• Tel: 858.663.9055
  • SeparatorEmail: info@nsjbio.com
  • Tel: 858.663.9055
  • Email: info@nsjbio.com
Home >> Antibodies >> PAP Antibody / Prostatic Acid Phosphatase

PAP Antibody / Prostatic Acid Phosphatase [clone SPM312] (V3315)

  Catalog No Formulation Size Price (USD)  
Image V3315-100UG 0.2 mg/ml in 1X PBS with 0.1 mg/ml BSA (US sourced) and 0.05% sodium azide 100 ug 559
Image
V3315-20UG 0.2 mg/ml in 1X PBS with 0.1 mg/ml BSA (US sourced) and 0.05% sodium azide 20 ug 259
Image
V3315SAF-100UG 1 mg/ml in 1X PBS; BSA free, sodium azide free 100 ug 559
Bulk quote request
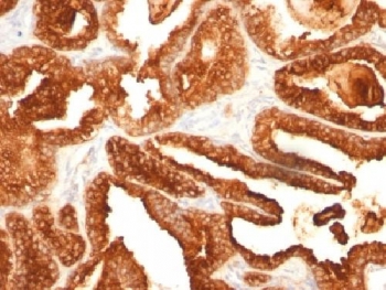
PAP Antibody immunohistochemistry analysis of Prostatic acid phosphatase / ACP3 in human prostate carcinoma tissue. FFPE human prostate carcinoma tissue was stained with PAP Antibody (mouse monoclonal, clone SPM312). Heat induced epitope retrieval was performed by boiling tissue sections in pH 9 Tris-EDTA buffer (10mM Tris, 1mM EDTA) for 10-20 minutes followed by cooling at room temperature prior to staining. HRP-DAB brown chromogenic signal highlights strong cytoplasmic staining of prostate tumor epithelial cells forming glandular carcinoma structures, consistent with the known localization of Prostatic acid phosphatase (ACP3 / PAP) in prostate-derived epithelial cells. Detection of PAP expression by immunohistochemistry is widely used in prostate cancer research and prostate pathology studies to identify prostate epithelial lineage and evaluate Prostatic acid phosphatase expression in prostate carcinoma tissues.
Species Reactivity Human
Format Purified
Host Mouse
Clonality Monoclonal (mouse origin)
Isotype Mouse IgG1, kappa
Clone Name SPM312
Purity Protein G affinity chromatography
UniProt P15309
Gene ID 55
Localization Cytoplasmic
Applications Immunohistochemistry (FFPE) : 1-2ug/ml for 30 min at RT
Limitations This PSAP/PAP antibody is available for research use only.
Review this product on BioCompare and get a $20 Amazon gift card

Related Products

Description

Prostatic acid phosphatase (ACPP), also known as PAP or Acid phosphatase 3 (ACP3), is a secreted glycoprotein enzyme produced predominantly by prostate epithelial cells. The protein belongs to the histidine acid phosphatase family and catalyzes the hydrolysis of phosphomonoesters under acidic conditions. PAP is highly enriched in prostate glandular epithelium and is secreted into seminal fluid, where it contributes to enzymatic activity within the prostate microenvironment. PAP Antibody / Prostatic Acid Phosphatase (clone SPM312) recognizes this prostate-associated enzyme and enables detection of Prostatic acid phosphatase expression in prostate-derived tissues and prostate cancer research models.

PAP Antibody is widely used in research examining prostate epithelial differentiation and prostate cancer biology. In tissue-based studies, Prostatic acid phosphatase expression is typically observed in prostate glandular epithelial cells and prostate tumor cells. Immunohistochemical staining commonly demonstrates cytoplasmic localization within prostate epithelial structures, reflecting the secretory nature of PAP within prostate tissue. Detection of ACP3 expression provides a reliable approach for identifying prostate epithelial lineage and examining differentiation of prostate-derived tumor cells.

Prostatic acid phosphatase was historically one of the earliest biomarkers used in studies of prostate cancer before prostate-specific antigen testing became widely adopted. Although PSA later became the dominant clinical marker, PAP remains an important protein in prostate biology research and continues to be examined as a marker of prostate epithelial differentiation. Detection of PAP expression helps investigators analyze prostate tissue architecture and evaluate molecular characteristics of prostate tumors.

PAP Antibody (clone SPM312) is a mouse monoclonal antibody developed to recognize Prostatic acid phosphatase in prostate epithelial tissues and prostate cancer models. Antibodies targeting ACP3 are commonly used in studies of prostate gland biology, prostate tumor development, and prostate epithelial cell identity. Clone SPM312 supports research examining prostate tumor differentiation and prostate epithelial lineage markers.

Detection of Prostatic acid phosphatase using PAP Antibody supports investigations of prostate epithelial differentiation and prostate cancer biology. Examination of ACP3 expression enables researchers to identify prostate-derived tumor cells and evaluate prostate tumor characteristics in laboratory research systems.

Application Notes

Titering of the PSAP/PAP antibody may be required for optimal performance.

Immunogen

Prostatic Acid Phosphatase purified from human seminal plasma was used as the immunogen for this PSAP/PAP antibody.

Storage

The PSAP/PAP antibody (with azide) can be stored at 2-8oC. The azide-free format should be aliquoted and stored at -20oC or colder.

Alternate Names

PSAP antibody, ACP3 antibody, ACPP antibody, Prostate acid phosphatase antibody, Prostate specific acid phosphatase antibody

Cross
Bulk Quote Request Form
Name*:
Organization*:
Email*:
Phone Number*:
Catalog No.*:
Comments and Specifics(amount, formulation, etc.)*:
Validation code: Captchapackage Image


Can't read the image? click here to refresh.
    *required field

Your bulk quote request has been submitted successfully!

Please contact us if you have any questions.