• Tel: 858.663.9055
  • SeparatorEmail: info@nsjbio.com
  • Tel: 858.663.9055
  • Email: info@nsjbio.com
Home >> Antibodies >> PSAP Antibody Recombinant Rabbit MAb ACPP/8409R / ACP3 / Prostatic acid phosphatase

PSAP Antibody Recombinant Rabbit MAb ACPP/8409R / ACP3 / Prostatic acid phosphatase [clone ACPP/8409R] (V5003)

  Catalog No Formulation Size Price (USD)  
Image V5003-100UG 0.2 mg/ml in 1X PBS with 0.1 mg/ml BSA (US sourced), 0.05% sodium azide 100 ug 559
Image
V5003-20UG 0.2 mg/ml in 1X PBS with 0.1 mg/ml BSA (US sourced), 0.05% sodium azide 20 ug 259
Image
V5003SAF-100UG 1 mg/ml in 1X PBS; BSA free, sodium azide free 100 ug 559
Microvalidated Recrabbitmono
Bulk quote request
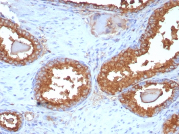
PSAP Antibody Recombinant Rabbit MAb ACPP/8409R immunohistochemistry analysis of Prostatic acid phosphatase / ACP3 in human prostate carcinoma tissue. FFPE human prostate carcinoma tissue was stained with PSAP Antibody Recombinant Rabbit MAb ACPP/8409R following heat induced epitope retrieval by boiling tissue sections in pH 9 Tris-EDTA buffer (10mM Tris, 1mM EDTA) for 20 minutes prior to cooling and staining. HRP-DAB brown chromogenic signal highlights strong cytoplasmic and membranous staining of prostate tumor epithelial cells forming glandular carcinoma structures, consistent with the known localization of Prostatic acid phosphatase (ACP3 / PAP) in prostate-derived epithelial cells. Detection of PSAP expression by immunohistochemistry is commonly used in prostate cancer research to identify prostate epithelial lineage and evaluate PAP expression in prostate carcinoma tissues.
SDS-PAGE analysis of purified, BSA-free PSAP Antibody Recombinant Rabbit MAb ACPP/8409R as confirmation of integrity and purity.
Availability 1-3 business days
Species Reactivity Human
Format Purified
Host Rabbit
Clonality Recombinant Rabbit Monoclonal
Isotype Rabbit IgG, kappa
Clone Name ACPP/8409R
Purity Protein A/G affinity
UniProt P15309
Localization Cytoplasm
Applications Immunohistochemistry (FFPE) : 1-2ug/ml for 30 min at RT
Limitations This PSAP antibody is available for research use only.
Review this product on BioCompare and get a $20 Amazon gift card

Related Products

Description

Prostatic acid phosphatase (ACPP), also known as Acid phosphatase 3 (ACP3) or PAP, is a secreted glycoprotein enzyme produced primarily by prostate epithelial cells. The protein belongs to the histidine acid phosphatase family and catalyzes the hydrolysis of phosphomonoesters under acidic conditions. Prostatic acid phosphatase is highly enriched in the prostate gland, where it is secreted into seminal fluid and contributes to the biochemical environment of the prostate epithelium. PSAP Antibody Recombinant Rabbit MAb ACPP/8409R recognizes this prostate-associated enzyme and enables the detection of Prostatic acid phosphatase expression in prostate-derived tissues and prostate cancer models.

PSAP Antibody is widely used in research examining prostate epithelial differentiation and prostate cancer biology. In tissue-based studies, Prostatic acid phosphatase expression is typically observed in prostate glandular epithelial cells and prostate tumor cells. Detection of PAP expression provides a useful approach for identifying prostate lineage differentiation and examining the molecular characteristics of prostate epithelial tumors. Because ACP3 expression is strongly associated with prostate epithelial cells, antibodies targeting this protein are commonly used in studies of prostate tissue architecture and prostate cancer progression.

Historically, Prostatic acid phosphatase was one of the earliest biomarkers used to study prostate cancer before the introduction of prostate-specific antigen testing. Although PSA later became the dominant clinical marker, PAP continues to be an important protein in prostate cancer research and prostate epithelial biology. Detection of Prostatic acid phosphatase expression allows investigators to analyze prostate-derived cells and examine the biological features of prostate tumor tissues in experimental systems.

PSAP Antibody (clone ACPP/8409R) is a recombinant rabbit monoclonal antibody designed to recognize Prostatic acid phosphatase in prostate epithelial tissues and prostate cancer models. Antibodies directed against ACP3 are commonly used to investigate prostate epithelial differentiation, analyze prostate tumor samples, and study the molecular properties of prostate-derived cells.

Research using PSAP Antibody supports studies of prostate gland biology, prostate cancer differentiation, and prostate epithelial cell identity. Detection of Prostatic acid phosphatase expression helps characterize prostate tumor tissues and provides insight into prostate epithelial lineage markers commonly examined in prostate cancer research.

Application Notes

Optimal dilution of the PSAP Antibody Recombinant Rabbit MAb ACPP/8409R should be determined by the researcher.

Immunogen

A recombinant partial protein sequence (within amino acids 200-400) from the human protein was used as the immunogen for the PSAP antibody.

Storage

Aliquot the PSAP antibody and store frozen at -20oC or colder. Avoid repeated freeze-thaw cycles.

Alternate Names

Prostatic acid phosphatase antibody, PAP antibody, ACP3 antibody, ACPP antibody, Prostate acid phosphatase antibody

Cross
Bulk Quote Request Form
Name*:
Organization*:
Email*:
Phone Number*:
Catalog No.*:
Comments and Specifics(amount, formulation, etc.)*:
Validation code: Captchapackage Image


Can't read the image? click here to refresh.
    *required field

Your bulk quote request has been submitted successfully!

Please contact us if you have any questions.