (USD)  
Image RQ7689 0.5mg/ml if reconstituted with 0.2ml sterile DI water 100 ug 449
Bulk quote request
Flow cytometry testing of human Caco-2 cells with PSMB7 antibody at 1ug/million cells (blocked with goat sera); Red=cells alone, Green=isotype control, Blue= PSMB7 antibody.
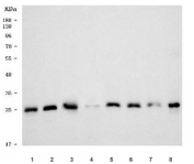
Western blot testing of 1) human HepG2, 2) human HeLa, 3) human PC-3, 4) monkey COS-7, 5) rat brain, 6) rat liver, 7) mouse brain and 8) mouse liver tissue lysate with PSMB7 antibody. Predicted molecular weight ~30 kDa.
Availability 1-3 business days
Species Reactivity Human, Mouse, Rat, Monkey
Format Antigen affinity purified
Host Mouse
Clonality Monoclonal (mouse origin)
Isotype Mouse IgG2b
Clone Name 3H6C8
Purity Antigen affinity purified
Buffer Lyophilized from 1X PBS with 2% Trehalose
UniProt Q99436
Applications Western Blot : 0.5-1ug/ml
Flow Cytometry : 1-3ug/million cells
Limitations This PSMB7 antibody is available for research use only.
Review this product on BioCompare and get a $20 Amazon gift card

Related Products

Description

Proteasome subunit beta type-7 as known as 20S proteasome subunit beta-2 is a protein that in humans is encoded by the PSMB7 gene. The proteasome is a multicatalytic proteinase complex with a highly ordered ring-shaped 20S core structure. The core structure is composed of 4 rings of 28 non-identical subunits; 2 rings are composed of 7 alpha subunits and 2 rings are composed of 7 beta subunits. Proteasomes are distributed throughout eukaryotic cells at a high concentration and cleave peptides in an ATP/ubiquitin-dependent process in a non-lysosomal pathway. The encoded protein is a member of the proteasome B-type family, also known as the T1B family, and is a 20S core beta subunit in the proteasome. Expression of this catalytic subunit is downregulated by gamma interferon, and proteolytic processing is required to generate a mature subunit. A pseudogene of this gene is located on the long arm of chromosome 14.

Application Notes

Optimal dilution of the PSMB7 antibody should be determined by the researcher.

Immunogen

E. coli-derived recombinant human protein (amino acids D17-S277) was used as the immunogen for the PSMB7 antibody.

Storage

After reconstitution, the PSMB7 antibody can be stored for up to one month at 4oC. For long-term, aliquot and store at -20oC. Avoid repeated freezing and thawing.

Cross
Bulk Quote Request Form
Name*:
Organization*:
Email*:
Phone Number*:
Catalog No.*:
Comments and Specifics(amount, formulation, etc.)*:
Validation code: Captchapackage Image


Can't read the image? click here to refresh.
    *required field

Your bulk quote request has been submitted successfully!

Please contact us if you have any questions.