• Tel: 858.663.9055
  • SeparatorEmail: info@nsjbio.com
  • Tel: 858.663.9055
  • Email: info@nsjbio.com
Home >> Antibodies >> PSAP Antibody Clone PASE/4LJ / Prostate Specific Acid Phosphatase

PSAP Antibody Clone PASE/4LJ / Prostate Specific Acid Phosphatase [clone PASE/4LJ] (V8033)

  Catalog No Formulation Size Price (USD)  
Image V8033-100UG 0.2 mg/ml in 1X PBS with 0.1 mg/ml BSA (US sourced) and 0.05% sodium azide 100 ug 559
Image
V8033-20UG 0.2 mg/ml in 1X PBS with 0.1 mg/ml BSA (US sourced) and 0.05% sodium azide 20 ug 259
Image
V8033SAF-100UG 1 mg/ml in 1X PBS; BSA free, sodium azide free 100 ug 559
Bulk quote request
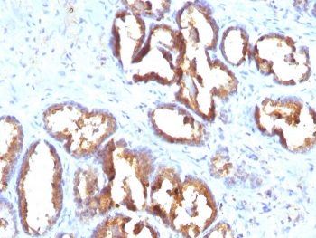
PSAP Antibody Clone PASE/4LJ immunohistochemistry analysis of Prostatic acid phosphatase / PAP in human prostate carcinoma tissue. FFPE human prostate carcinoma tissue was stained with PSAP Antibody Clone PASE/4LJ following heat induced epitope retrieval by boiling tissue sections in pH 9 Tris-EDTA buffer (10mM Tris, 1mM EDTA) for 20 minutes prior to cooling and staining. HRP-DAB brown chromogenic signal highlights strong cytoplasmic staining of prostate tumor epithelial cells forming glandular carcinoma structures, consistent with the known localization of Prostatic acid phosphatase (ACP3 / PAP) in prostate-derived epithelial cells. Detection of PAP expression by immunohistochemistry is widely used in prostate cancer research and prostate pathology studies to identify prostate epithelial lineage and evaluate Prostatic acid phosphatase expression in prostate carcinoma tissues.
PSAP Antibody Clone PASE/4LJ SDS-PAGE analysis of antibody purity under reducing and non-reducing conditions. Purified PSAP Antibody Clone PASE/4LJ was analyzed by SDS-PAGE with 2 ug protein loading. The non-reduced lane (NR) shows the intact antibody migrating at approximately 150 kDa, corresponding to the expected molecular weight of a full IgG molecule. Under reducing conditions (R), the antibody separates into the expected heavy chain band at approximately 50 kDa and light chain band at approximately 25 kDa, confirming the purity and structural integrity of the PSAP antibody preparation.
Availability 1-3 business days
Species Reactivity Human
Format Purified
Host Mouse
Clonality Monoclonal (mouse origin)
Isotype Mouse IgG1, kappa
Clone Name PASE/4LJ
Purity Protein G affinity chromatography
UniProt P15309
Localization Cytoplasmic
Applications Immunofluorescence : 1-2ug/ml
Immunohistochemistry (FFPE) : 1-2ug/ml
Limitations This PSAP antibody is available for research use only.
Review this product on BioCompare and get a $20 Amazon gift card

Related Products

Description

Prostatic acid phosphatase (ACPP), also known as PAP or Acid phosphatase 3 (ACP3), is a secreted glycoprotein enzyme predominantly expressed by prostate epithelial cells. The protein belongs to the histidine acid phosphatase family and catalyzes the hydrolysis of phosphate esters under acidic conditions. PAP is highly enriched in prostate glandular epithelium and is secreted into seminal fluid, where it contributes to enzymatic activity within the prostate microenvironment. PSAP Antibody Clone PASE/4LJ recognizes this prostate-associated enzyme and enables detection of Prostatic acid phosphatase expression in prostate-derived tissues and prostate cancer models.

PSAP Antibody is widely used in studies examining prostate epithelial differentiation and prostate cancer biology. In tissue-based analyses, Prostatic acid phosphatase expression is typically observed in prostate glandular epithelial cells and prostate tumor cells. Immunohistochemical staining frequently demonstrates cytoplasmic localization within glandular epithelial structures, reflecting the secretory nature of PAP. Detection of ACP3 expression provides a useful approach for identifying prostate epithelial lineage and examining differentiation of prostate-derived tumor cells.

Prostatic acid phosphatase was historically one of the earliest biochemical markers used in studies of prostate cancer before prostate-specific antigen testing became widely adopted. Although PSA later became the dominant clinical marker, PAP remains an important protein in prostate biology research and continues to be examined as a marker of prostate epithelial differentiation. Detection of PAP expression allows investigators to analyze prostate tissue architecture and evaluate molecular characteristics of prostate tumors.

PSAP Antibody Clone PASE/4LJ is a mouse monoclonal antibody developed to recognize Prostatic acid phosphatase in prostate epithelial tissues and prostate cancer models. Antibodies targeting ACP3 are commonly used to study prostate gland biology, prostate tumor development, and prostate epithelial cell identity. Clone PASE/4LJ has been described extensively in the scientific literature, making it one of the widely used antibodies for detecting Prostatic acid phosphatase in prostate-related research applications.

Detection of Prostatic acid phosphatase using PSAP Antibody supports investigations of prostate epithelial lineage markers and prostate cancer biology. Analysis of ACP3 expression helps identify prostate-derived tumor cells and contributes to research examining prostate tumor differentiation and prostate epithelial cell function.

Application Notes

Optimal dilution of the PSAP Antibody Clone PASE/4LJ should be determined by the researcher.

Immunogen

Prostatic acid phosphatase purified from human seminal plasma was used as the immunogen for this PSAP antibody (clone PASE/4LJ).

Storage

Store the PSAP antibody at 2-8oC (with azide) or aliquot and store at -20oC or colder (without azide).

Alternate Names

Prostatic acid phosphatase antibody, PAP antibody, ACP3 antibody, ACPP antibody, Prostate acid phosphatase antibody

Cross
Bulk Quote Request Form
Name*:
Organization*:
Email*:
Phone Number*:
Catalog No.*:
Comments and Specifics(amount, formulation, etc.)*:
Validation code: Captchapackage Image


Can't read the image? click here to refresh.
    *required field

Your bulk quote request has been submitted successfully!

Please contact us if you have any questions.