• Tel: 858.663.9055
  • SeparatorEmail: info@nsjbio.com
  • Tel: 858.663.9055
  • Email: info@nsjbio.com
Home >> Antibodies >> PSAT1 Antibody / Phosphoserine aminotransferase

PSAT1 Antibody / Phosphoserine aminotransferase (R32554)

  Catalog No Formulation Size Price (USD)  
Image R32554 0.5mg/ml if reconstituted with 0.2ml sterile DI water 100 ug 449
Bulk quote request
Western blot testing of 1) rat pancreas and 2) human HeLa lysate with PSAT1 antibody at 0.5ug/ml. Predicted/observed molecular weight ~40 kDa.
IHC testing of FFPE human breast cancer tissue with PSAT1 antibody at 1ug/ml. HIER: steam section in pH6 citrate buffer for 20 min.
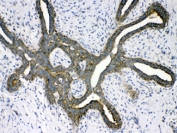
IHC testing of FFPE mouse liver with PSAT1 antibody at 1ug/ml. HIER: steam section in pH6 citrate buffer for 20 min.
IHC testing of FFPE rat liver with PSAT1 antibody at 1ug/ml. HIER: steam section in pH6 citrate buffer for 20 min.
Availability 1-3 business days
Species Reactivity Human, Mouse, Rat
Format Antigen affinity purified
Host Rabbit
Clonality Polyclonal (rabbit origin)
Isotype Rabbit IgG
Purity Antigen affinity
Buffer Lyophilized from 1X PBS with 2.5% BSA and 0.025% sodium azide
UniProt Q9Y617
Localization Cytoplasmic
Applications Western Blot : 0.5-1ug/ml
IHC (FFPE) : 1-2ug/ml
Limitations This PSAT1 antibody is available for research use only.
Review this product on BioCompare and get a $20 Amazon gift card

Related Products

Description

Phosphoserine aminotransferase (PSA), also known as phosphohydroxythreonine aminotransferase (PSAT), is an enzyme that in humans is encoded by the PSAT1 gene. This gene encodes a member of the class-V pyridoxal-phosphate-dependent aminotransferase family. The encoded protein is a phosphoserine aminotransferase and decreased expression may be associated with schizophrenia. Mutations in this gene are also associated with phosphoserine aminotransferase deficiency. Alternative splicing results in multiple transcript variants.

Application Notes

Differences in protocols and secondary/substrate sensitivity may require the PSAT1 antibody to be titrated for optimal performance.

Immunogen

Amino acids Q276-L370 from the human protein were used as the immunogen for the PSAT1 antibody.

Storage

After reconstitution, the PSAT1 antibody can be stored for up to one month at 4oC. For long-term, aliquot and store at -20oC. Avoid repeated freezing and thawing.

Cross
Bulk Quote Request Form
Name*:
Organization*:
Email*:
Phone Number*:
Catalog No.*:
Comments and Specifics(amount, formulation, etc.)*:
Validation code: Captchapackage Image


Can't read the image? click here to refresh.
    *required field

Your bulk quote request has been submitted successfully!

Please contact us if you have any questions.