• Tel: 858.663.9055
  • SeparatorEmail: info@nsjbio.com
  • Tel: 858.663.9055
  • Email: info@nsjbio.com
Home >> Antibodies >> PSMA1 Antibody / Proteasome 20S alpha 1

PSMA1 Antibody / Proteasome 20S alpha 1 (R32555)

  Catalog No Formulation Size Price (USD)  
Image R32555 0.5mg/ml if reconstituted with 0.2ml sterile DI water 100 ug 449
Bulk quote request
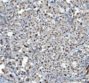
IHC staining of FFPE human rectum adenocarcinoma tissue with PSMA1 antibody. HIER: boil tissue sections in pH8 EDTA for 20 min and allow to cool before testing.
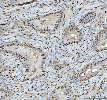
IHC staining of FFPE human lung cancer tissue with PSMA1 antibody. HIER: boil tissue sections in pH8 EDTA for 20 min and allow to cool before testing.
Western blot testing of 1) human MCF7, 2) human PC-3, 3) human HepG2, 4) human Jurkat, 5) rat brain, 6) rat liver, 7) mouse brain and 8) mouse liver tissue lysate with PSMA1 antibody. Predicted molecular weight ~30 kDa.
Availability 1-3 business days
Species Reactivity Human, Mouse, Rat
Format Antigen affinity purified
Host Rabbit
Clonality Polyclonal (rabbit origin)
Isotype Rabbit IgG
Purity Antigen affinity
Buffer Lyophilized from 1X PBS with 2% Trehalose
UniProt P25786
Localization Cytoplasmic, nuclear
Applications Western Blot : 0.5-1ug/ml
Immunohistochemistry (FFPE) : 2-5ug/ml
Limitations This PSMA1 antibody is available for research use only.
Review this product on BioCompare and get a $20 Amazon gift card

Related Products

Description

Proteasome subunit alpha type-1 is a protein that in humans is encoded by the PSMA1 gene. The proteasome is a multicatalytic proteinase complex with a highly ordered ring-shaped 20S core structure. The core structure is composed of 4 rings of 28 non-identical subunits; 2 rings are composed of 7 alpha subunits and 2 rings are composed of 7 beta subunits. Proteasomes are distributed throughout eukaryotic cells at a high concentration and cleave peptides in an ATP/ubiquitin-dependent process in a non-lysosomal pathway. An essential function of a modified proteasome, the immunoproteasome, is the processing of class I MHC peptides. This gene encodes a member of the peptidase T1A family, that is a 20S core alpha subunit. Alternative splicing results in multiple transcript variants encoding distinct isoforms.

Application Notes

Differences in protocols and secondary/substrate sensitivity may require the PSMA1 antibody to be titrated for optimal performance.

Immunogen

Amino acids 159-204 (MSIGARSQSARTYLERHMSEFMECNLNELVKHGLRALRETLPAEQD) from the human protein were used as the immunogen for the PSMA1 antibody.

Storage

After reconstitution, the PSMA1 antibody can be stored for up to one month at 4oC. For long-term, aliquot and store at -20oC. Avoid repeated freezing and thawing.

Cross
Bulk Quote Request Form
Name*:
Organization*:
Email*:
Phone Number*:
Catalog No.*:
Comments and Specifics(amount, formulation, etc.)*:
Validation code: Captchapackage Image


Can't read the image? click here to refresh.
    *required field

Your bulk quote request has been submitted successfully!

Please contact us if you have any questions.