• Tel: 858.663.9055
  • SeparatorEmail: info@nsjbio.com
  • Tel: 858.663.9055
  • Email: info@nsjbio.com
Home >> Antibodies >> PSIP1 Antibody / PC4 and SFRS1-interacting protein / LEDGF

PSIP1 Antibody / PC4 and SFRS1-interacting protein / LEDGF (RQ8474)

  Catalog No Formulation Size Price (USD)  
Image RQ8474 0.5mg/ml if reconstituted with 0.2ml sterile DI water 100 ug 449
Bulk quote request
Immunofluorescent staining of FFPE human HeLa cells with PSIP1 antibody (red) and Beta Tubulin mAb (green). HIER: steam section in pH6 citrate buffer for 20 min.
IHC staining of FFPE human spleen tissue with PSIP1 antibody. HIER: boil tissue sections in pH8 EDTA for 20 min and allow to cool before testing.
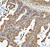
IHC staining of FFPE human breast cancer tissue with PSIP1 antibody. HIER: boil tissue sections in pH8 EDTA for 20 min and allow to cool before testing.
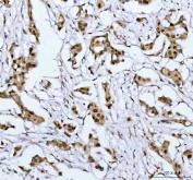
IHC staining of FFPE human liver cancer tissue with PSIP1 antibody. HIER: boil tissue sections in pH8 EDTA for 20 min and allow to cool before testing.
IHC staining of FFPE human ovarian cancer tissue with PSIP1 antibody. HIER: boil tissue sections in pH8 EDTA for 20 min and allow to cool before testing.
IHC staining of FFPE mouse brain tissue with PSIP1 antibody. HIER: boil tissue sections in pH8 EDTA for 20 min and allow to cool before testing.
IHC staining of FFPE rat brain tissue with PSIP1 antibody. HIER: boil tissue sections in pH8 EDTA for 20 min and allow to cool before testing.
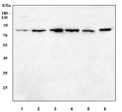
Western blot testing of 1) human HeLa, 2) human 293T, 3) human HEL, 4) human SH-SY5Y, 5) rat PC-12 and 6) mouse NIH 3T3 cell lysate with PSIP1 antibody. Predicted molecular weight ~60 kDa, commonly observed at 52-75 kDa.
Flow cytometry testing of fixed and permeabilized human K562 cells with PSIP1 antibody at 1ug/million cells (blocked with goat sera); Red=cells alone, Green=isotype control, Blue= PSIP1 antibody.
Availability 1-3 days
Species Reactivity Human, Mouse, Rat
Format Antigen affinity purified
Host Rabbit
Clonality Polyclonal (rabbit origin)
Isotype Rabbit IgG
Purity Antigen affinity purified
Buffer Lyophilized from 1X PBS with 2% Trehalose
UniProt O75475
Applications Western Blot : 0.5-1ug/ml
Immunofluorescence : 5ug/ml
Flow Cytometry : 1-3ug/million cells
Immunohistochemistry (FFPE) : 2-5ug/ml
ELISA : 0.1-0.5ug/ml
Limitations This PSIP1 antibody is available for research use only.
Review this product on BioCompare and get a $20 Amazon gift card

Related Products

Description

PC4 and SFRS1 interacting protein 1, also known as lens epithelium-derived growth factor (LEDGF/p75), dense fine speckles 70kD protein (DFS 70) or transcriptional coactivator p75/p52, is a protein that in humans is encoded by the PSIP1 gene. PSIP1 is a chromatin associated protein that is shown to act as a transcriptional coactivator as well as an RNA-binding protein. PSIP1 encodes two protein isoforms with molecular masses of 52 and 75 kDa. p52 and p75 were identified as interacting with transcription factor PC4 and shown to act as transcriptional coactivators.

Application Notes

Optimal dilution of the PSIP1 antibody should be determined by the researcher.

Immunogen

An E.coli-derived human recombinant protein (amino acids D280-N530) was used as the immunogen for the PSIP1 antibody.

Storage

After reconstitution, the PSIP1 antibody can be stored for up to one month at 4oC. For long-term, aliquot and store at -20oC. Avoid repeated freezing and thawing.

Cross
Bulk Quote Request Form
Name*:
Organization*:
Email*:
Phone Number*:
Catalog No.*:
Comments and Specifics(amount, formulation, etc.)*:
Validation code: Captchapackage Image


Can't read the image? click here to refresh.
    *required field

Your bulk quote request has been submitted successfully!

Please contact us if you have any questions.