• Tel: 858.663.9055
  • SeparatorEmail: info@nsjbio.com
  • Tel: 858.663.9055
  • Email: info@nsjbio.com
Home >> Antibodies >> PRTN3 Antibody / Proteinase 3 / Myeloblastin

PRTN3 Antibody / Proteinase 3 / Myeloblastin (RQ8145)

  Catalog No Formulation Size Price (USD)  
Image RQ8145 0.5mg/ml if reconstituted with 0.2ml sterile DI water 100 ug 449
Bulk quote request
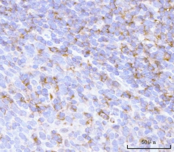
IHC staining of FFPE human tonsil tissue with PRTN3 antibody. HIER: boil tissue sections in pH8 EDTA for 20 min and allow to cool before testing.
IHC staining of FFPE human lung adenocarcinoma tissue with PRTN3 antibody. HIER: boil tissue sections in pH8 EDTA for 20 min and allow to cool before testing.
Western blot testing of human ThP-1 cell lysate with PRTN3 antibody. Predicted molecular weight ~28 kDa but may be observed at higher molecular weights due to glycosylation.
Flow cytometry testing of fixed and permeabilized human ThP-1 cells with PRTN3 antibody at 1ug/million cells (blocked with goat sera); Red=cells alone, Green=isotype control, Blue= PRTN3 antibody.
Immunofluorescence analysis of PRTN3 expression in THP-1 cells. Human THP-1 cells were stained with anti-PRTN3 antibody (green), followed by Fluoro488-conjugated goat anti-rabbit IgG secondary antibody. PRTN3 signal is observed as punctate cytoplasmic staining with perinuclear enrichment, consistent with granule-associated localization in myeloid cells. Nuclei were counterstained with DAPI (blue).
Availability 1-3 business days
Species Reactivity Human
Format Antigen affinity purified
Host Rabbit
Clonality Polyclonal (rabbit origin)
Isotype Rabbit IgG
Purity Antigen affinity purified
Buffer Lyophilized from 1X PBS with 2% Trehalose
UniProt P24158
Localization Cell membrane, cytoplasm, secreted
Applications Western Blot : 0.5-1ug/ml
Immunohistochemistry (FFPE) : 2-5ug/ml
Flow Cytometry : 1-3ug/million cells
Direct ELISA : 0.1-0.5ug/ml
Immunofluorescence : 5ug/ml
Limitations This PRTN3 antibody is available for research use only.
Review this product on BioCompare and get a $20 Amazon gift card

Related Products

Description

PRTN3 antibody targets Proteinase 3, also known as Myeloblastin, encoded by the PRTN3 gene. Proteinase 3 is a serine protease belonging to the chymotrypsin-like elastase family and is predominantly expressed in neutrophils and other myeloid lineage cells. It is synthesized as an inactive zymogen and stored in azurophilic granules, where it contributes to innate immune defense mechanisms following activation and release.

Functionally, Proteinase 3 participates in proteolytic processing of extracellular matrix components and microbial proteins during inflammatory responses. It is also involved in the regulation of cytokine activity and modulation of immune signaling at sites of infection or tissue injury. Through these protease-dependent activities, Proteinase 3 supports host defense but can also contribute to tissue damage when proteolytic activity is excessive or dysregulated. A PRTN3 antibody supports studies focused on neutrophil biology, inflammatory signaling, and protease-mediated immune responses.

PRTN3 expression is largely restricted to cells of myeloid origin, including neutrophils, monocytes, and myeloblasts. Subcellular localization is primarily within cytoplasmic granules, although Proteinase 3 can be detected at the cell surface or in extracellular spaces following degranulation or secretion. Localization and availability are therefore highly dependent on cellular activation state and inflammatory context.

From a disease relevance perspective, Proteinase 3 is a well-characterized autoantigen in anti-neutrophil cytoplasmic antibody-associated vasculitis, particularly granulomatosis with polyangiitis. Aberrant regulation of Proteinase 3 activity has also been investigated in chronic inflammatory conditions and tissue remodeling disorders. At the molecular level, Proteinase 3 contains a conserved serine protease catalytic triad responsible for its enzymatic activity. PRTN3 antibody reagents support research applications examining neutrophil protease function, inflammatory disease mechanisms, and immune-mediated tissue injury, with NSJ Bioreagents providing reagents intended for research use.

Application Notes

Optimal dilution of the PRTN3 antibody should be determined by the researcher.

Immunogen

E. coli-derived recombinant human protein (amino acids A23-D241) was used as the immunogen for the PRTN3 antibody.

Storage

After reconstitution, the PRTN3 antibody can be stored for up to one month at 4oC. For long-term, aliquot and store at -20oC. Avoid repeated freezing and thawing.

Cross
Bulk Quote Request Form
Name*:
Organization*:
Email*:
Phone Number*:
Catalog No.*:
Comments and Specifics(amount, formulation, etc.)*:
Validation code: Captchapackage Image


Can't read the image? click here to refresh.
    *required field

Your bulk quote request has been submitted successfully!

Please contact us if you have any questions.