• Tel: 858.663.9055
  • SeparatorEmail: info@nsjbio.com
  • Tel: 858.663.9055
  • Email: info@nsjbio.com
Home >> Antibodies >> PSAP Antibody / Prostatic Acid Phosphatase

PSAP Antibody / Prostatic Acid Phosphatase [clone PSPN1-1] (V7207)

  Catalog No Formulation Size Price (USD)  
Image V7207-100UG 0.2 mg/ml in 1X PBS with 0.1 mg/ml BSA (US sourced) and 0.05% sodium azide 100 ug 559
Image
V7207-20UG 0.2 mg/ml in 1X PBS with 0.1 mg/ml BSA (US sourced) and 0.05% sodium azide 20 ug 259
Image
V7207SAF-100UG 1 mg/ml in 1X PBS; BSA free, sodium azide free 100 ug 559
Bulk quote request
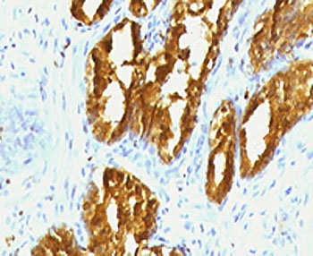
PSAP Antibody immunohistochemistry analysis of Prostatic acid phosphatase / PAP in human prostate carcinoma tissue. FFPE human prostate carcinoma tissue was stained with PSAP Antibody (mouse monoclonal, clone PSPN1-1). Heat induced epitope retrieval was performed by boiling tissue sections in pH 9 Tris-EDTA buffer (10mM Tris, 1mM EDTA) for 10-20 minutes followed by cooling at room temperature prior to staining. HRP-DAB brown chromogenic signal highlights strong cytoplasmic staining of prostate tumor epithelial cells forming glandular carcinoma structures, consistent with the known localization of Prostatic acid phosphatase (ACP3 / PAP) in prostate-derived epithelial cells. Detection of PSAP expression by immunohistochemistry is widely used in prostate cancer research and pathology studies to identify prostate epithelial lineage and evaluate Prostatic acid phosphatase expression in prostate carcinoma tissues.
Species Reactivity Human
Format Purified
Host Mouse
Clonality Monoclonal (mouse origin)
Isotype Mouse IgG1
Clone Name PSPN1-1
Purity Protein G affinity chromatography
Gene ID 55
Localization Cytoplasmic
Applications Immunohistochemistry (FFPE) : 1-2ug/ml for 30 min at RT
Limitations This PSAP antibody is available for research use only.
Review this product on BioCompare and get a $20 Amazon gift card

Related Products

Description

Prostatic acid phosphatase (ACPP), also known as PAP or Acid phosphatase 3 (ACP3), is a secreted glycoprotein enzyme predominantly expressed by prostate epithelial cells. The enzyme belongs to the histidine acid phosphatase family and catalyzes the hydrolysis of phosphate esters under acidic conditions. PAP is highly enriched in prostate glandular epithelium and is secreted into seminal fluid, where it contributes to enzymatic activity within the prostate microenvironment. PSAP Antibody / Prostatic Acid Phosphatase (clone PSPN1-1) recognizes this prostate-associated enzyme and enables detection of Prostatic acid phosphatase expression in prostate-derived tissues and prostate cancer research models.

PSAP Antibody is widely used in studies examining prostate epithelial differentiation and prostate cancer biology. In tissue-based analyses, Prostatic acid phosphatase expression is typically observed in prostate glandular epithelial cells and prostate tumor cells. Immunohistochemical staining frequently demonstrates cytoplasmic localization within glandular epithelial structures, reflecting the secretory function of PAP within prostate tissue. Detection of ACP3 expression provides a useful approach for identifying prostate epithelial lineage and evaluating differentiation of prostate-derived tumor cells.

Historically, Prostatic acid phosphatase served as one of the earliest biochemical markers associated with prostate cancer before prostate-specific antigen testing became widely adopted. Although PSA later became the dominant clinical marker, PAP remains an important protein in prostate cancer research and prostate epithelial biology. Detection of PAP expression helps investigators examine prostate tissue differentiation and characterize prostate tumor phenotypes in experimental systems.

PSAP Antibody (clone PSPN1-1) is a mouse monoclonal antibody developed to recognize Prostatic acid phosphatase in prostate epithelial tissues and prostate cancer models. Antibodies directed against ACP3 are commonly used in studies investigating prostate gland biology, prostate tumor development, and prostate epithelial cell identity.

Detection of Prostatic acid phosphatase using PSAP Antibody supports studies of prostate epithelial lineage markers and prostate cancer biology. Examination of ACP3 expression enables researchers to identify prostate-derived tumor cells and analyze prostate tissue differentiation in laboratory research systems.

Application Notes

Titering of the PSAP antibody may be required for optimal performance.

Immunogen

Recombinant protein was used as the immunogen for this PSAP antibody.

Storage

The PSAP antibody (with azide) can be stored at 2-8oC. The azide-free format should be aliquoted and stored at -20oC or colder.

Alternate Names

PAP antibody, Prostate acid phosphatase antibody, ACP3 antibody, ACPP antibody, Prostate specific acid phosphatase antibody

Cross
Bulk Quote Request Form
Name*:
Organization*:
Email*:
Phone Number*:
Catalog No.*:
Comments and Specifics(amount, formulation, etc.)*:
Validation code: Captchapackage Image


Can't read the image? click here to refresh.
    *required field

Your bulk quote request has been submitted successfully!

Please contact us if you have any questions.