• Tel: 858.663.9055
  • SeparatorEmail: info@nsjbio.com
  • Tel: 858.663.9055
  • Email: info@nsjbio.com
Home >> Antibodies >> PSF Antibody / PTB-associated-splicing factor / SFPQ

PSF Antibody / PTB-associated-splicing factor / SFPQ (RQ7421)

  Catalog No Formulation Size Price (USD)  
Image RQ7421 0.5mg/ml if reconstituted with 0.2ml sterile DI water 100 ug 449
Bulk quote request
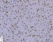
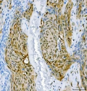
IHC staining of FFPE human ovarian cancer tissue with PSF antibody. HIER: boil tissue sections in pH8 EDTA for 20 min and allow to cool before testing.
IHC staining of FFPE human liver cancer tissue with PSF antibody. HIER: boil tissue sections in pH8 EDTA for 20 min and allow to cool before testing.
IHC staining of FFPE human squamous cell carcinoma of the penis with PSF antibody. HIER: boil tissue sections in pH8 EDTA for 20 min and allow to cool before testing.
IHC staining of FFPE mouse brain with PSF antibody. HIER: boil tissue sections in pH8 EDTA for 20 min and allow to cool before testing.
IHC staining of FFPE rat brain with PSF antibody. HIER: boil tissue sections in pH8 EDTA for 20 min and allow to cool before testing.
Immunofluorescent staining of FFPE human ovarian cancer tissue with PSF antibody (red) and DAPI nuclear stain (blue). HIER: steam section in pH8 EDTA buffer for 20 min.
Immunofluorescent staining of FFPE mouse brain cancer tissue with PSF antibody (red) and DAPI nuclear stain (blue). HIER: steam section in pH8 EDTA buffer for 20 min.
Immunofluorescent staining of FFPE human MCF7 cells with PSF antibody (green) and Alpha Tubulin antibody (red). HIER: steam section in pH6 citrate buffer for 20 min.
Western blot testing of 1) human HeLa, 2) human 293T, 3) human HepG2, 4) human PC-3, 5) rat brain, 6) mouse brain, 7) mouse C2C12 and 8) mouse NIH 3T3 cell lysate with PSF antibody. Predicted molecular weight ~76 kDa, commonly observed at 90-100 kDa with possible 47 kDa and 68 kDa cleavage products.
Flow cytometry testing of human SiHa cells with PSF antibody at 1ug/million cells (blocked with goat sera); Red=cells alone, Green=isotype control, Blue= PSF antibody.
Flow cytometry testing of mouse ANA-1 cells with PSF antibody at 1ug/million cells (blocked with goat sera); Red=cells alone, Green=isotype control, Blue= PSF antibody.
Flow cytometry testing of rat RH35 cells with PSF antibody at 1ug/million cells (blocked with goat sera); Red=cells alone, Green=isotype control, Blue= PSF antibody.
Immunofluorescent staining of FFPE human lung cancer tissue with PSF antibody (red). HIER: steam section in pH8 EDTA buffer for 20 min.
Immunofluorescent staining of FFPE human colon cancer tissue with PSF antibody (red). HIER: steam section in pH8 EDTA buffer for 20 min.
Availability 1-3 business days
Species Reactivity Human, Mouse, Rat
Format Antigen affinity purified
Host Rabbit
Clonality Polyclonal (rabbit origin)
Isotype Rabbit IgG
Purity Antigen affinity purified
Buffer Lyophilized from 1X PBS with 2% Trehalose
UniProt P23246
Localization Cytoplasmic, nuclear
Applications Western Blot : 0.5-1ug/ml
Immunohistochemistry (FFPE) : 2-5ug/ml
Immunofluorescence : 5ug/ml
Flow Cytometry : 1-3ug/million cells
Limitations This PSF antibody is available for research use only.
Review this product on BioCompare and get a $20 Amazon gift card

Description

Splicing factor, proline- and glutamine-rich, also called PTB-associated-splicing factor (PSF), is a protein that in humans is encoded by the SFPQ gene. Enables DNA binding activity; histone deacetylase binding activity; and protein homodimerization activity. Involved in several processes, including alternative mRNA splicing, via spliceosome; positive regulation of oxidative stress-induced intrinsic apoptotic signaling pathway; and regulation of transcription by RNA polymerase II. Acts upstream of or within double-strand break repair via homologous recombination. Located in chromatin; nuclear matrix; and paraspeckles.

Application Notes

Optimal dilution of the PSF antibody should be determined by the researcher.

Immunogen

Amino acids EMEDAYHEHQANLLRQDLMR from the human protein were used as the immunogen for the PSF antibody.

Storage

After reconstitution, the PSF antibody can be stored for up to one month at 4oC. For long-term, aliquot and store at -20oC. Avoid repeated freezing and thawing.

Cross
Bulk Quote Request Form
Name*:
Organization*:
Email*:
Phone Number*:
Catalog No.*:
Comments and Specifics(amount, formulation, etc.)*:
Validation code: Captchapackage Image


Can't read the image? click here to refresh.
    *required field

Your bulk quote request has been submitted successfully!

Please contact us if you have any questions.