• Tel: 858.663.9055
  • SeparatorEmail: info@nsjbio.com
  • Tel: 858.663.9055
  • Email: info@nsjbio.com
Home >> Antibodies >> pS2 Antibody for IF / TFF1 Immunofluorescence Antibody

pS2 Antibody for IF / TFF1 Immunofluorescence Antibody [clone TFF1/2133] (V7354)

  Catalog No Formulation Size Price (USD)  
Image V7354-100UG 0.2 mg/ml in 1X PBS with 0.1 mg/ml BSA (US sourced) and 0.05% sodium azide 100 ug 559
Image
V7354-20UG 0.2 mg/ml in 1X PBS with 0.1 mg/ml BSA (US sourced) and 0.05% sodium azide 20 ug 259
Image
V7354SAF-100UG 1 mg/ml in 1X PBS; BSA free, sodium azide free 100 ug 559
Image
V7354IHC-7ML Prediluted in 1X PBS with 0.1 mg/ml BSA (US sourced) and 0.05% sodium azide; *For IHC use only* 7 ml 559
Microvalidated
Bulk quote request
pS2 Antibody for IF. Immunofluorescence analysis of Trefoil factor 1 (TFF1) in PFA-fixed human MCF7 breast cancer cells using pS2 Antibody for IF clone TFF1/2133. Cells show cytoplasmic green fluorescence consistent with intracellular localization of the secreted TFF1 protein, while nuclei are counterstained with Reddot (red). The fluorescence pattern highlights epithelial tumor cells with cytoplasmic distribution typical of secretory pathway proteins and reflects the known estrogen-regulated expression of pS2 in MCF7 breast carcinoma cells.
pS2 Antibody for IF. Immunofluorescence analysis of Trefoil factor 1 (TFF1) in PFA-fixed human MCF7 breast cancer cells using pS2 Antibody for IF clone TFF1/2133. Green fluorescence indicates cytoplasmic localization of TFF1 within epithelial tumor cells, consistent with intracellular trafficking of this secreted trefoil family peptide. The actin cytoskeleton is visualized with Phalloidin (red), outlining cell boundaries and cytoplasmic architecture, allowing clear visualization of TFF1 immunofluorescence signal within individual MCF7 cells.
Flow cytometry staining of PFA-fixed human MCF7 cells with pS2 antibody; Red=isotype control, Blue= TFF1/2133 antibody.
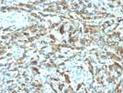
IHC staining of FFPE human breast carcinoma with pS2 antibody (clone TFF1/2133). HIER: boil tissue sections in pH 9 10mM Tris with 1mM EDTA for 20 min and allow to cool before testing.
Analysis of HuProt(TM) microarray containing more than 19,000 full-length human proteins using pS2 antibody (clone TFF1/2133). These results demonstrate the foremost specificity of the TFF1/2133 mAb.
Z- and S- score: The Z-score represents the strength of a signal that an antibody (in combination with a fluorescently-tagged anti-IgG secondary Ab) produces when binding to a particular protein on the HuProt(TM) array. Z-scores are described in units of standard deviations (SD's) above the mean value of all signals generated on that array. If the targets on the HuProt(TM) are arranged in descending order of the Z-score, the S-score is the difference (also in units of SD's) between the Z-scores. The S-score therefore represents the relative target specificity of an Ab to its intended target.
Availability 1-3 business days
Species Reactivity Human
Format Purified
Host Mouse
Clonality Monoclonal (mouse origin)
Isotype Mouse IgG2b, kappa
Clone Name TFF1/2133
Purity Protein G affinity chromatography
UniProt P04155
Localization Cytoplasmic, secreted
Applications Flow Cytometry : 1-2ug/10^6 cells
Immunofluorescence : 1-2ug/ml
Immunohistochemistry (FFPE) : 1-2ug/ml for 30 min at RT
Limitations This pS2 antibody is available for research use only.
Review this product on BioCompare and get a $20 Amazon gift card

Related Products

Description

Trefoil factor 1 (TFF1) is a secreted epithelial peptide encoded by the TFF1 gene and a member of the trefoil factor family that functions in mucosal protection and epithelial repair within the gastrointestinal tract. The protein is most strongly expressed in mucus-secreting epithelial cells of the stomach, particularly within gastric foveolar epithelium, where it is synthesized and secreted into the mucin layer that protects the gastric mucosa. pS2 Antibody for IF (clone TFF1/2133) is designed for immunofluorescence microscopy to visualize Trefoil factor 1 protein localization in cultured cells and tissue sections. TFF1 antibody, also known as pS2 antibody or Trefoil factor 1 antibody in the literature, targets a protein widely studied as a marker of epithelial differentiation and hormone-regulated gene expression.

Immunofluorescence analysis provides a powerful method to examine the intracellular distribution of TFF1 within epithelial cells. In IF imaging experiments, TFF1 typically appears as cytoplasmic fluorescence corresponding to secretory vesicles and intracellular trafficking compartments involved in peptide secretion. Because TFF1 is synthesized within the endoplasmic reticulum and transported through the Golgi apparatus prior to secretion, immunofluorescence staining frequently reveals punctate or vesicle-associated cytoplasmic fluorescence patterns. These signals reflect the secretory pathway activity responsible for producing and exporting this trefoil family peptide.

Immunofluorescence microscopy is particularly useful for visualizing TFF1 expression in epithelial cell models and breast cancer cell lines. The protein was originally identified as the estrogen-regulated pS2 peptide in breast carcinoma cells, where its expression is associated with estrogen receptor signaling. In IF studies of breast cancer cells, TFF1 immunofluorescence typically appears as cytoplasmic fluorescence within tumor epithelial cells, consistent with its secretory protein biology. These fluorescence patterns allow researchers to examine hormone-regulated protein expression and epithelial differentiation at the single-cell level using fluorescence imaging approaches.

Multiplex immunofluorescence experiments further allow TFF1 staining to be analyzed alongside other cellular markers. Co-localization studies using IF microscopy can examine the relationship between TFF1-containing vesicles and intracellular organelles such as the Golgi apparatus or cytoskeletal structures involved in vesicular transport. Fluorescent labeling strategies also enable simultaneous visualization of TFF1 with nuclear counterstains or epithelial lineage markers, allowing detailed imaging of epithelial cell architecture and protein localization within individual cells.

pS2 Antibody for IF (clone TFF1/2133) supports immunofluorescence-based visualization of Trefoil factor 1 expression and intracellular localization in epithelial cells and tumor models. By revealing cytoplasmic fluorescence patterns associated with secretory vesicles and epithelial differentiation, this antibody provides a useful tool for fluorescence microscopy studies examining mucosal biology, hormone-responsive breast cancer pathways, and epithelial secretory processes.

Application Notes

The optimal dilution of the pS2 Antibody for IF for each application should be determined by the researcher.

1. The prediluted format is supplied in a dropper bottle and is optimized for use in IHC. After epitope retrieval step (if required), drip mAb solution onto the tissue section and incubate at RT for 30 min.

Immunogen

Recombinant human protein was used as the immunogen for this pS2 Antibody for IF.

Storage

Store the pS2 antibody at 2-8oC (with azide) or aliquot and store at -20oC or colder (without azide).

Alternate Names

Trefoil factor 1, TFF1, Breast cancer associated protein pS2, Trefoil factor family peptide 1

Cross
Bulk Quote Request Form
Name*:
Organization*:
Email*:
Phone Number*:
Catalog No.*:
Comments and Specifics(amount, formulation, etc.)*:
Validation code: Captchapackage Image


Can't read the image? click here to refresh.
    *required field

Your bulk quote request has been submitted successfully!

Please contact us if you have any questions.